Перейти к содержанию
Стоматология для всех

Фиссурный кариес


Аветанги

Рекомендуемые сообщения

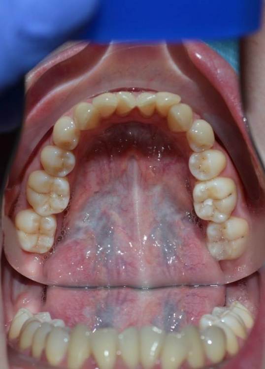
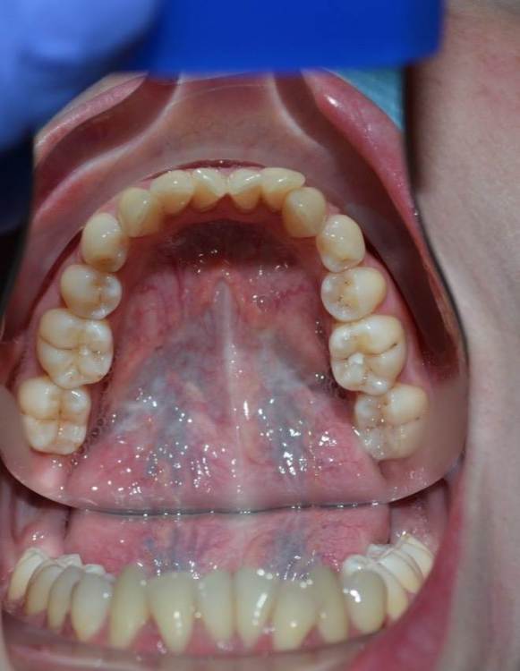
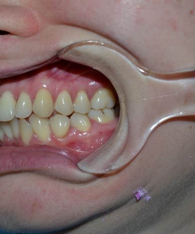
Здравствуйте! Ортодонт настаивает на лечении данных фиссур. Аргументируя тем, что под брекетом может развиться кариес. Была на консультации у 4 терапевтов. Двое из них говорят, что это не кариес, а затемнение фиссуры. Третий специалист на 50/50. И четвертый специалист тоже согласен с ортодонтом. Хотелось бы услышать ваше мнение 

IMG-20220909-WA0009.jpg

IMG-20220909-WA0004.jpg

IMG-20220909-WA0013.jpg

Ссылка на комментарий

Здравствуйте, без очного осмотра сложно сказать

Если Вы до лечения уже не доверяете врачу, может имеет смысл найти доктора, которому Вы будете доверять? 

Ссылка на комментарий

Для публикации сообщений создайте учётную запись или авторизуйтесь

Вы должны быть пользователем, чтобы оставить комментарий

Создать аккаунт

Зарегистрируйте новый аккаунт в нашем сообществе. Это очень просто!

Регистрация нового пользователя

Войти

Уже есть аккаунт? Войти в систему.

Войти
×
×
  • Создать...
Вверх