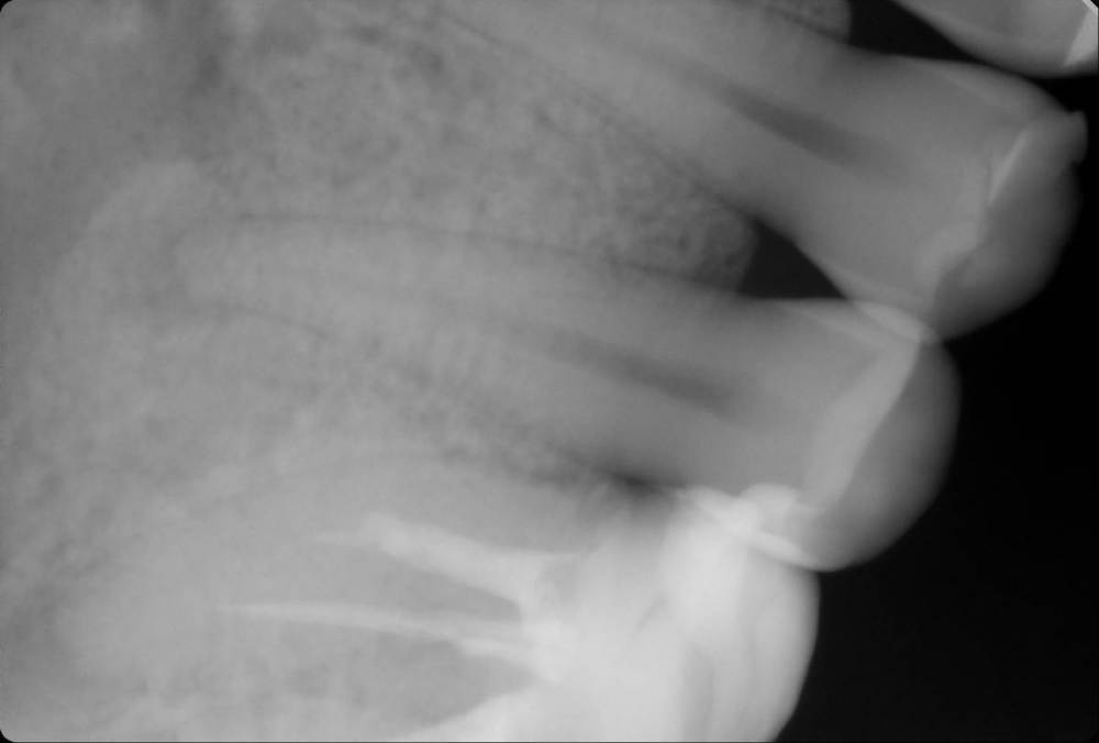
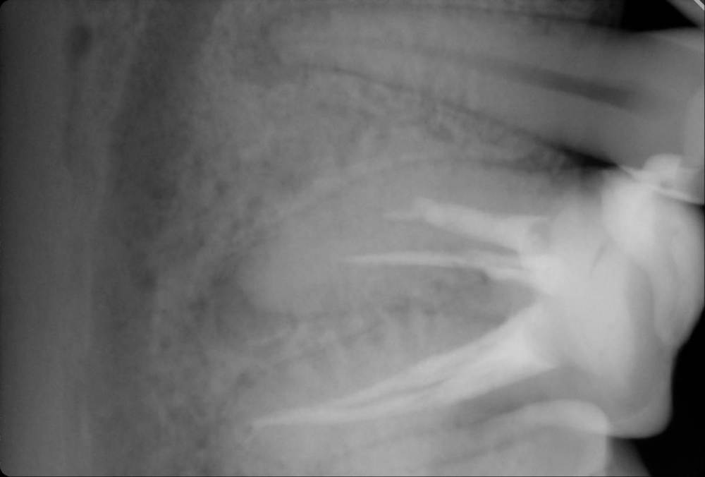
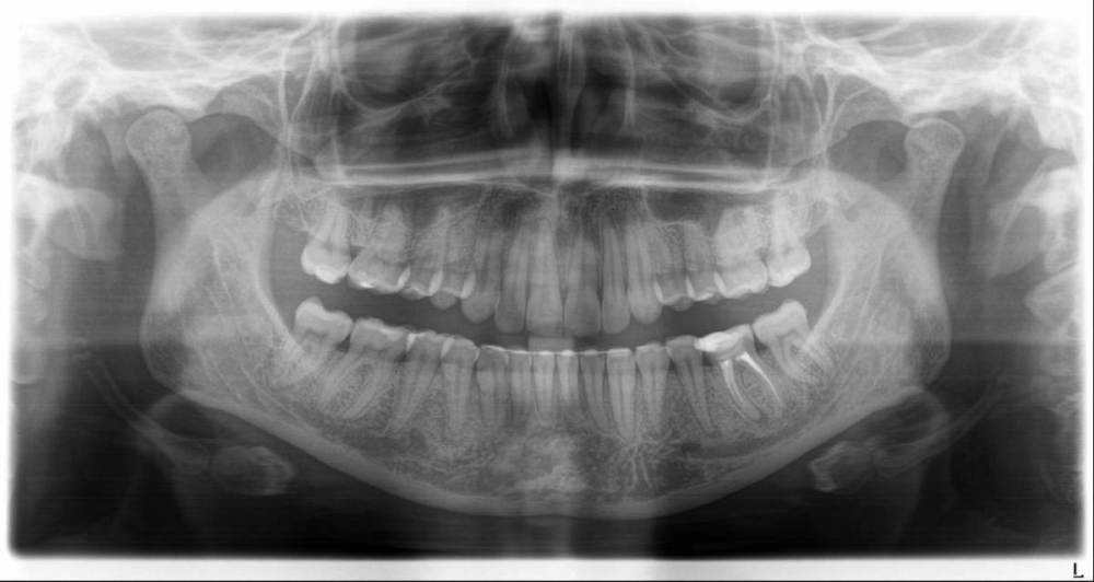
chacraborti Опубликовано 25 января, 2023 Поделиться Опубликовано 25 января, 2023 (изменено) Врач говорит что под пятеркой воспаление, квалифицирует зуб к лечению каналов. Прав ли врач? Можно ли вылечить воспаление иначе? Антибиотиками? Через кость? Через лунку при удалении рядом находящейся шестерки без нервов (она квалифицирована к удалению)? Субъективно время от времени в том районе чувствую слабую тупую боль которая может продолжаться несколько дней. потом исчезает, иногда стреляет(бывает раза 2 в день) время от времени, когда ем мороженное в том месте как будто щелкает Изменено 25 января, 2023 пользователем chacraborti Ссылка на комментарий
red_butler Опубликовано 26 января, 2023 Поделиться Опубликовано 26 января, 2023 5 часов назад, chacraborti сказал: Прав ли врач? если судить только по снимкам и Вашим жалобам то прав. Холодовую пробу проводили? 5 часов назад, chacraborti сказал: Через лунку при удалении рядом находящейся шестерки без нервов (она квалифицирована к удалению)? по снимкам вполне лечибельный зуб Ссылка на комментарий
chacraborti Опубликовано 26 января, 2023 Автор Поделиться Опубликовано 26 января, 2023 Цитата Холодовую пробу проводили? Холодовую пробу не проводили, жалоб врачу не озвучивала (прием был о судьбе шестерки). Врач квалифицировал пятерку к лечению каналов ориентируясь только на снимки: панорамный и маленький. Стоит провести холодовую пробу чтобы определить какой зуб вызывает мои жалобы? Ссылка на комментарий
red_butler Опубликовано 29 января, 2023 Поделиться Опубликовано 29 января, 2023 26.01.2023 в 12:40, chacraborti сказал: Стоит провести холодовую пробу чтобы определить какой зуб вызывает мои жалобы? да 1 Ссылка на комментарий
Рекомендуемые сообщения
Для публикации сообщений создайте учётную запись или авторизуйтесь
Вы должны быть пользователем, чтобы оставить комментарий
Создать аккаунт
Зарегистрируйте новый аккаунт в нашем сообществе. Это очень просто!
Регистрация нового пользователяВойти
Уже есть аккаунт? Войти в систему.
Войти