Перейти к содержанию
Стоматология для всех

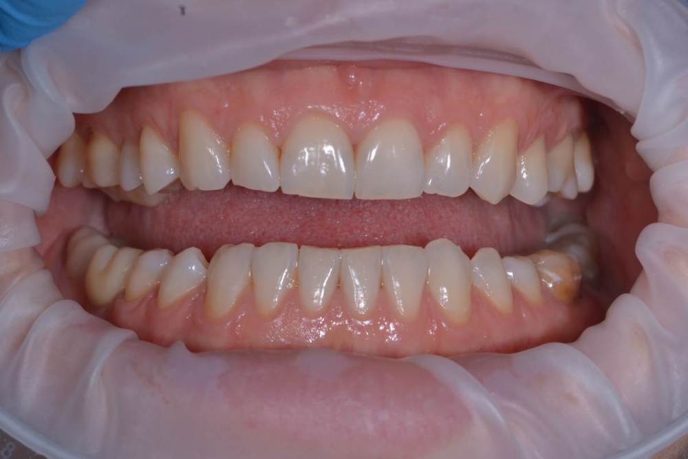
Стирается фронт с одной стороны


Tati1212

Рекомендуемые сообщения

Здравствуйте . Стерла клыки и маляры с одной стороны. Как остановить стираемость ? Мои предположения- низкая коронка на 46 и 47 зубе. Отсутствие 24 зуба. 

Как востановить клыки и остновить стираемость ?

DSC_0331.JPG

Ссылка на комментарий
  • 2 недели спустя...
27.10.2022 в 18:30, Tati1212 сказал:

Здравствуйте . Стерла клыки и маляры с одной стороны. Как остановить стираемость ? Мои предположения- низкая коронка на 46 и 47 зубе. Отсутствие 24 зуба. 

Как востановить клыки и остновить стираемость ?

 

Здравствуйте, 

к решение вашей проблемы нужно подключить ортодонта и ортопеда

По фото ответить вылечить невозможно

 

Ссылка на комментарий

Для публикации сообщений создайте учётную запись или авторизуйтесь

Вы должны быть пользователем, чтобы оставить комментарий

Создать аккаунт

Зарегистрируйте новый аккаунт в нашем сообществе. Это очень просто!

Регистрация нового пользователя

Войти

Уже есть аккаунт? Войти в систему.

Войти
×
×
  • Создать...
Вверх