Перейти к содержанию
Стоматология для всех

Тотал


kuziy12

Рекомендуемые сообщения

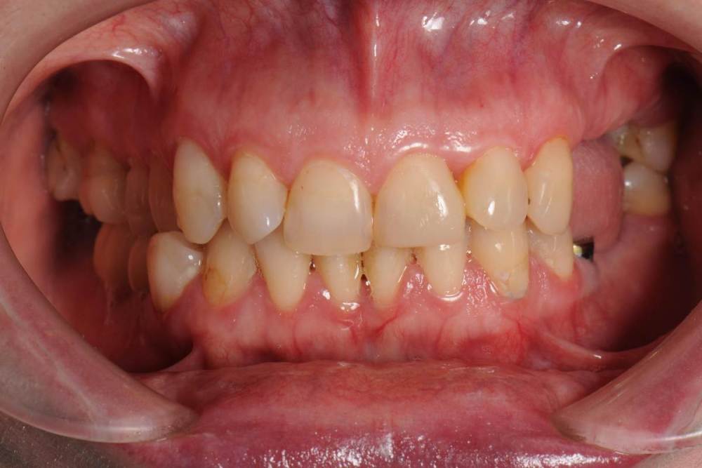
До:

 DSC_5213.thumb.JPG.6e86a6f23d4a3b351481153ff65ce690.JPG

DSC_5219.thumb.jpg.8c7bd392d78063bb07c5c97fce7c79af.jpg

695024850_.thumb.jpg.dee291f8ad325f6772d1bf6981bd13c4.jpg62927585_.thumb.jpg.daa94f744be7e20b7cd9470a76746d10.jpg

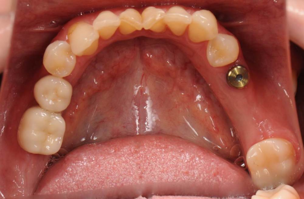
После ортодонтии и имплантации(делал не я):

21276649_.thumb.JPG.ac6bc70f88acb74ec8f69200429a4628.JPG

DSC_6448.thumb.JPG.8410ca5b1d184dbe575abfe993920475.JPG

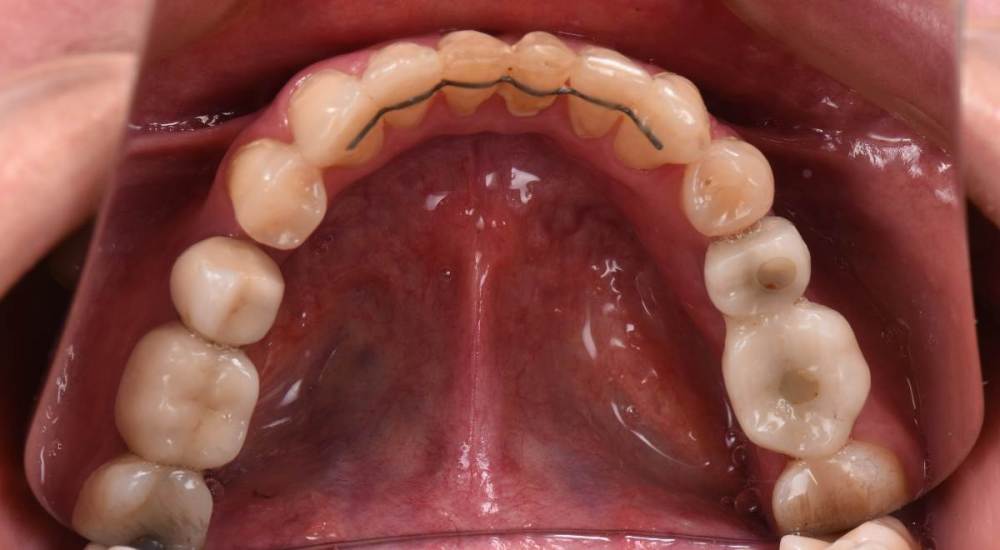
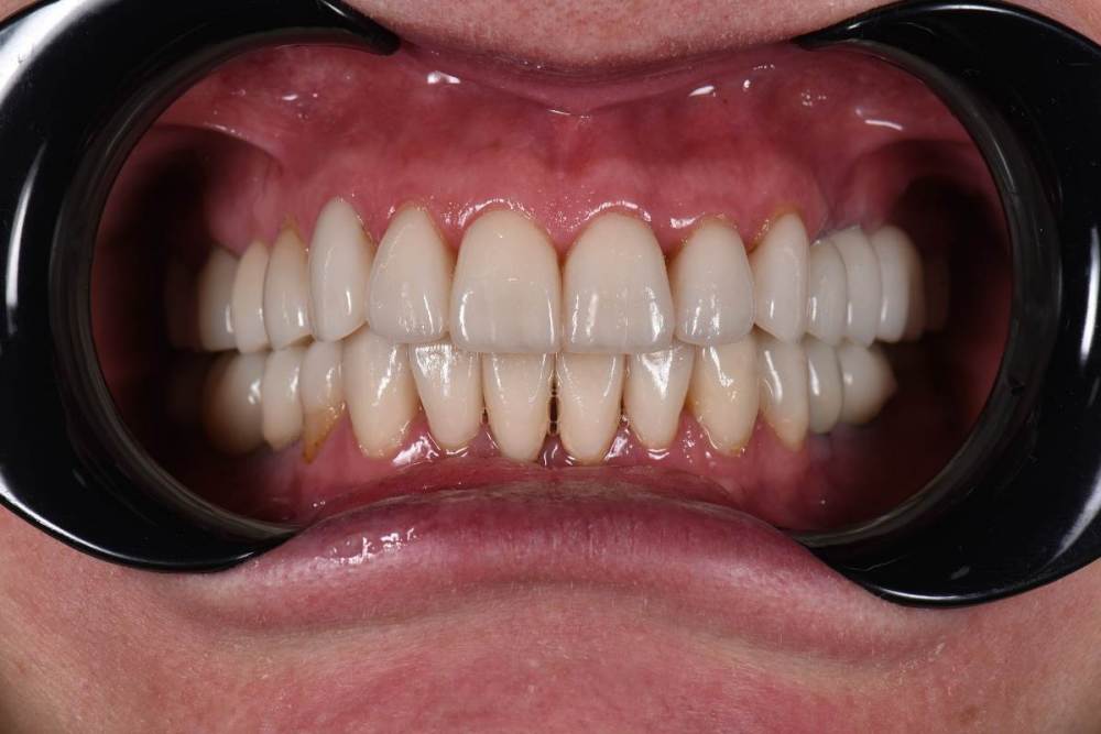
Финиш:

754622731_.thumb.JPG.76220528fdc535799b6fa325a0584dbb.JPG

2065806015_.thumb.JPG.2c9893b4ad1989d5149e8449c9038fac.JPG

DSC_0583.thumb.JPG.66f2923d0f8eca2a1db42be467c63bfb.JPG

1312836828_.thumb.jpg.bfcd915ed5483f9d2186a54412c3a93a.jpg

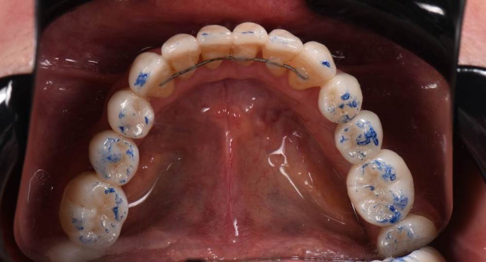
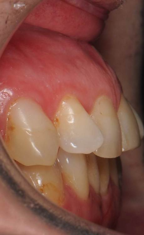
Брукс чекеры: 

DSC_0402.thumb.JPG.9053cba49785bf22984aecb4de6cbc02.JPGDSC_0403.thumb.JPG.2015cfab9c333c8bf57e8b673ced91ac.JPG

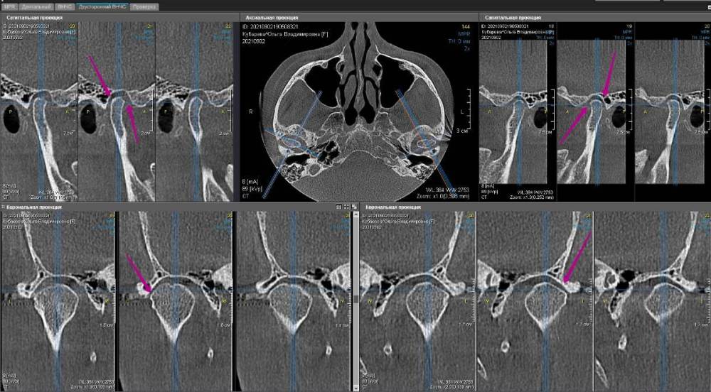
Закончил тотал и решил поделиться. Протезировали с учетом положения ВНЧС в концепции Славичека.  В конце изготовление брукс чекеров для проверки нежелательных контактов во время сна.  Гигиену пытаемся победить...

  • Like 4
  • Спасибо 1
  • Поддерживаю 1
Ссылка на комментарий

Для публикации сообщений создайте учётную запись или авторизуйтесь

Вы должны быть пользователем, чтобы оставить комментарий

Создать аккаунт

Зарегистрируйте новый аккаунт в нашем сообществе. Это очень просто!

Регистрация нового пользователя

Войти

Уже есть аккаунт? Войти в систему.

Войти
×
×
  • Создать...
Вверх