Перейти к содержанию
Стоматология для всех

Рекомендуемые сообщения

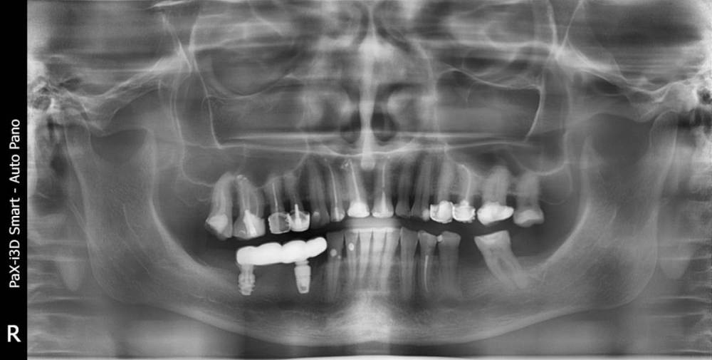
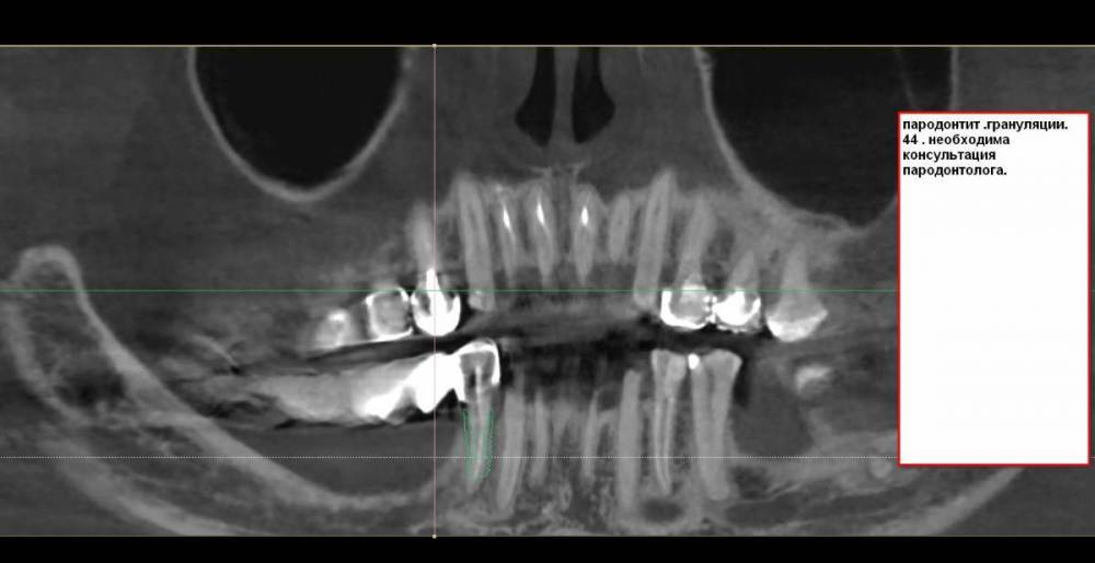
Вот с такой ситуацией обратилась к врачу, болел зуб мудрости.  Далее был сделан снимок (прилагаю фото решений- удаление опорных зубов с последующей заменой имплантами). PX20171201_162103_0000_000000FF.thumb.jpg.8c974cf49da3bb77db059abb91c7264c.jpg2018-01-24_013834.thumb.jpg.48a661d2a2f2d78a18d7b2906252d0a3.jpg2018-01-24_014845.thumb.jpg.0665ffa758959ace3ce9d7a8ff27421f.jpgпосле проведенных манипуляции появилась парастезия тройничного нерва, считаю это последствиями неверно установленного импланта, справедливо ли мое мнение?  Прохожу длительное лечение у невропатолога.  На крайнем визите врач отказал в помощи с этой проблемой и с обнаженным имплантом. (Прикладываю фото) 786267296_09_12_21.thumb.jpg.f332c30c240cb1ba19d2341b4f6014f1.jpg20220116_233530.thumb.jpg.c9cc82f18d25e9a905a2b7b1dc13eb8c.jpg20220116_232905.thumb.jpg.c3953c0b472c6e3ce1f46272ef507d2e.jpg1915694342_WhatsAppImage2022-08-20at19_39_20.thumb.jpeg.2099829af18d4d8c448126d5f323605f.jpegУ меня следующий вопрос:  верно ли назначенное лечение и насколько корректно установлены импланты, а также имелись ли противопоказания для установки имплантов, имея ввиду, что была убыль кости? Можно ли устанавливать импланты в таком случае?  прикладываю фото уже удаленного установленного на на импланты моста, правильно ли выполнен технически? (импланты пришлось удалить, а мост снять, чтобы сделать операцию по восстановлению кости, но уже в другой клинике. так как, как я писала выше, врач, установивший импланты отказал в помощи).

20220116_233354.jpg

Ссылка на комментарий

План лечения в виде удаления зубов и установки имплантов был назначен вам верно. Вариант с увеличением костной ткани и последующей имплантацией предпочтительней,чем ставить импланты без костной пластики. Но вариант,который делал первый доктор тоже не запрещен,видимо что то пошло не так

Ссылка на комментарий

Для публикации сообщений создайте учётную запись или авторизуйтесь

Вы должны быть пользователем, чтобы оставить комментарий

Создать аккаунт

Зарегистрируйте новый аккаунт в нашем сообществе. Это очень просто!

Регистрация нового пользователя

Войти

Уже есть аккаунт? Войти в систему.

Войти
×
×
  • Создать...
Вверх