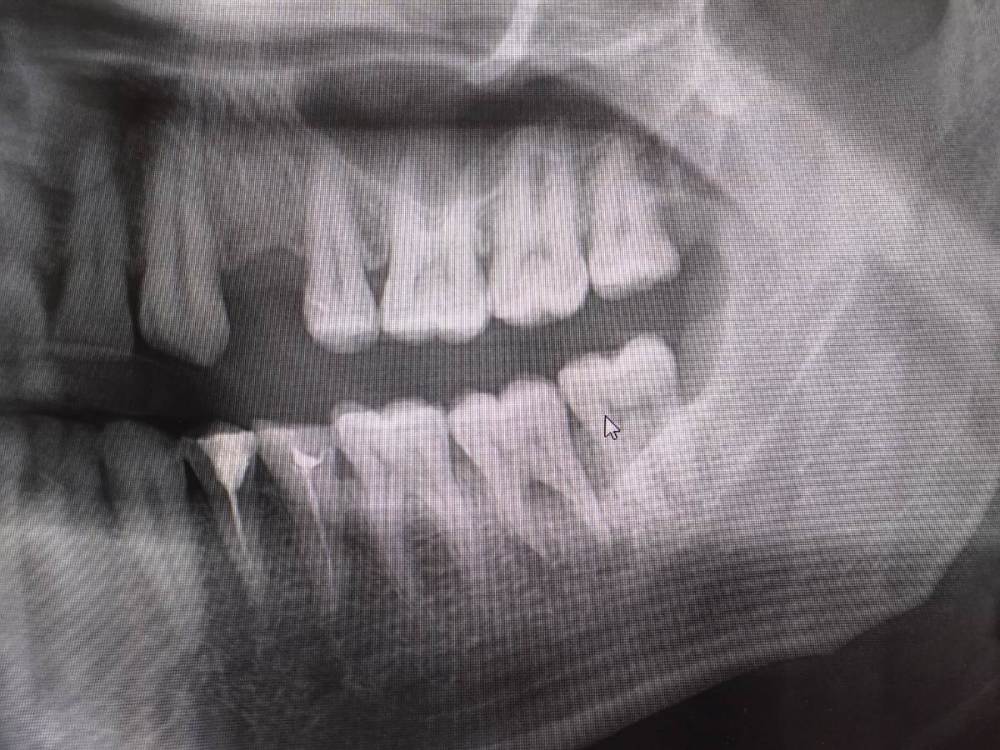
Mihail64 Опубликовано 25 декабря, 2022 Поделиться Опубликовано 25 декабря, 2022 Столкнулся с тем, что 37 зуб плохо сидит в десне (неплотное прилегание, постоянное пощипывание). Ранее при жевании были дискомфорт и несильные болевые ощущения, со временем усилились. Теперь под этим зубом на десне появился постоянно восстанавливающийся гнойник, который я удаляю и полощу хлоргексидином. Был проведен ренген, показавший, что в основаниях двух передних корней зубов были выявлены зоны воспаления. Посоветовали удалить корни и запломбировать, при этом гарантии того, что процесс не возобновится не дают, ссылаясь на переход в хроническое течение (болит более месяца). Как я понимаю сам зуб при этом цел (за ним растет еще зуб мудрости), но есть каналы по которым поступает инфекция. Прошу пояснить, правильно ли назначено лечение, можно ли оставить зуб и при этом избежать повторных абсцессов. Или лучше раз он не держится, и под ним происходит воспалительный процесс, вырвать его. Ссылка на комментарий
Женька Опубликовано 25 декабря, 2022 Поделиться Опубликовано 25 декабря, 2022 Здравствуйте. 32 минуты назад, Mihail64 сказал: правильно ли назначено лечение не увидел, что Вам назначили какое-то лечение. 32 минуты назад, Mihail64 сказал: можно ли оставить зуб и при этом избежать повторных абсцессов. снимки в студию. Желательно срезы КЛКТ. Ссылка на комментарий
IvanK Опубликовано 26 декабря, 2022 Поделиться Опубликовано 26 декабря, 2022 Здравствуйте +1 Чем дольше Вы думаете с вариантом лечения, тем меньше перспектив у зуба. "Киста" не приговор, лечение возможно, но нужно оценить в каком состоянии корни зуба. Хорошего дня Ссылка на комментарий
Mihail64 Опубликовано 26 декабря, 2022 Автор Поделиться Опубликовано 26 декабря, 2022 (изменено) Похоже перспективы не очень. Поставили также такой диагноз. Под зубом нагноение хронического характера, которое разъело костные ткани корней зуба. Сейчас образовался флюс щеки. Зуб подлежит удалению. Подскажите, ситуация именно такова? Изменено 26 декабря, 2022 пользователем Mihail64 Ссылка на комментарий
Женька Опубликовано 27 декабря, 2022 Поделиться Опубликовано 27 декабря, 2022 Возможно коллеги подскажут, что-то более конкретное. Я лично не вижу показаний к удалению по данному снимку и фото полости рта. КЛКТ возможно показало бы какие-то новые данные. По факту я вижу, что в зубе не было эндодонтии, а значит и прогнозы на излечение так называемой "кисты" очень хорошие. Просто нужен доктор, который возьмётся за лечение Как сказал выше Иван, не приговор. 1 Ссылка на комментарий
DoctorT Опубликовано 27 декабря, 2022 Поделиться Опубликовано 27 декабря, 2022 Нужно исключить трещину в зубе, если ее нет, то обычное лечение корневых каналов. P/S/ снимок конечно, как говорили коллеги КЛКТ. 1 Ссылка на комментарий
IvanK Опубликовано 28 декабря, 2022 Поделиться Опубликовано 28 декабря, 2022 Здравствуйте, согласен с коллегами Компьютерная томография и консультация терапевта-стоматолога позволят сказать о перспективах Не затягивайте, так как может случиться ситуация, при которой Вы сами не захотите сохранять Ссылка на комментарий
Mihail64 Опубликовано 29 декабря, 2022 Автор Поделиться Опубликовано 29 декабря, 2022 Здравствуйте. Так и есть, IvanK. Воспалительный процесс длился слишком долго, электротест показал, что зуб мертвый. Лечение оставит его, но гарантий от возобновления воспаления никто не дает. Хотелось сохранить, но надежнее избавиться. Спасибо за рекомендации, к сожалению, время упущено. Удаляю. Ссылка на комментарий
Рекомендуемые сообщения
Для публикации сообщений создайте учётную запись или авторизуйтесь
Вы должны быть пользователем, чтобы оставить комментарий
Создать аккаунт
Зарегистрируйте новый аккаунт в нашем сообществе. Это очень просто!
Регистрация нового пользователяВойти
Уже есть аккаунт? Войти в систему.
Войти