Перейти к содержанию
Стоматология для всех

Дилемма, можно ли спасти-вылечить пломбой или только ортопедия (коронка?)


El-info

Рекомендуемые сообщения

Привет, вопрос к уважаемым специалистам - Дилемма, можно ли спасти-вылечить пломбой или только коронку ставить,т.е. =умерщвлять?

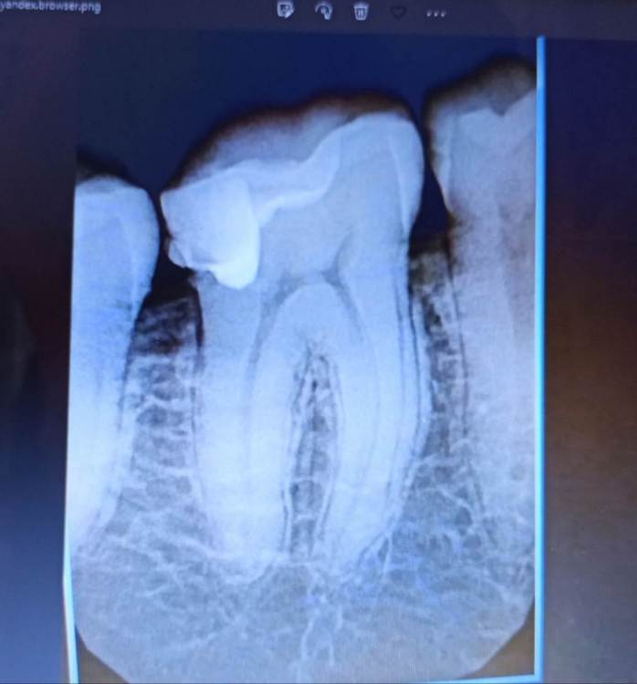
Зуб нижней челюсти справа.

Никаких операций ещё не было на зубах, очень не хочется "начинать"какие-то конструкции.

Снимки из КТ 2019-го года, и рентген лета 2022г.

Пломба ~2015-го.

НИКАКИХ симптомов нет, кроме визуального пятнышка и иногда запаха или "привкуса кариеса"-что может быть и от другого.

Однозначно, наверняка, на вопрос не ответить никому..(( но можно какой-то прогноз - хватит ли лечения "на пару лет", если "физически" лечить можно или всё однозначно?

 

IMG_20221123_142538.jpg

IMG_20221123_142442.jpg

IMG_20221123_142416.jpg

IMG_20221123_142347.jpg

IMG_20221123_142230.jpg

IMG_20221123_142205.jpg

Ссылка на комментарий

Здравствуйте

Кариес в любом случае лечить нужно. После обработки доктор оценит степень разрушения и скажет как лучше восстановить зуб

Не всегда при обработки под коронку зуб "умерщвляют"

 

Ссылка на комментарий

@IvanK такие истины понятны, но вот напрягает, что уже на КТ старом вижу,что как будто пломба прямо на пульпе ...и тогда то ли я вижу совсем не то,то ли действительно так - и значит что снимая эту пломбу, точно же придется "умерщвлять"?

То есть кроме того снаружи видно что пломба большая и кариес под нее "подлез", увидел эту непонятную темноту, как будто пульпу, переходящую в пломбу и напрягся так сказать 

Ссылка на комментарий
25.11.2022 в 07:04, El-info сказал:

@IvanK такие истины понятны, но вот напрягает, что уже на КТ старом вижу,что как будто пломба прямо на пульпе ...и тогда то ли я вижу совсем не то,то ли действительно так - и значит что снимая эту пломбу, точно же придется "умерщвлять"?

То есть кроме того снаружи видно что пломба большая и кариес под нее "подлез", увидел эту непонятную темноту, как будто пульпу, переходящую в пломбу и напрягся так сказать 

это субъективно 

Но чем дольше Вы ждете, тем шансов на "умерщвление" больше

Ссылка на комментарий

Для публикации сообщений создайте учётную запись или авторизуйтесь

Вы должны быть пользователем, чтобы оставить комментарий

Создать аккаунт

Зарегистрируйте новый аккаунт в нашем сообществе. Это очень просто!

Регистрация нового пользователя

Войти

Уже есть аккаунт? Войти в систему.

Войти
×
×
  • Создать...
Вверх