Перейти к содержанию
Стоматология для всех

Деревенская гнатология на минималках


kuziy12

Рекомендуемые сообщения

Всем привет. День начался как обычно.  Проснулся, умылся, подоил коров. Но тут утреннюю тишину нарушила  соседка: "Мил, человек, помоги! Хочу зубы вставить, да сустав щелкает. " Да без проблем, щас все решим. У нас современное оборудование. 

Прихожу на работу, к своему оборудованию:photo1661443052.thumb.jpeg.ca9704fe829cd4682733114f99bc0352.jpeg

Ну, думаю такое не то что не полетит, даже не пойдет. Нужно думаю обновиться

reference_sl_artikulyator_189-2-650x650-650x650.png.de35ed1873ebf93c9c9c0dbd824da2d5.png

Другое дело. Стаааааартуууууем.

По делу: 

Пациент: Женщина

Жалобы: двухсторонний щелчок в ВНЧС, болезненная мышечная пальпация, болезненная пальпация ВНЧС, боли при длительном жевании.  Постоянные головные боли и боли в шее. 

Желания: красивая улыбка по мере возможности(реально смотрит на вещи), убрать "хруст" в суставе. Щелчки настолько громкие, что при посторонних  человек уже не ел. 

Произведено: функциональная диагностика.  Выставлено новое терапевтическое положение нижней челюсти. Изготовлен байт(силиконовая накуска) и пациент отправлен на КТ

КТ ДО(до диагностики):

336494961_.thumb.png.684f55cf9298867e9822af0a23afacd8.png

КТ ПОСЛЕ(с байтом в полости рта):

1179766551_.thumb.png.b843c7b5a257dab69d353cd58d83e3fe.png

В целом хорошо. Пальпация стала безболезненной, из биламинарной зоны мыщелок убрали - одни плюсы. Изготовили капу, составили план лечения и погнали..

План:

1)Сплинтотерапия(1 месяц) - у нас вышло 2 из - за разных причин.

2)Восковое моделирование по Славичеку

3)Изготовление временных конструкций с помощью силиконовый ключей

4)Изготовление постоянных коронок

В промежутках лечение и имплантация. 

После двух месяцев сплинтотерапии ушли головные боли и боли в шее. 

Восковое:
 

IMG_0829.thumb.JPG.608bdcb27c9ca9b2e55fe274d2ecfaf6.JPGIMG_0819.thumb.JPG.d8bb2ec3c123dcd85b14b25693f83c09.JPGIMG_0825.thumb.JPG.6346606830caa517d44fe225ac9d40bf.JPG

Для сравнения ситуация до:

1118463997_ICP(2).thumb.JPG.6ea5ace5a0ac58ccc721805c17d53dc0.JPG

 

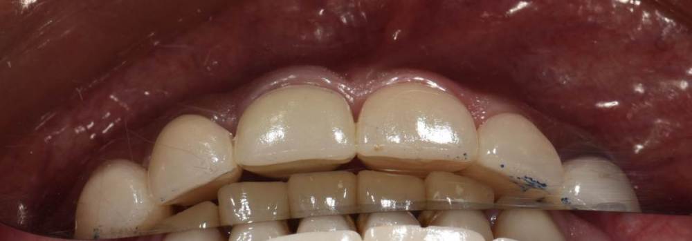
Пару дней назад сделали перенос воскового моделирования в полость рта с помощью силиконовый ключей. 

Улыбка до:

IMG_0634.thumb.jpg.5ffaa548d0888778b0f37eea7c1e219e.jpg

Улыбка после(стоит анестезия, на губу не обращаем внимания):

464983353_IMG_0833(2).thumb.JPG.6fc1756f43caeb2ff7b9787b9c74bee1.JPG

 

Перенос был без препарирования передних зубов, поэтому пациент оценивает только форму и функцию. На цвет не обращаем внимания.

Впереди месяц на временных и переходим на постоянные коронки.. 

Всем спасибо за внимание. 

P/s: хотелось бы показать и фото с осанкой человека и нижней третей лица, но сами все понимаете. 

 

 

Изменено пользователем kuziy12
  • Like 4
  • Спасибо 1
  • Поддерживаю 1
Ссылка на комментарий
  • 1 месяц спустя...

@kuziy12 сложно, и неточно ,зачем эти танцы с бубном если на выходе кривой мок ап?всё это делается легко в цифре без артикуляторов и прочих приблуд?намного точно и бысто.Гнатология это утопия для доктора и пациента

  • Like 1
  • Поддерживаю 1
Ссылка на комментарий
20 минут назад, TIGER сказал:

@kuziy12 сложно, и неточно ,зачем эти танцы с бубном если на выходе кривой мок ап?всё это делается легко в цифре без артикуляторов и прочих приблуд?намного точно и бысто.Гнатология это утопия для доктора и пациента

как лечите суставных пациентов? Или у вас их нет??

Ссылка на комментарий

Независимо от предмета обсуждения захотелось сказать, что я вами горжусь, коллеги! Дожил до времен, когда у нас самые обычные врачи (не суперзвезды мирового уровня, без профессорских званий и т.д.) проявляют такое знание предмета, какое на хваленом Западе еще иди поищи! Вы молодцы!

Что касается вопроса по существу, то всегда считал, что каждое оружие хорошо в руках своего мастера. Кто-то уходит в цифру, кто-то работает с воском. Оружие не так важно, важен результат! В данном кейсе результат есть - сустав встал в нужное положение и, скорее всего, для пациента все закончится удачно. 

  • Like 1
  • Поддерживаю 4
Ссылка на комментарий
2 часа назад, TIGER сказал:

@kuziy12 за 20 лет ни одного ?обычно пациенты с болями это психосоматика…)я таких переправляю к любителям?

Ой, не всегда! :)

Ссылка на комментарий
4 часа назад, TIGER сказал:

@kuziy12 за 20 лет ни одного ?обычно пациенты с болями это психосоматика…)я таких переправляю к любителям?

Спорить не буду) Когда сустав щелкает, наверное, это пациент специально делает, чтобы доктора помучить) 

Ссылка на комментарий

@kuziy12 у меня всю жизнь щёлкает и обратный прикус?сапожник без сапог,но живу .никого не мучаю.и себя главное лечением)вся эта гнатология утопия чистой воды,чем больше вникаешь тем больше усложняешь жизнь себе и пациентам?удачи Вам док

Ссылка на комментарий

@TIGER а если профессионально? Мне вот очень интересно аргументированное мнение по поводу суставной патологии, потому что очень часто наблюдаю пациентов с многолетней патологией (включающей щелчки, хрусты, девиации и скачки), но без нарушения функции. С обратной стороны, я сталкивался со значительным количеством специалистов гнатологов (включая титулованных), которые лечили пациентов без какой-то симптоматики начиная прямо с подпяточников и полной обточкой от уха до уха в ситуациях, требующих протезирования одиночного дефекта.

Сам же я будучи хирургом в этих вещах блуждаю достаточно слепо и, честно говоря, очень жажду направления в академическое и доказательное русло

Ссылка на комментарий
8 часов назад, TIGER сказал:

@kuziy12 у меня всю жизнь щёлкает и обратный прикус?сапожник без сапог,но живу .никого не мучаю.и себя главное лечением)вся эта гнатология утопия чистой воды,чем больше вникаешь тем больше усложняешь жизнь себе и пациентам?удачи Вам док

До того момента, когда диск не дислоцируется и вы не сможете открыть рот( не дай бог конечно)

 

Ссылка на комментарий

@Irouil я вот и пишу,что за 20 лет практики даже с кривым ртом никто не высказал,что его беспокоят щелчки и прочее.видел такие кривые рты и никаких жалоб?компенсация видимо…а вот только погрузись в гнатологию и всё…пиши пропало)протезирование тотальное,при грамотном подходе никаких гнатологов не надо.я без моделей всё делаю даже ,со скана .но уточню дробно ведя по временным конструкциям ,отработав на них.но я провинциальный доктор доктор?меня не надо слушать как истину в последней инстанции,я могу быть не прав,но делюсь опытом)ИМХО?

@kuziy12 за 41 год пока норм?

Изменено пользователем TIGER
  • Like 1
Ссылка на комментарий

@Irouil вам в чат к Гамиду Насуеву думаю надо тогда)

Там этой гнатологии очень много. И Гамид очень грамотен в этом вопросе.

Ссылка на комментарий
03.10.2022 в 07:14, TIGER сказал:

@Irouil я вот и пишу,что за 20 лет практики даже с кривым ртом никто не высказал,что его беспокоят щелчки и прочее.видел такие кривые рты и никаких жалоб?компенсация видимо…а вот только погрузись в гнатологию и всё…пиши пропало)протезирование тотальное,при грамотном подходе никаких гнатологов не надо.я без моделей всё делаю даже ,со скана .но уточню дробно ведя по временным конструкциям ,отработав на них.но я провинциальный доктор доктор?меня не надо слушать как истину в последней инстанции,я могу быть не прав,но делюсь опытом)ИМХО?

@kuziy12 за 41 год пока норм?

Вопрос не в том, что Вы провинциальный или столичный врач. У нас полно в провинции таких людей, к которым из Москвы и Питера ездят учиться. Просто Вы пытаетесь сделать выводы по очень плохой статистике — по одному себе. У нас таких пациентов с проблемами суставов — десятки в месяц. К сожалению, по городу прошел слух, что мы таких лечим и к нам они уже не первый год валят. Большинству удается помочь как раз благодаря правильно поставленному процессу в ортодонтическом отделении. Это очень затратное направление (сканеры, аксиографы, 3D, артикуляторы, и все такое, не считая обучения), но оно реально работает. На одном-двух пациентах такие затраты не окупаются, естественно, потому этим мало кто заморачивается и заниматься толком не хочет и не умеет. Но это не значит, что такого направления в медицине нет и не должно быть.

  • Like 2
  • Поддерживаю 2
Ссылка на комментарий

Вывих диска с редукцией ( щелканье ) встречается часто. Равно как и вывих диска без редукции))) И это реально беда. Когда пациент может занести в рот во время еды только ложку супа. Не более. В общем проблема распространена и никакой психосоматики здесь рядом не стояло.  P.S. Покойный Skip был мастером в этом вопросе

Изменено пользователем Aquarius
  • Like 2
Ссылка на комментарий
07.10.2022 в 17:34, Doc сказал:

Вопрос не в том, что Вы провинциальный или столичный врач. У нас полно в провинции таких людей, к которым из Москвы и Питера ездят учиться. Просто Вы пытаетесь сделать выводы по очень плохой статистике — по одному себе. У нас таких пациентов с проблемами суставов — десятки в месяц. К сожалению, по городу прошел слух, что мы таких лечим и к нам они уже не первый год валят. Большинству удается помочь как раз благодаря правильно поставленному процессу в ортодонтическом отделении. Это очень затратное направление (сканеры, аксиографы, 3D, артикуляторы, и все такое, не считая обучения), но оно реально работает. На одном-двух пациентах такие затраты не окупаются, естественно, потому этим мало кто заморачивается и заниматься толком не хочет и не умеет. Но это не значит, что такого направления в медицине нет и не должно быть.

Истинно понимаешь ваши слова только тогда, когда помогаешь первому такому пациенту. Ну и в целом подход к протезированию меняется. Потом еще лекции Сато...

  • Like 1
Ссылка на комментарий
  • 8 месяцев спустя...

 

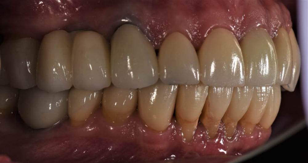
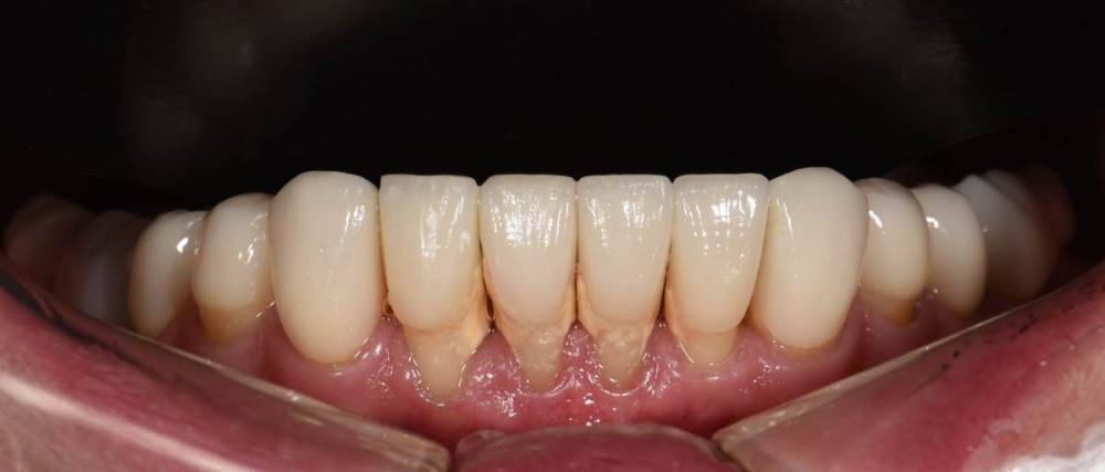
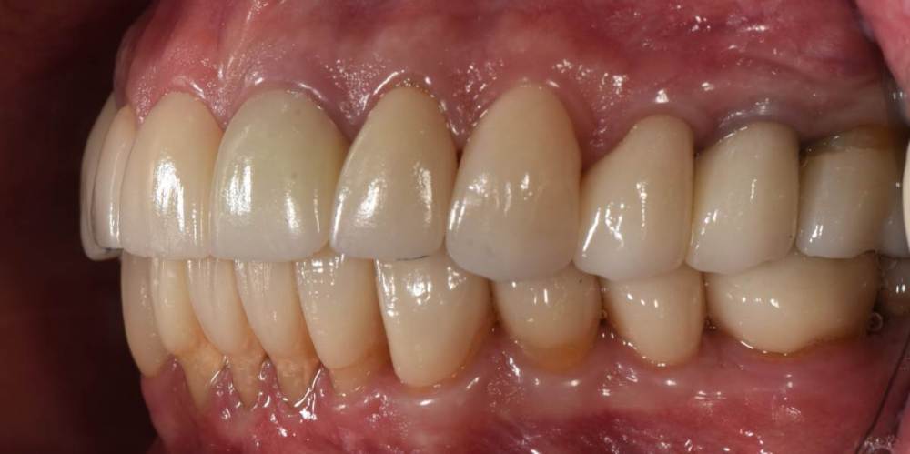
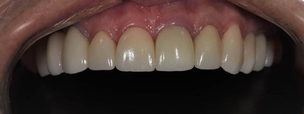
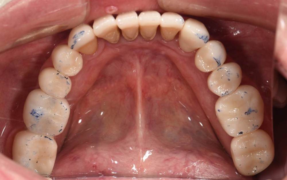
Финал работы:

DSC_3144.thumb.JPG.c9e60b8847f66dc01ba0e6e1113ab39b.JPGDSC_3145.thumb.JPG.1723748a079bc482f1a7e4534aff8f33.JPGDSC_3146.thumb.JPG.6dd4d0eb29dc3e6e92773c3c7892f692.JPGDSC_3147.thumb.JPG.e4f9cc2d841e3b7ff3aa73491ba9b4a3.JPGDSC_3148.thumb.JPG.0f174600adf2a49d65266a0ff665abfd.JPGDSC_3149.thumb.JPG.c9849be795d45b2573488d4545f3843f.JPGDSC_3150.thumb.JPG.6380366ecde7802fa32c6471b8b33883.JPGDSC_3153.thumb.JPG.1420d109d08ed1d6bd63447fe73eeed6.JPGDSC_3154.thumb.JPG.04b902149b3c0f9f2f1bcfa2e310c855.JPG

 

Фото спустя месяц после фиксации. Сначала нижняя челюсть, потом верхняя. Решение с передними нижними зубами - компромиссное. Все они витальные, имели 2-3 степень подвижности. После исправления положения нижней челюсти и установления правильных окклюзионных контактов - 1-2 степень подвижности. По поводу гигиены пытаемся. 

Изменено пользователем kuziy12
  • Like 4
  • Спасибо 1
  • Поддерживаю 1
Ссылка на комментарий

Для публикации сообщений создайте учётную запись или авторизуйтесь

Вы должны быть пользователем, чтобы оставить комментарий

Создать аккаунт

Зарегистрируйте новый аккаунт в нашем сообществе. Это очень просто!

Регистрация нового пользователя

Войти

Уже есть аккаунт? Войти в систему.

Войти
×
×
  • Создать...
Вверх