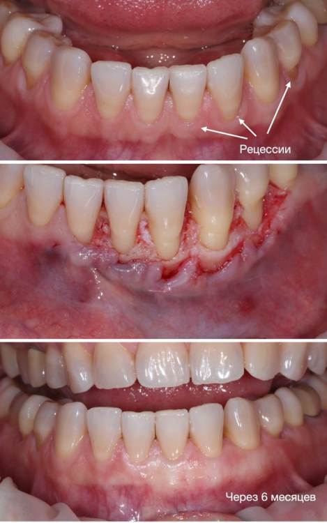
pit Опубликовано 19 декабря, 2022 Поделиться Опубликовано 19 декабря, 2022 Здравствуйте. Результат закрытия рецессий через 6 месяцев. Пациент обратился с жалобами на повышенную чувствительность зубов на холодное. Выполнено закрытие рецессий 31 32 34 зубов. Ход операции по ссылке. Жалобы сохраняются только в области 34 зуба, направлен в врачу-терапевту на устранение клиновидного дефекта 34 зуба. https://youtu.be/GyCjPCDK664 3 1 3 Ссылка на комментарий
сирена Опубликовано 19 декабря, 2022 Поделиться Опубликовано 19 декабря, 2022 Спасибо. Вы теперь вместо Насти несёте знание в массы)) Вообще, всегда очень нравилось, как Вы работаете.Красиво. Ссылка на комментарий
pit Опубликовано 19 декабря, 2022 Автор Поделиться Опубликовано 19 декабря, 2022 11 часов назад, сирена сказал: Спасибо. Вы теперь вместо Насти несёте знание в массы)) Вообще, всегда очень нравилось, как Вы работаете.Красиво. Да я собственно до нее здесь публиковался))). Но по рецессиям на зубах, она круче меня расскажет! 1 Ссылка на комментарий
Рекомендуемые сообщения
Для публикации сообщений создайте учётную запись или авторизуйтесь
Вы должны быть пользователем, чтобы оставить комментарий
Создать аккаунт
Зарегистрируйте новый аккаунт в нашем сообществе. Это очень просто!
Регистрация нового пользователяВойти
Уже есть аккаунт? Войти в систему.
Войти