Перейти к содержанию
Стоматология для всех

Новообразование нижней челюсти, лечение удаление


Менько Елена

Рекомендуемые сообщения

Добрый день!

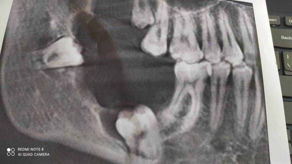
В 2021 году у дочери выявлено новообразование в нижней челюсти справа (киста под  вопросом). Обратились  в местный хирургический   центр,  мнения специалистов разошлись, один  рекомендовал удаление образования, другой озвучил, что лучше не трогать, есть риск затронуть лицевой нерв. 

В этом году появились боли, сделали повторно КТ, диагностировали увеличение образования + разрушение кости, является помехой роста рядом стоящих зубов. Рекомендовано удаление, но гарантию положительного исхода местные специалисты не дают.

Снимки прилагаю. Порекомендуйте, пожалуйста, специалиста, к  которому можно обратиться для лечения/удаления образования.

Проживаем в  Дальневосточном регионе. 

2021.jpeg

2022.jpeg

Ссылка на комментарий

Для публикации сообщений создайте учётную запись или авторизуйтесь

Вы должны быть пользователем, чтобы оставить комментарий

Создать аккаунт

Зарегистрируйте новый аккаунт в нашем сообществе. Это очень просто!

Регистрация нового пользователя

Войти

Уже есть аккаунт? Войти в систему.

Войти
×
×
  • Создать...
Вверх