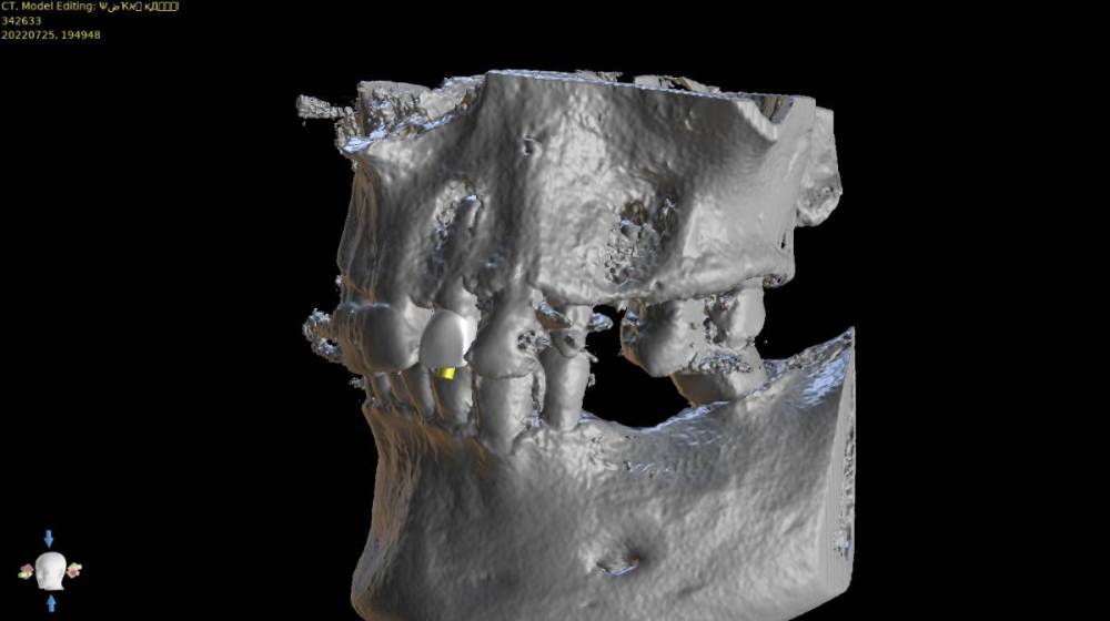
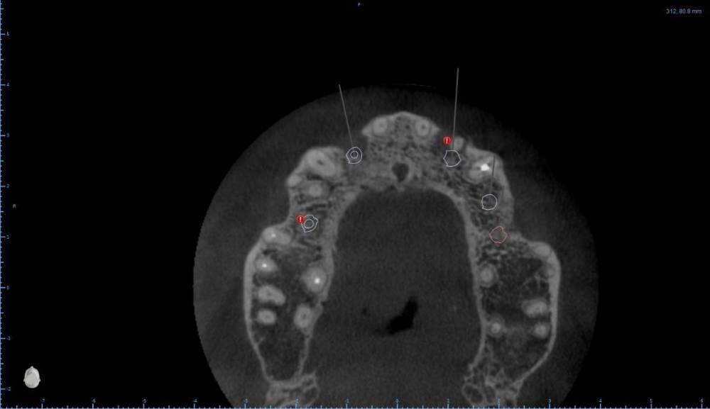
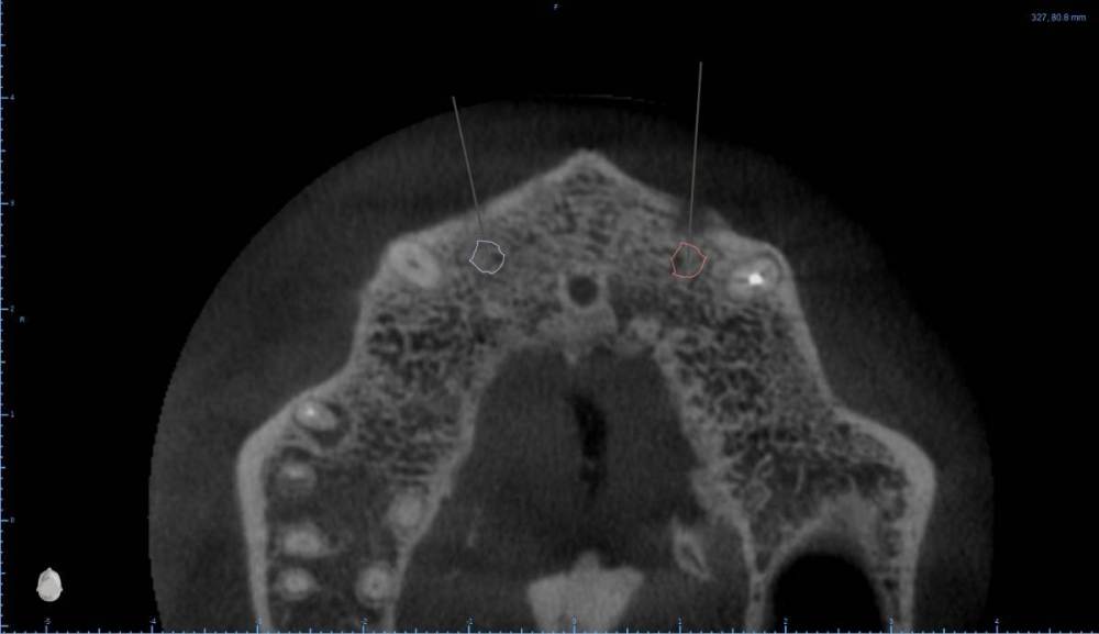
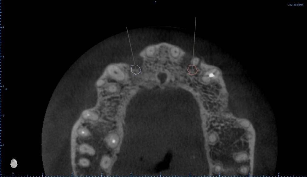
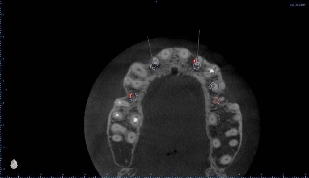
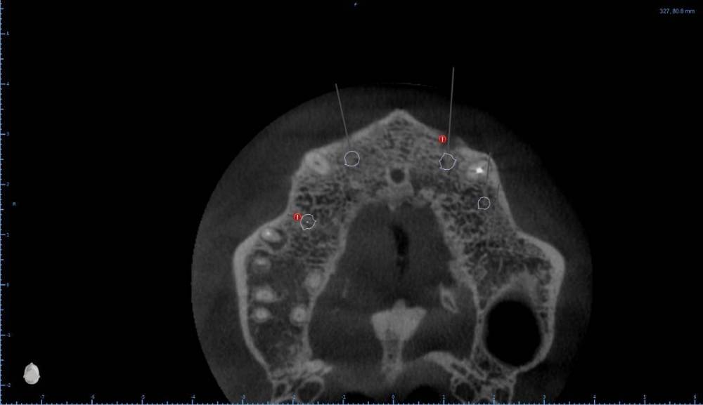
Женька Опубликовано 6 августа, 2022 Поделиться Опубликовано 6 августа, 2022 В общем планируется большая (по крайней мере для меня) работа. Вот такой товарищ у нас. Делали бы НКР в области 2.5з? или поставили бы чисто по кости, а оголённый участок закрыли присыпкой и мембраной? Также вопросы по двойкам имеются. Бугор есть, сразу оговорюсь, правда только с одной стороны. Также не понятно пока "как его правильно готовить" этот бугор, чтобы закрыть такие дефекты вестибулярной пластинки. Скрины постарался нарезать по максимуму. Там ещё будет ортодонтия конечно же. Интрузии, движения всякие и тд) Да, знаю, что планировать без цифрового гипса неправильно, но что имею. Ссылка на комментарий
Irouil Опубликовано 6 августа, 2022 Поделиться Опубликовано 6 августа, 2022 Если будет ортодонтия, то не проще ли вытянуть двойки чтобы вырастить ткани? ИДР тут нужен основательный очень, винты придётся крутить тоже очень длинные В области премоляра не вижу смысла что-то графтить, если хочется чего-то натолкать - можно стружки со сверла упаковать в дефект, но имхо не обязательно. А если сместить винт небно и чуть аннулировать, преп только пилотным и дальше конденсировать... ну Вы поняли 1 Ссылка на комментарий
Женька Опубликовано 6 августа, 2022 Автор Поделиться Опубликовано 6 августа, 2022 (изменено) @Irouil ортопед вряд ли согласится на такое. Может тогда проще пойти отсроченно? Удалить, кюретаж, губку в лунки и мэриленд (каппа с зубами) на 3 месяца. А потом уже выдумывать пластики по факту новой КТ? Винты 14мм максимум что есть По премоляру вот тоже думаю, что игра не стоит свеч. А двойки... признаться я уже ортопеду сказал, что отсрочено пойдём... хотя конечно пока всё ещё раздумываю Изменено 6 августа, 2022 пользователем Женька Ссылка на комментарий
TIGER Опубликовано 10 августа, 2022 Поделиться Опубликовано 10 августа, 2022 @Женька ставил бы сразу с IDR -B2S? Ссылка на комментарий
Женька Опубликовано 12 августа, 2022 Автор Поделиться Опубликовано 12 августа, 2022 (изменено) @TIGER меня размеры дефектов смущают очень сильно. понимаю, что идр лучше, но вариация со смарт билдером по идее тоже должна сработать? Изменено 12 августа, 2022 пользователем Женька Ссылка на комментарий
Raystom Опубликовано 12 августа, 2022 Поделиться Опубликовано 12 августа, 2022 @Женька со смартбилдером при таких дефектах получите огромные проблемы 1 Ссылка на комментарий
TIGER Опубликовано 12 августа, 2022 Поделиться Опубликовано 12 августа, 2022 @Raystom плюсую Ссылка на комментарий
Irouil Опубликовано 12 августа, 2022 Поделиться Опубликовано 12 августа, 2022 06.08.2022 в 19:43, Женька сказал: @Irouil ортопед вряд ли согласится на такое. А причём тут ортопед? Ссылка на комментарий
Женька Опубликовано 17 августа, 2022 Автор Поделиться Опубликовано 17 августа, 2022 @Irouil скажем так, она музыку заказывает. Ссылка на комментарий
Рекомендуемые сообщения
Для публикации сообщений создайте учётную запись или авторизуйтесь
Вы должны быть пользователем, чтобы оставить комментарий
Создать аккаунт
Зарегистрируйте новый аккаунт в нашем сообществе. Это очень просто!
Регистрация нового пользователяВойти
Уже есть аккаунт? Войти в систему.
Войти