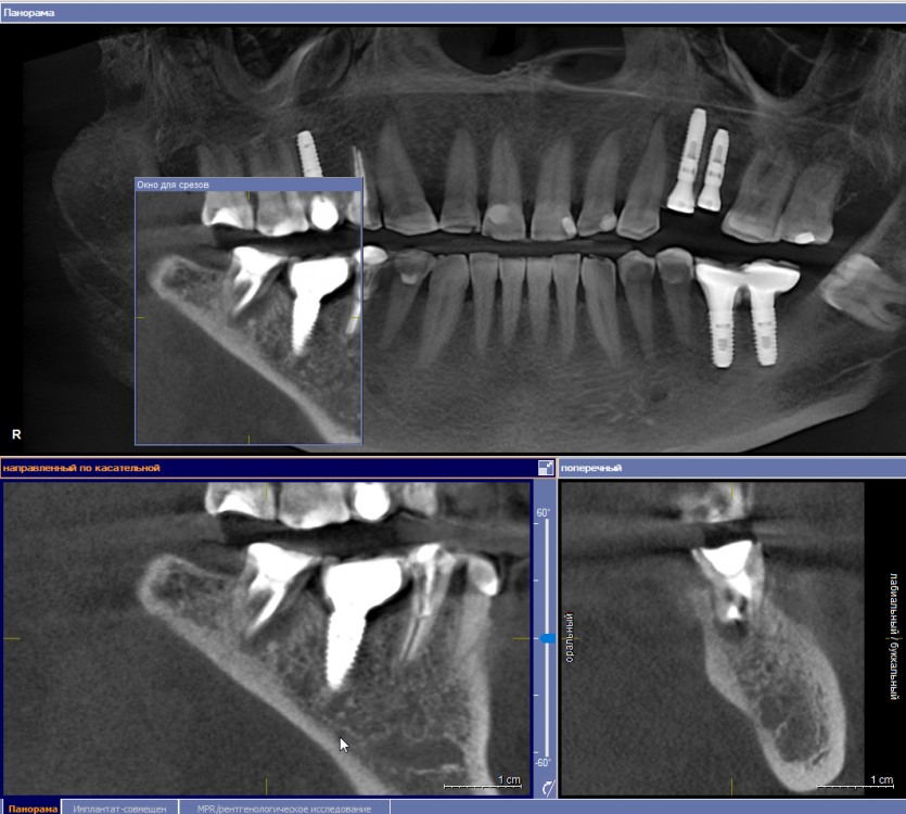
se77777 Опубликовано 19 сентября, 2022 Поделиться Опубликовано 19 сентября, 2022 Добрый день, 37. Эндодонтическое лечение с микроскопом 2,5 года назад. Слабая невнятная боль возвращалась от случая к случаю. Даже была тенденция к затягиванию полости. Но, похоже, не получилось. После коронавируса и серьезной нагрузки, впервые боль на короткое время обострилась. Полость, похоже, растет. От дна полости кисты до канала нерва 6 с небольшим мм. Показано ли в таком случае одномоментное удаление и имплантация? Спасибо. Ссылка на комментарий
red_butler Опубликовано 19 сентября, 2022 Поделиться Опубликовано 19 сентября, 2022 3 часа назад, se77777 сказал: Показано ли в таком случае одномоментное удаление и имплантация? Срезы не совсем корректные, но одномоментная имплантация скорее всего возможна 1 1 Ссылка на комментарий
IvanK Опубликовано 18 ноября, 2022 Поделиться Опубликовано 18 ноября, 2022 Да. есть большая вероятность , если будет в этом необходимость)) Ссылка на комментарий
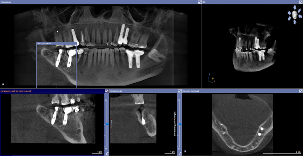
se77777 Опубликовано 3 апреля, 2023 Автор Поделиться Опубликовано 3 апреля, 2023 Здравствуйте, проведена одномоментная имплантация. Спустя 5 месяцев поставлена коронка. Коронка стоит месяц. На третьем месяце после имплантации стала беспокоить боль в плече, списывал на перенесенный COVID-19. Было субъективное ощущение, что температура формирователя повышена по отношению к остальным зубам и к формирователям, которые носил прежде. На днях стали беспокоить тянущая неинтенсивная боль в челюсти со стороны импланта. КТ сделана полтора месяца назад. Ссылка на комментарий
red_butler Опубликовано 3 апреля, 2023 Поделиться Опубликовано 3 апреля, 2023 Здравствуйте, срезы кт выставлены не правильно. Покажите еще Ссылка на комментарий
se77777 Опубликовано 3 апреля, 2023 Автор Поделиться Опубликовано 3 апреля, 2023 (изменено) Пожалуйста, дайте ссылку, как правильно выставлять срезы. Изменено 3 апреля, 2023 пользователем se77777 Загрузка изображений Ссылка на комментарий
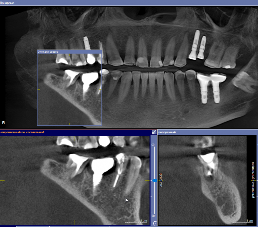
se77777 Опубликовано 4 апреля, 2023 Автор Поделиться Опубликовано 4 апреля, 2023 Может быть, еще как-то иначе вывести срезы? Ссылка на комментарий
АнтонТЛТ Опубликовано 4 апреля, 2023 Поделиться Опубликовано 4 апреля, 2023 У нижних двух окошек есть ползунки слева. Оси нужно выставить параллельно имплантату 1 Ссылка на комментарий
se77777 Опубликовано 5 апреля, 2023 Автор Поделиться Опубликовано 5 апреля, 2023 Спасибо. Ссылка на комментарий
red_butler Опубликовано 5 апреля, 2023 Поделиться Опубликовано 5 апреля, 2023 по Кт все нормально, нужно смотреть очно 1 Ссылка на комментарий
IvanK Опубликовано 6 апреля, 2023 Поделиться Опубликовано 6 апреля, 2023 Здравствуйте Покажитесь Вашему врачу Ссылка на комментарий
Рекомендуемые сообщения
Для публикации сообщений создайте учётную запись или авторизуйтесь
Вы должны быть пользователем, чтобы оставить комментарий
Создать аккаунт
Зарегистрируйте новый аккаунт в нашем сообществе. Это очень просто!
Регистрация нового пользователяВойти
Уже есть аккаунт? Войти в систему.
Войти