safroxa Опубликовано 10 февраля, 2023 Поделиться Опубликовано 10 февраля, 2023 Здравствуйте. Столкнулась с проблемой - откололось ползуба №24 от десны (если я правильно понимаю, верхняя челюсть, четвертый слева). На осмотре врач была удивлена, что я не протезируюсь в общем и целом (хотя до этого посещения, никто из врачей не советовал мне ставить коронки). В ходе осмотра и прицельного снимка, мне было сказано, что нужны коронки и не на один зуб. Т.е я пришла с одной проблемой, а ушла с горой проблем. Сделала панорамный снимок по рекомендации врача. Обратилась к другому врачу, который предложил поставить штифт на проблемный зуб №24 и отреставрировать его, возможно в дальнейшем поставить коронку. Снимок показала, остальные зубы у него вопросов по установке коронок не вызвали. Я в замешательстве и не знаю, что мне делать. Посоветуйте пожалуйста... Ссылка на комментарий
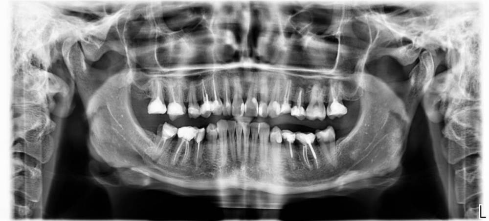
red_butler Опубликовано 10 февраля, 2023 Поделиться Опубликовано 10 февраля, 2023 Здравствуйте, все "мертвые" зубы нужно протезировать. А именно 1.2 13 1.4 1.6 1.7 2.4 2.5 2.7 3.5 3.6 4.5 4.6 4.7. Кроме этого требуется повторное лечение корневых каналов зубов 1.7 1.6 1.2 3.5 4.7. Лечение кариеса 3.7 По хорошему нужно сделать Кт. Вам нужен хороший ортопед. 1 1 Ссылка на комментарий
DoctorT Опубликовано 11 февраля, 2023 Поделиться Опубликовано 11 февраля, 2023 Нужно обратить внимание на состояние суставов (ВНЧС), что то мне подсказывает, что есть патологическая стираемость. Мое мнение: 1. КТ ВНЧС, в идеале МРТ ВНЧС. Для диагностики состояния суставов. 2. Санация полости рта. 3. Сплинт терапия (каппы) 4. Скорее всего, тотальное протезирование. 1 Ссылка на комментарий
safroxa Опубликовано 12 февраля, 2023 Автор Поделиться Опубликовано 12 февраля, 2023 Спасибо за ответы и рекомендации. Честно говоря, для меня ситуация крайне неожиданная... ( Ссылка на комментарий
safroxa Опубликовано 17 февраля, 2023 Автор Поделиться Опубликовано 17 февраля, 2023 Уважаемые доктора, сделала КТ. Прошу вас, пожалуйста..."палехчи") А если серьезно, то хотелось бы узнать, есть ли еще моменты на которые нужно обратить внимание? https://disk.yandex.ru/d/4koSWxtzJ8DNSg Спасибо за ответы. Ссылка на комментарий
IvanK Опубликовано 18 февраля, 2023 Поделиться Опубликовано 18 февраля, 2023 Здравствуйте, часто врачи отвечают с телефона.. но может кто-то и посмотрит.. Правильнее начать поиски ортопеда и идти по его плану лечения Хорошего дня 1 Ссылка на комментарий
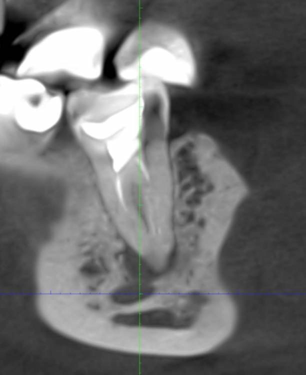
safroxa Опубликовано 7 марта, 2023 Автор Поделиться Опубликовано 7 марта, 2023 Здравствуйте уважаемые доктора. Лечу зубы. Дошла до нижней семёрки справа. Ситуация такая: канал проходит слишком близко к нерву. Доктор посоветовал удалить и поставить имплант. Есть ли шанс, все же залечить каналы и спасти зуб? Ссылка на комментарий
safroxa Опубликовано 17 марта, 2023 Автор Поделиться Опубликовано 17 марта, 2023 Еще раз здравствуйте, дорогие доктора. Обратилась с вопросом о нижней семерке справа к другому врачу. Сказал, что попробует помочь, но гарантий нет. На днях залечила 6-ку (рядом), врач сказал, что на него необходима тоже коронка. Скажите пожалуйста, если не удастся спасти 7-ку, нужен ли будет имплант на его место или достаточно коронки на 6-ке? Снимок еще раз прилагаю. Хорошего ортопеда в нашем городе найти сложно. Ссылка на комментарий
Doc Опубликовано 17 марта, 2023 Поделиться Опубликовано 17 марта, 2023 Есть шансы у этого зуба или нет, сказать может только тот врач, который возьмется. Чаще всего есть, но далеко не всегда. Если удалить и не протезировать, то верхняя семерка со временем, скорее всего, начнет сдвигаться в низ и блокировать движение нижней челюсти. Это не очень хорошо. Так что лучше поставить имплантат, тем более, что кость там вполне хорошая. 1 Ссылка на комментарий
safroxa Опубликовано 17 марта, 2023 Автор Поделиться Опубликовано 17 марта, 2023 Спасибо! 1 Ссылка на комментарий
Рекомендуемые сообщения
Для публикации сообщений создайте учётную запись или авторизуйтесь
Вы должны быть пользователем, чтобы оставить комментарий
Создать аккаунт
Зарегистрируйте новый аккаунт в нашем сообществе. Это очень просто!
Регистрация нового пользователяВойти
Уже есть аккаунт? Войти в систему.
Войти