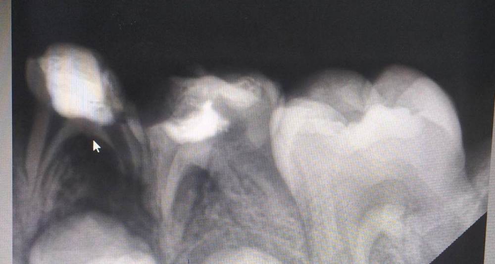
Anna17 Опубликовано 19 июля, 2022 Поделиться Опубликовано 19 июля, 2022 Здравствуйте! Ребенку 6 лет. 4-ку удалили, показана ли к удалению 5-ка или можно полечить? Врач переживает за постоянный зуб. Ссылка на комментарий
Гарриевич Опубликовано 22 июля, 2022 Поделиться Опубликовано 22 июля, 2022 1. Какие симптомы у ребёнка? 2. Был ли свищ? 3. Как изменилась ситуация после удаления 4ки? Ссылка на комментарий
Рекомендуемые сообщения
Для публикации сообщений создайте учётную запись или авторизуйтесь
Вы должны быть пользователем, чтобы оставить комментарий
Создать аккаунт
Зарегистрируйте новый аккаунт в нашем сообществе. Это очень просто!
Регистрация нового пользователяВойти
Уже есть аккаунт? Войти в систему.
Войти