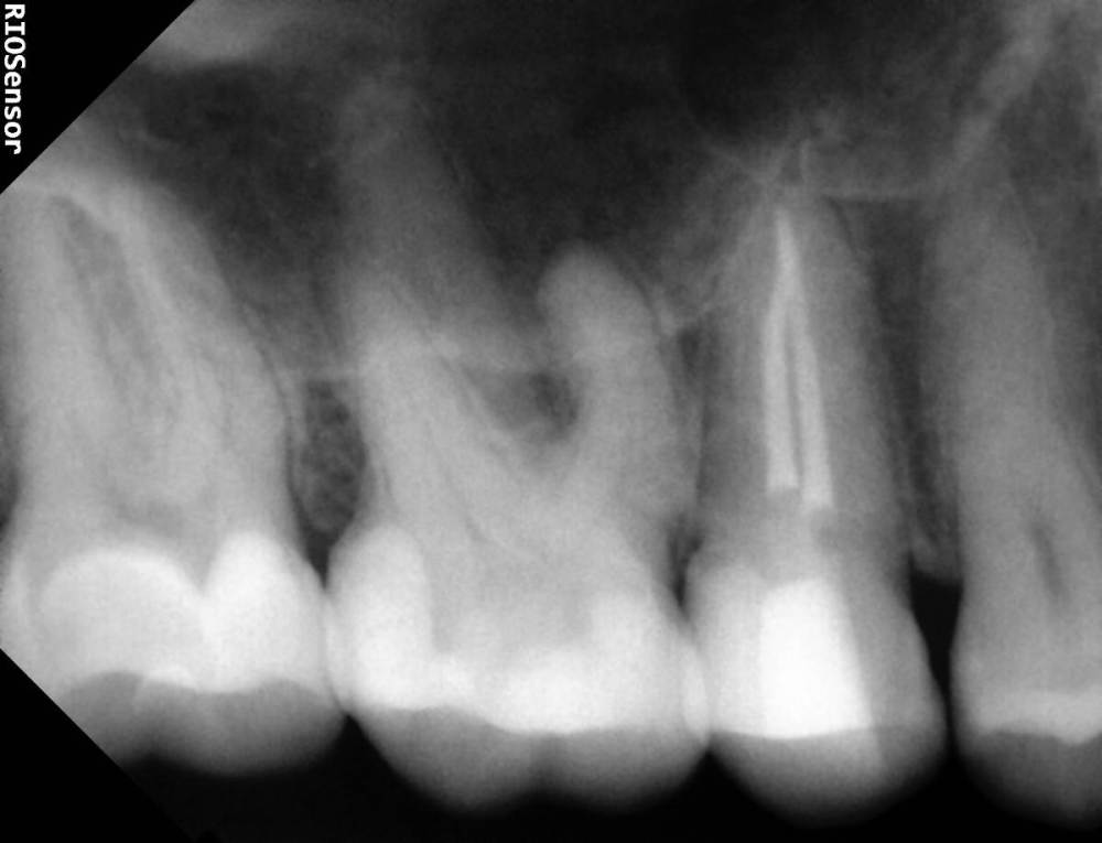
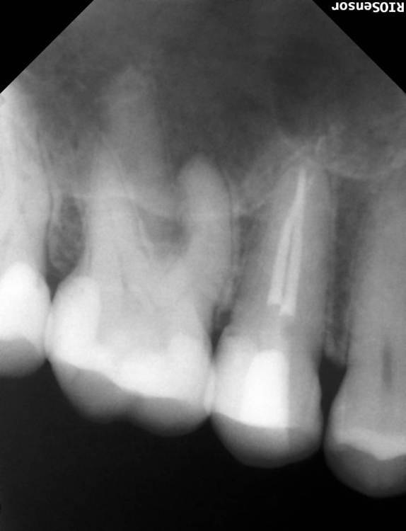
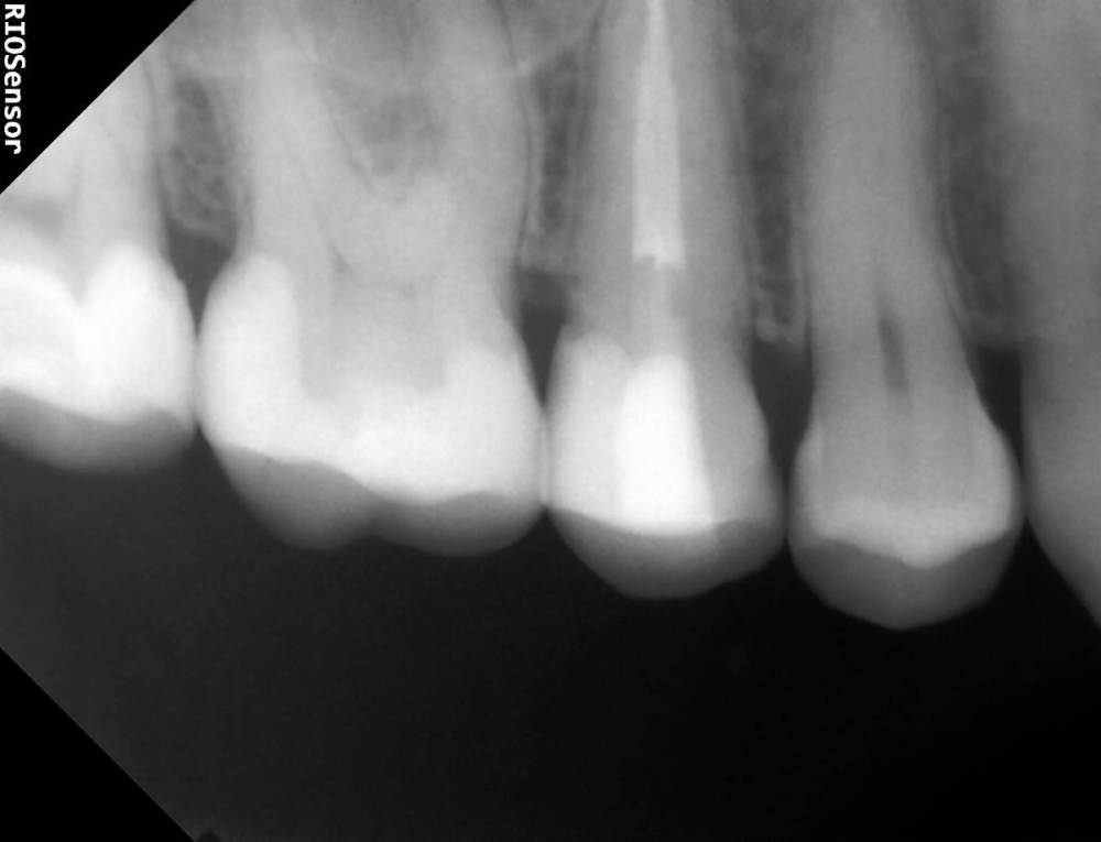
Александра117 Опубликовано 19 ноября, 2022 Поделиться Опубликовано 19 ноября, 2022 Всем Привет! Месяц назад лечила зуб верхнюю 5ку. Депульпировали и Пломбировали каналы гуттаперчей. На момент лечения в зубе уже была боль. Был поставлен диагноз пульпит. Но прошел уже месяц и боль в зубе сохраняется , при этом почти точно такая же как и до лечения. Боль постоянная ноющая средней интенсивности. Я думала это первое время после лечения такая боль будет. Но месяц прошел, а боль не уходит. Немного предыстории этого зуба: Зуб этот меня вообще не беспокоил изначально. Я пришла 12.09.2022 на прием, чтобы вылечить кариес. Стоматолог рассверлил и запломбировал. Но сказал, что очень глубокий кариес был, но решил пока сохранить пульпу и наблюдать. После лечения появились боли в зубе ,но терпимые. Через две недели боли усилились. Я пришла на прием снова с этим вопросом. Врач сказал, что после лечения глубокого кариеса могут быть боли, надо ещё понаблюдать. Ещё через пару неделю боль не проходила. Была довольно сильной. Врач принял решение депульпировать зуб. Лечение я проходила под микроскопом у опытного эндодонтиста. Именно у него я уже до этого лечила каналы у нескольких других зубов, и все было нормально. Но также это в в первый раз такое случилось, что боли такие сохраняются в течение месяца после лечения. После лечения врач сказал, что зуб меня беспокоить не должен больше. Сказал, что было лечение неосложненного пульпита. Но он беспокоит вот уже месяц. Вообще это у меня впервые, чтобы была боль в зубе и на момент лечения и после лечения каналов. До этого до болей в зубе дело не доходило. Пролечивалось раньше. Сделала свежие снимки Рентен через месяц после Лечения, их прилагаю сюда. По снимку видно, что каналы пройдены полностью до конца. Материал за Пределы Корня не выведен. Найдены все каналы. Их у меня в верхних пятерках их по два. Как и видно по КТ. Скажите, что это может быть? И что Можно сделать? Требует ли эта ситуация какого то срочного вмешательства или можно ещё наблюдать? Может ли это быть периодонтит, при том что на снимке в прикорневых тканях все спокойно? Ещё на внешней стороне зуба есть две белые трещины. Как раз на границе пломбы и стенки Зуба. В этом месте если трогать языком очень шершавая поверхность. Также, можете сказать, эти трещины это трещины Эмали или может быть что и более глубокие Трещины? ( Фото трещин тоже прилагаю) Ссылка на комментарий
IvanK Опубликовано 19 ноября, 2022 Поделиться Опубликовано 19 ноября, 2022 Здравствуйте А Вы обращались к своему врачу? Покажите скриншоты КТ Ссылка на комментарий
Александра117 Опубликовано 19 ноября, 2022 Автор Поделиться Опубликовано 19 ноября, 2022 14 минут назад, IvanK сказал: Здравствуйте А Вы обращались к своему врачу? Покажите скриншоты КТ Здравствуйте! КТ делалось до лечения. ( И я нахожусь в отъезде, КТ диска с собой нет). После лечения Не делала КТ. К Врачу обращалась. Он обтачил стенки, но это не помогло. Скажите, а по снимкам Рентген, которые я Выложила, и по моему описанию можно что то предположить? Ссылка на комментарий
IvanK Опубликовано 19 ноября, 2022 Поделиться Опубликовано 19 ноября, 2022 Тогда я бы советовал сделать КТ Предполагать возможно, но это не поможет в поиске причины) Ссылка на комментарий
Doc Опубликовано 19 ноября, 2022 Поделиться Опубликовано 19 ноября, 2022 А какого характера боли? Самопроизвольные, на холодное-горячее, острые или не очень, ночные-дневные, длительные или кратковременные? Это может иметь диагностическую ценность. Между пятеркой и шестеркой на снимке есть подозрение на кариес корня, но по этим снимкам сложно сказать что-то определенное. Ссылка на комментарий
Александра117 Опубликовано 19 ноября, 2022 Автор Поделиться Опубликовано 19 ноября, 2022 2 часа назад, Doc сказал: А какого характера боли? Самопроизвольные, на холодное-горячее, острые или не очень, ночные-дневные, длительные или кратковременные? Это может иметь диагностическую ценность. Между пятеркой и шестеркой на снимке есть подозрение на кариес корня, но по этим снимкам сложно сказать что-то определенное. Боли практически постоянные. И Ночью и днём. Ноющие. Средней интенсивности. 5-6 Баллов из 10. Иногда боль отпускает на небольшое время, если отвлечься на что то. От горячего немного усиливаются Боли. Скажите, а Кариес Корня просматривается на 5ке или 6ке ? Ссылка на комментарий
Doc Опубликовано 20 ноября, 2022 Поделиться Опубликовано 20 ноября, 2022 На пятерке почти точно, на шестерке сложно сказать по этому снимку, но подозрение есть тоже. Если там есть кариес корня, то он вполне может перейти в пульпит и так болеть. Ссылка на комментарий
Александра117 Опубликовано 20 ноября, 2022 Автор Поделиться Опубликовано 20 ноября, 2022 5 часов назад, Doc сказал: На пятерке почти точно, на шестерке сложно сказать по этому снимку, но подозрение есть тоже. Если там есть кариес корня, то он вполне может перейти в пульпит и так болеть. А этот кариес корня на 5ке и 6ке можно вылечить? Или только Удалять? Ссылка на комментарий
Рекомендуемые сообщения
Для публикации сообщений создайте учётную запись или авторизуйтесь
Вы должны быть пользователем, чтобы оставить комментарий
Создать аккаунт
Зарегистрируйте новый аккаунт в нашем сообществе. Это очень просто!
Регистрация нового пользователяВойти
Уже есть аккаунт? Войти в систему.
Войти