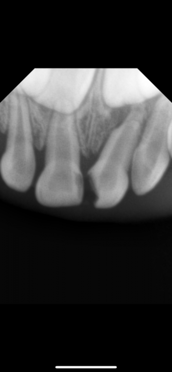
Polina21 Опубликовано 4 декабря, 2022 Поделиться Опубликовано 4 декабря, 2022 Здравствуйте!Ребенку 4года,молочный передний зуб частично разрушен. Были у стоматолога, сказали кариес,еще немного и источится до нерва. Сказали все там чистить и ставить пломбу,но делать под седацией. Хочу услышать ваше мнение судя по снимку Ссылка на комментарий
сирена Опубликовано 5 декабря, 2022 Поделиться Опубликовано 5 декабря, 2022 Правый зуб лечить, левый удалять. Там уже давно дошло всё до нерва , есть периапикальные изменения(в кости). Можно одномоментно под седацией, можно без седации, просто под местной анестезией, как будет вести себя ребёнок. Ссылка на комментарий
IvanK Опубликовано 5 декабря, 2022 Поделиться Опубликовано 5 декабря, 2022 17 часов назад, Polina21 сказал: Здравствуйте!Ребенку 4года,молочный передний зуб частично разрушен. Были у стоматолога, сказали кариес,еще немного и источится до нерва. Сказали все там чистить и ставить пломбу,но делать под седацией. Хочу услышать ваше мнение судя по снимку Здравствуйте Все зависит от ребенка, если доктор сможет договориться, то можно и без . Но С - обычно проще. Была травма переднего зуба? Делали тест на витальность? Ссылка на комментарий
Рекомендуемые сообщения
Для публикации сообщений создайте учётную запись или авторизуйтесь
Вы должны быть пользователем, чтобы оставить комментарий
Создать аккаунт
Зарегистрируйте новый аккаунт в нашем сообществе. Это очень просто!
Регистрация нового пользователяВойти
Уже есть аккаунт? Войти в систему.
Войти