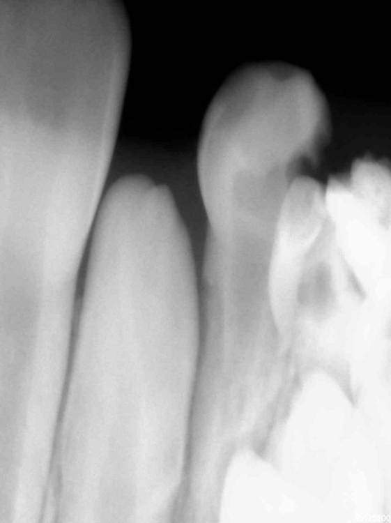
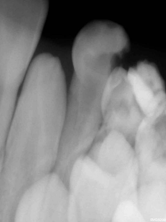
Zommer Опубликовано 14 сентября, 2022 Поделиться Опубликовано 14 сентября, 2022 (изменено) Добрый день, мальчику 8.5 лет, никак не вылезает верхняя двойка вместо давно выпавшего молочного зуба. Вторая верхняя двойка уже давно на своем месте. В клинике сделали вот такие снимки - врач сказала, что зубу просто мало места между клыком и постоянной единичкой, и делать ничего не надо, поводов для беспокойства нет. Так ли это и какие прогнозы? Спасибо Изменено 14 сентября, 2022 пользователем Zommer Ссылка на комментарий
Zommer Опубликовано 20 сентября, 2022 Автор Поделиться Опубликовано 20 сентября, 2022 судя по всему стоматологи на этот форум больше не заходят или снимки неудачные? Ссылка на комментарий
kramer Опубликовано 20 сентября, 2022 Поделиться Опубликовано 20 сентября, 2022 В этом возрасте вытащить этот зуб не получится, возможно, прорежется, если нет, показана установка брекет-системы, которая в свою очередь будет установлена только после прорезывания всех остальных постоянных зубов (12-14 лет) Ссылка на комментарий
Zommer Опубликовано 22 сентября, 2022 Автор Поделиться Опубликовано 22 сентября, 2022 спасибо! Ссылка на комментарий
Рекомендуемые сообщения
Для публикации сообщений создайте учётную запись или авторизуйтесь
Вы должны быть пользователем, чтобы оставить комментарий
Создать аккаунт
Зарегистрируйте новый аккаунт в нашем сообществе. Это очень просто!
Регистрация нового пользователяВойти
Уже есть аккаунт? Войти в систему.
Войти