Перейти к содержанию
Стоматология для всех

Потеряна высота прикуса , как найти


Tati1212

Рекомендуемые сообщения

Здравствуйте. Мне 43 года. 3 Года назад перед установкой импланта пролечены были каналы 47 зуба и искуственно вывели из прикуса , чтобы небыло нагрузки , так как своей поверхности на зубе было мало. План лечения был следующий : после одномоментной имплантации  и удалению 46 зуба , сразу ставят имплант. Через 3 мес установка коронки на имплант и далее протезирование 47 зуба и введение в прикус. 

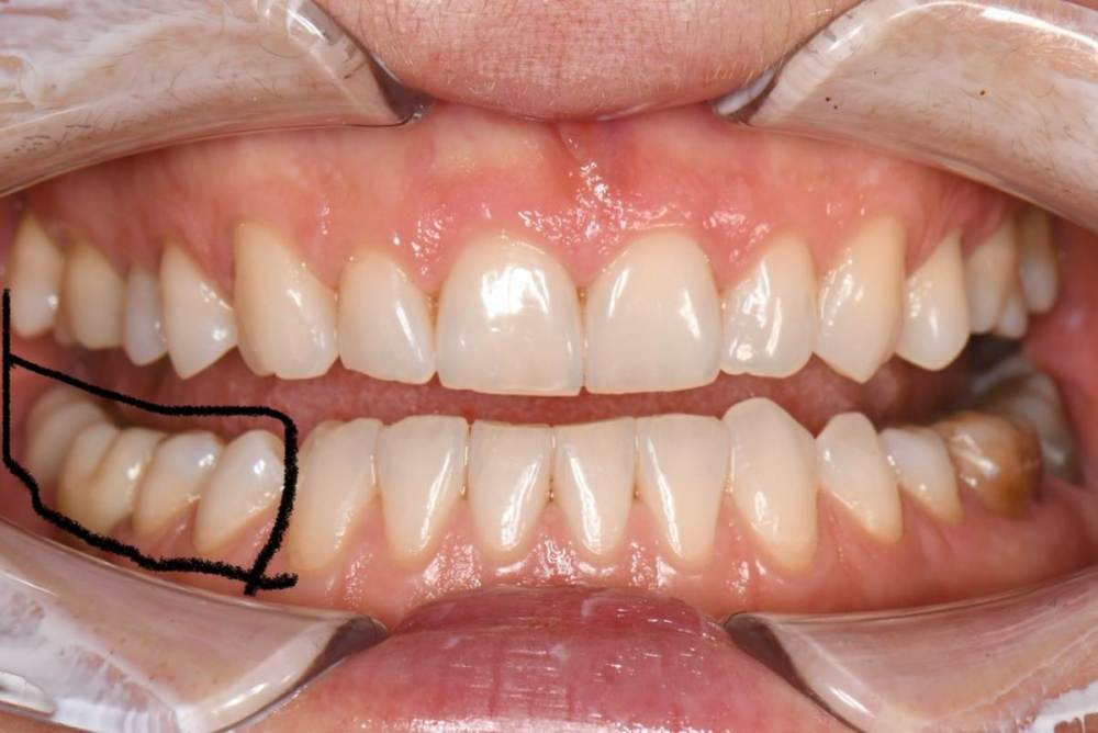
Но врач ортопед  делает низкую коронку , видимо ориентируясь на 47 зуб, не беря в учет , что он не в прикусе. Переделывать отказывается , так я хожу 3 года с низкой коронкой на 46 зубе, так как мне сказали, что это норма и я должна привыкнуть , так как это искуственный зуб , и нормально , что я его не чувствую и он в прикусе. Осенью прошлого года , я все таки решила пойти к другому ортопеду , так как я так и немогла привыкнуть к этой коронке. Выяснилось , что за 3 года использования , я стерла фронт и 5 зуб и клык.  Я решила поменять коронку , но мне опять ее делают низкой . Я прошу изначально , перед слепками и объясняю ортопеду , что мне нужно выше. Но мне говорят , что врачи знают больше пациента и есть протоколы по которым действуют ортопеды , а не руководствуются ощущениями пациента.  Мне ставят коронку вновь . И вновь смыкая левую челюсть , правая у меня в воздухе. Оплачиваю , иду домой. Опять немогу жевать , жутко не удобно и мой пятый зуб задействован больше , чем 46 и 47 .

Опять иду к другому  ортопеду , так как после оплаты денег мне ничего не хотят переделывать , ссылаясь что это субьективные ощущения и никаких показаний к переделке нет.

Слепки , далее установка коронки , и тут внезапно ортопед говорит что ничего сделать не может , так как крепление в импланте неправильное . Возможно был установлен фальсификат. Ставит старую коронку и отпускает домой, пожелав удачи и сказав , что в моей ситуации ничего не может сделать.

 

Далее я иду к третьему ортопеду. Он говорит , что у меня застрял абатмент , и он не рискует его доставать , так как нет ключей.  Отправляет меня разобраться с этим вопросом и вернуться к нему уже с вытащенным абатментом за коронкой.

 

Я поехала в представительство компании имплантов и мне сказали , что этот ключ не сертефицирован в РФ и они его не могут доставить в РФ. 

Обращаюсь к ортопедам , никто не хочет за это браться. В итоге , после моих долгих поисков нашелся человек и достал это. Я вернулась к ортопеду за коронкой. Мне опять было сказано , что сделается все как нужно , в итоге опять низкая коронка. Я попросила сделать 47 зуб коронку , в итоге она так же не в прикусе.

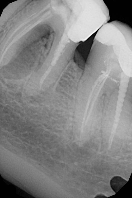
Спустя месяц после установки коронок у меня воспаляется киста на 36/37 зубе , так как давление на нее увеличилось и мне предлагают его удалить и поставить имплант. 

Но спустя 3 года , после установки импланта на 46 зуб мне так и незапротезировали его нормально.

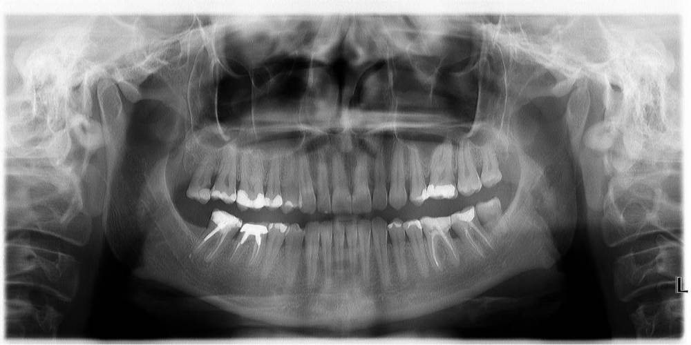
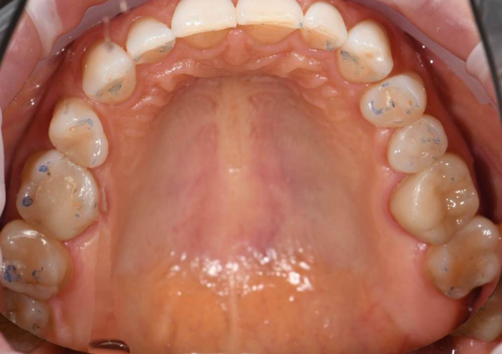
Высылаю фото отпечатков при прикусе , мою искривленную улыбку  панараму 2016 года до имплантации и сейчас. Так же ситуацию с 36.37

Вопросы у меня следующие :

 

1. Могу ли я по панорма 2016 года востановить прикус , который был тогда. Если нет , можно ли найти сейчас высоту прикуса с помощью накладок , валиков , либо поставить пломбы временные на зубы основные жевательные и уже по ним сделать слепки и запротезировать на нужную высоту. 

2. Какой мой порядок действий : вначале лечить 36 и 37 зуб. Но тогда убрав пломбы я вообще потеряю высоту зубов и как ее искать.

3. Почему , когда я прошу доктора поднять высоту 46/47, мне говорят о тотальном протезировании. Но у меня была в 2016 году своя высота. то что череда работы стоматологов мне ее убрала , это же не повод для тотального протезирования . Почему ортопеды с легкостью лишают меня высоты зубов , но возвращать ее никто не хочет

4.  Можно мне сохранить 36 зуб , я немогу себя вогнать в еще один геморой с имплантом , ну это уже сверх моих сил.

5. Почему некоторые лаборатории зуботехнические делают "коронки-кастрюльки", а другие элегантные изделия. Как это узнать выбирая врача ортопеда ?

Заранее благодарю за ответы.

 

DSC_2179.JPG

DSC_2178.JPG

IMG_3345.jpg

220825095808-Гумеров Н.Р.-общие-Хорошилова Т.Н.eb87a02b7aed4eb3b20dfaea7b4aef0f.jpg

IMG_3330.jpg

3 ноября  2016 год панорамный снимок полости рта .jpg

IMG_3321.JPG

панорамаа 2022 11 августа.pdf

Ссылка на комментарий

Для публикации сообщений создайте учётную запись или авторизуйтесь

Вы должны быть пользователем, чтобы оставить комментарий

Создать аккаунт

Зарегистрируйте новый аккаунт в нашем сообществе. Это очень просто!

Регистрация нового пользователя

Войти

Уже есть аккаунт? Войти в систему.

Войти
×
×
  • Создать...
Вверх