Перейти к содержанию
Стоматология для всех

фронт 4 единицы


pit

Рекомендуемые сообщения

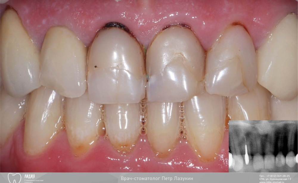
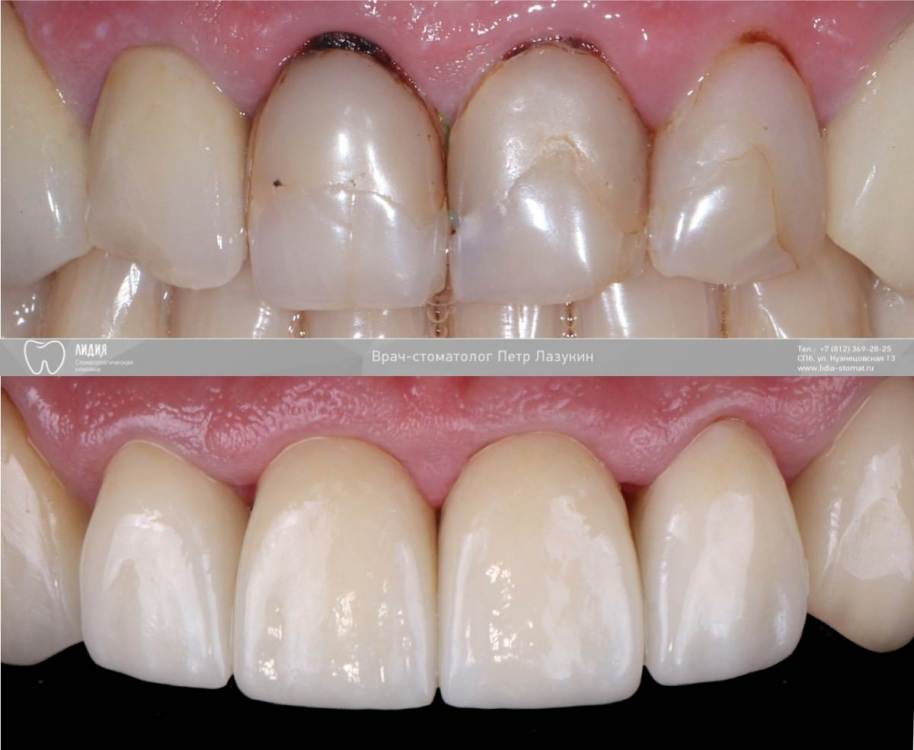
Всем привет! Кейс. Изготовление 4-х коронок из диоксида циркония. Этапы работы: воск, примерка макета, препарирование, восстановление культей, временные коронки. Перерыв в 2 недели. Оценка витальности зубов. Оттиски, фиксация коронок. Коррекция зенита 12 зуба улучшила бы результат, но пациент отказался1530444424__001.thumb.jpeg.3fe86d2d496d1938fdb93c4c8936392a.jpeg979574669__002.thumb.jpeg.c922494ff1f98ef4ab45f5b831a5139c.jpeg1100820898__003.thumb.jpeg.b1d8cfdff23d97d0069e63c41d83ef02.jpeg1238733524__004.thumb.jpeg.3f1fabfb042f99f6dfc2376bae98da61.jpeg114595588__005.thumb.jpeg.b1c9a5d10b6f0a8f7af94d82590ef602.jpeg1347437548__006.thumb.jpeg.42b29c11f9dfaa62ab6e6184263019e5.jpeg809667846__007.thumb.jpeg.6184075490de758a248d4abff89cfab1.jpeg69728675__008.thumb.jpeg.12d9715618053c84cd4ce6e70a47191f.jpeg

  • Like 5
  • Спасибо 2
  • Поддерживаю 1
Ссылка на комментарий

Кейс отличный. Врачебка просто космос. Автору - большое спасибо.


Вопрос, как Вы считаете, почему в исходной ситуации сосочки смотрятся лучше?
Считаете что еще вырастут в Вашем конкретном случае?
Через какое время контролируете, что они выросли?
И самое главное, что делаете если не выросли?

Извините за большое количество вопросов. Еще раз спасибо за проделанную работу. Все очень наглядно!
 

Ссылка на комментарий
3 часа назад, Klyu4n!k сказал:

Кейс отличный. Врачебка просто космос. Автору - большое спасибо.


Вопрос, как Вы считаете, почему в исходной ситуации сосочки смотрятся лучше?
Считаете что еще вырастут в Вашем конкретном случае?
Через какое время контролируете, что они выросли?
И самое главное, что делаете если не выросли?

Извините за большое количество вопросов. Еще раз спасибо за проделанную работу. Все очень наглядно!
 

?
1. Ретракция десны и глубокий преп, устранение воспаления десны за счет удаления кариеса и нависающих краев пломб

2. Да
3. через 3-6 месяцев

3. ничего. Просто оставляю место на коронках

  • Like 1
Ссылка на комментарий
1 час назад, pit сказал:

?
1. Ретракция десны и глубокий преп, устранение воспаления десны за счет удаления кариеса и нависающих краев пломб

2. Да
3. через 3-6 месяцев

3. ничего. Просто оставляю место на коронках

Спасибо большое за подробный ответ!

Ссылка на комментарий

Для публикации сообщений создайте учётную запись или авторизуйтесь

Вы должны быть пользователем, чтобы оставить комментарий

Создать аккаунт

Зарегистрируйте новый аккаунт в нашем сообществе. Это очень просто!

Регистрация нового пользователя

Войти

Уже есть аккаунт? Войти в систему.

Войти
×
×
  • Создать...
Вверх