Перейти к содержанию
Стоматология для всех

Апикальное смещение лоскута лазером +ССТ


Рекомендуемые сообщения

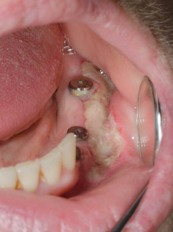
Работе уже 4 года но как то не хотел выкладывать,  так как сам не видел  отдаленный результат. Вот пациентка пришла на осмотр и я снял конструкцию потому что мы оба забыли что она стояла на темп-бонде. Десну отдавливал сразу постоянными.

 

 

До

1867154704_0.thumb.jpg.77c5cc151824e6909f643db82b11cf16.jpg659411253_1.thumb.jpg.ca78822b3d501e0820ef881f62a34c76.jpg

 

между фотографиями при открытии 6 ки был подсажен ССТ. Объем увеличился, а кератинизации не увидел, решил сделать смещение лоскута лазером.

 

922674979_2.thumb.jpg.d3cab8eb4145d11f090f72203a968de8.jpg

 

примерно через 6 дней 

 

1988054488_3.thumb.jpg.2e3ab7dfd32d9339c7f10a00fb3fe313.jpg

 

через 2 недели

 

1271770516_4.thumb.jpg.a6b168771ab3f235fb82cabde8e48291.jpg

 

1722472141_5.thumb.jpg.5e93a924b4d15ee1e8ef646bc90b2c32.jpg

 

Примерно через 3 года после снятия МК коронок  (клык не снимал, не требовалось). Насколько я понимаю ССТ все же дал рост и кератинизировалася.

1059118530_6.thumb.jpg.ae25c52bd0da373739d963e05d418243.jpg1344978972_7.thumb.jpg.9d95ea2624edd9ac8f1b1d6f88f256dc.jpg

 

Изменено пользователем Fin
  • Like 6
  • Спасибо 1
  • Поддерживаю 1
Ссылка на комментарий

Пару раз делал бортик из СОМ жидкотекучего. Забыл о них ?. Вот это преддверие кстати делается не так уж и трудно и от этого часто бывает лень ?

Ссылка на комментарий
38 минут назад, Nazim_NV86 сказал:

Пару раз делал бортик из СОМ жидкотекучего. Забыл о них ?. Вот это преддверие кстати делается не так уж и трудно и от этого часто бывает лень ?

Не так уж трудно, Вы про лазер или композит? Про композит слышал только для доп фиксации СДТ, но ниразу не пробовал. Стараюсь всегда подсаживать СДТ,так как слышал информацию что обычного смещенного лоскута недостаточно и десна через время становится снова подвижной. Однако лазером делаю тоже часто т.к. некоторые пациенты отказываются делать забор с неба. Результаты нравятся, но это один из немногих который наблюдаю через продолжительное время.

Ссылка на комментарий

Для публикации сообщений создайте учётную запись или авторизуйтесь

Вы должны быть пользователем, чтобы оставить комментарий

Создать аккаунт

Зарегистрируйте новый аккаунт в нашем сообществе. Это очень просто!

Регистрация нового пользователя

Войти

Уже есть аккаунт? Войти в систему.

Войти
×
×
  • Создать...
Вверх