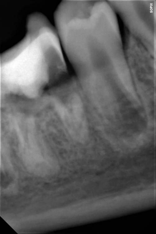
koreandr Опубликовано 7 декабря, 2022 Поделиться Опубликовано 7 декабря, 2022 (изменено) Привет, ребята! С детьми не работаю совсем. Подскажите, пожалуйста, какие тренды сейчас в таком случае. Удалять/ждать. Если ждать то чего? Ребенок 11 лет, зуб 46, возможно резорцин. Я думал это удалять, родители в сомнениях. Изменено 7 декабря, 2022 пользователем koreandr Ссылка на комментарий
DoctorT Опубликовано 7 декабря, 2022 Поделиться Опубликовано 7 декабря, 2022 (изменено) Здесь 45 спасать нужно, тк тень уже на апроксималке. ((( Я не детский врач, но может 46, пломбировка дастального канала, гемисекция + врем. протезирование до формирования постоянного прикуса, а затем уже имплантация. Изменено 7 декабря, 2022 пользователем DoctorT 1 Ссылка на комментарий
IvanK Опубликовано 9 декабря, 2022 Поделиться Опубликовано 9 декабря, 2022 Здравствуйте 6 удалять, 5 - определиться по ситуации, ортодонта подключить, можно подумать о трансплантации План можно составить только после диагностики 1 Ссылка на комментарий
red_butler Опубликовано 9 декабря, 2022 Поделиться Опубликовано 9 декабря, 2022 седьмой еще посмотрите, что то там с медиальным корнем 2 Ссылка на комментарий
red_butler Опубликовано 24 января, 2023 Поделиться Опубликовано 24 января, 2023 Здравствуйте, как разрулили? Ссылка на комментарий
Рекомендуемые сообщения
Для публикации сообщений создайте учётную запись или авторизуйтесь
Вы должны быть пользователем, чтобы оставить комментарий
Создать аккаунт
Зарегистрируйте новый аккаунт в нашем сообществе. Это очень просто!
Регистрация нового пользователяВойти
Уже есть аккаунт? Войти в систему.
Войти