Перейти к содержанию
Стоматология для всех

Нужна имплантация (тяжелый случай)


NataliaShtb

Рекомендуемые сообщения

Добрый день. 

Много лет назад было удалено 2 зуба, верхний зуб - тяжелое удаление с последующим лечением. После брекетов возникла необходимость заняться их имплантацией. Много раз ходила на консультации, но довериться кому-то очень сложно, потому что непонятен конечный результат и риски подобных операций. 

Ищу грамотного врача, у которого есть опыт в подобных случаях.

Ссылка на снимки и КТ: https://cloud.mail.ru/public/pEKh/Ve8YVhvpq

Буду благодарна за консультацию и совет.

Наталья

Ссылка на комментарий
  • 1 месяц спустя...

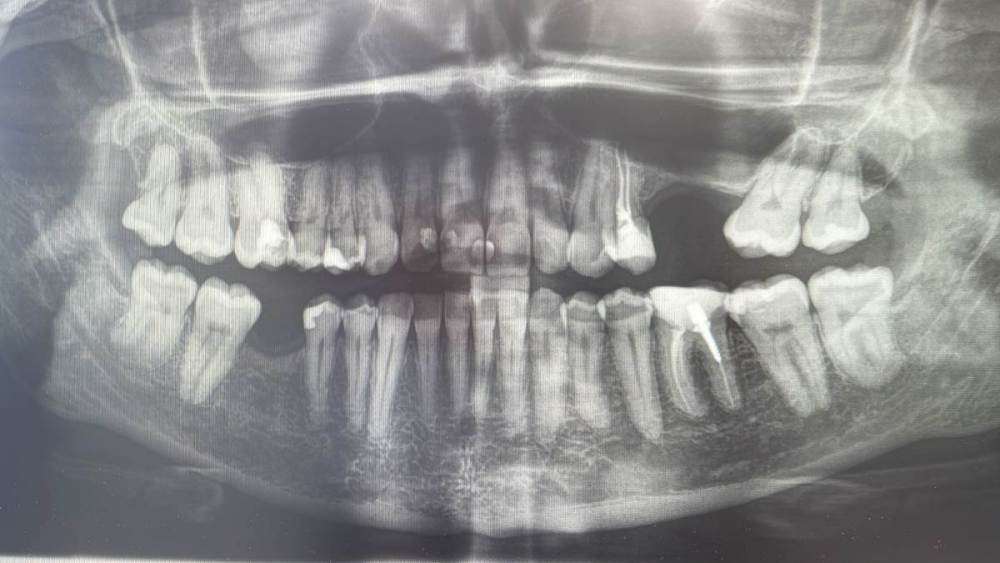
Здравствуйте, к сожалению врачи не располагают временем скачивать кт и фото,

если Вы будете прикреплять фото, снимки, скриншоты, то ответов будет больше.

В Вашем случае, ориентируясь на панорамный снимок могу посоветовать:

консультация ортопеда, ортодонта

большая вероятность , что будет необходимость в удалении 1.8,2.8,3.8,4.8

на компьютерной томографии нужно оценить 1.6 ( с терапевтом и ортопедом)

с ортопедом обсудить 2.4, 3.6..

касаемо 2 сегменте (где отсутствуют 2.5, 2.6): необходимо провести синус-лифтинг (наращивание кости) , вернуть зуб 2.7 на своем место, установить 2 имплантата , 

(с хирургом и ортопедом на консультации сразу определиться с величиной коронок на будущие имплантаты- от этого будет зависеть объем наращивания кости, десны)

+ нужно будет установить имплантат 4.6

Хорошего дня

Снимок.jpg

  • Поддерживаю 1
Ссылка на комментарий

Для публикации сообщений создайте учётную запись или авторизуйтесь

Вы должны быть пользователем, чтобы оставить комментарий

Создать аккаунт

Зарегистрируйте новый аккаунт в нашем сообществе. Это очень просто!

Регистрация нового пользователя

Войти

Уже есть аккаунт? Войти в систему.

Войти
×
×
  • Создать...
Вверх