Перейти к содержанию
Стоматология для всех

цементно-костная дисплазия и брекеты


Shpinat

Рекомендуемые сообщения

Добрый день, прошу помощи.

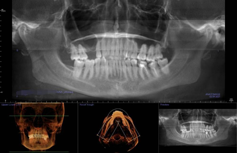
Ситуация в следующем: у меня стоят брекеты, пока только на верхней челюсти, ношу ~8 мес. На нижней челюсти в переднем отделе обнаружена цементно-костная дисплазия. Делалось два КТ, первое в 2021 (перед установкой верхней челюсти), второе месяц назад для оценки динамики перед установкой брекетов на низ. Дисплазия стала немного больше, но выглядит лучше (больше костной ткани). 

Вопрос: можно ли ставить брекеты на нижнюю челюсть при таком диагнозе? Какие есть риски, осложнения? На фото КТ, сделанное в 2021

8.jpg

7.jpg

6.jpg

4.jpg

Ссылка на комментарий

Для публикации сообщений создайте учётную запись или авторизуйтесь

Вы должны быть пользователем, чтобы оставить комментарий

Создать аккаунт

Зарегистрируйте новый аккаунт в нашем сообществе. Это очень просто!

Регистрация нового пользователя

Войти

Уже есть аккаунт? Войти в систему.

Войти
×
×
  • Создать...
Вверх