Перейти к содержанию
Стоматология для всех

Сложная ситуация с коронками


Rennie

Рекомендуемые сообщения

Добрый день!

Крайне нуждаюсь в вашей помощи по поводу сложившейся ситуации:

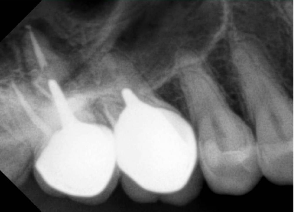
Три года назад на верхние 6 и 7 справа были поставлены метал-керамические коронки. На одном из них случайно попали в пазуху и там осталось немного пломбировочного материала. Все в принципе было спокойно.  В декабре 2020 удаляем все восьмерки, было страшно за те самые коронки, когда удаляли восьмёрку рядом с ними. Обошлось, все тихо.

И вот настал 2022 год и в середине июля обострился хрон.тонзиллит -  боли в горле и бело пятно. За неделю ушло.

Далее - с примерно 26 июля  начинаются пульсации между 6 и 7 зубами(эти самые коронки), часто начинались вечером и ночью. Первую неделю при надкусывании ощущалась некая усадка/подвижность ( в 7ом зубе, вроде).  Пришлось мазать метрогилом, полоскать содой. Также бывало что даже массирования челюстного сустава справа устраняло на ночь пульсацию.

Вторую неделю ныл побольше 7й зуб, с отдачей в левое ухо, ощущение что из левого уха чтото высасывают пылесосом (до сих пор осталось). Вот на данный момент уже 4 дня как у меня прекратились пульсации в этих коронках, совершенно нет ощущения усадки~подвижности при надкусывании. Зато бонусом уже дня три как появилась боль четко на месте давно удаленной правой верхней восьмерки, два дня болело сильно, сейчас слегка. *Под "местом" имею в виду выпирающую десну на месте удаленной 8ки (возможно называется "экзостоз").

Рентенг сегодняшний, доктор-ортопед сказал, что 7-ка немного подвижная, на снимке видит воспаление и необходимо удаление.  Извиняюсь за такой длинный текст, стараюсь приложиться максимум информации которая может быть полезна.

 Прошу обратить внимание на снимок и помочь в понимании данной ситуации и в дальнейших действиях с этим зубом. 

Огромное Вам спасибо за ответы заранее! Вы лучшие!

20220805_182942.jpg

Изменено пользователем Rennie
Ссылка на комментарий

Для публикации сообщений создайте учётную запись или авторизуйтесь

Вы должны быть пользователем, чтобы оставить комментарий

Создать аккаунт

Зарегистрируйте новый аккаунт в нашем сообществе. Это очень просто!

Регистрация нового пользователя

Войти

Уже есть аккаунт? Войти в систему.

Войти
×
×
  • Создать...
Вверх