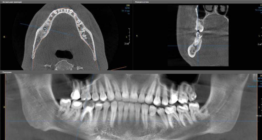
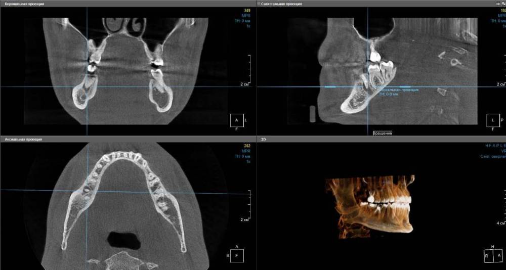
Artooth Опубликовано 9 июля, 2022 Поделиться Опубликовано 9 июля, 2022 (изменено) Правая нижняя шестерка (46), зуб был депульпирован более десяти лет назад, даже сложно вспомнить точно, насколько давно. Сам зуб сейчас выглядит так (см. первое изображение), пломба тёмно-бежевого цвета, в районе десны со стороны щеки у шейки почернение. Сам зуб не болит, десна тоже, при постукивании реакции нет, вообще никаких видимых симптомов. На КТ под корнем виднеется полость (см. второе и третье изображения). Хотя при этом похожая полость есть и ниже. На другой стороне челюсти в этом месте вообще все пространство в виде подобной полости. Не совсем понятно. Возможно наверняка определить, что зуб был депульпирован резорцин-формалиновым методом? Похоже ли, что идет развитие периодонтита и стоит ли бить тревогу? Изменено 9 июля, 2022 пользователем Artooth Ссылка на комментарий
Irouil Опубликовано 9 июля, 2022 Поделиться Опубликовано 9 июля, 2022 10 часов назад, Artooth сказал: Похоже ли, что идет развитие периодонтита и стоит ли бить тревогу? Да и да Ссылка на комментарий
Гарриевич Опубликовано 9 июля, 2022 Поделиться Опубликовано 9 июля, 2022 Над пролечить пока зуб не даёт симптоматику Ссылка на комментарий
Artooth Опубликовано 7 августа, 2022 Автор Поделиться Опубликовано 7 августа, 2022 @Irouil @Гарриевич Благодарю за ответ! То есть, если учесть, что зуб был депульпирован много лет назад, то этот процесс длится на протяжении нескольких лет? Сколько еще может длится этот процесс, прежде чем будет давать симптоматику и появятся какие-либо значимые последствия? Насколько срочно нужно заняться лечением? Ссылка на комментарий
Irouil Опубликовано 7 августа, 2022 Поделиться Опубликовано 7 августа, 2022 @Artooth обострение произойдёт скорее всего в момент падения местного иммунитета Нов Вашей ситуации это не единственная угроза, поэтому ждать не стоит Ссылка на комментарий
Гарриевич Опубликовано 11 августа, 2022 Поделиться Опубликовано 11 августа, 2022 (изменено) 07.08.2022 в 14:01, Artooth сказал: Благодарю за ответ! То есть, если учесть, что зуб был депульпирован много лет назад, то этот процесс длится на протяжении нескольких лет? Сколько еще может длится этот процесс, прежде чем будет давать симптоматику и появятся какие-либо значимые последствия? Насколько срочно нужно заняться лечением? Лечить нужно пока нет симптоматики а вот предсказать сколько он простоит без лечения и когда наступит обострение, невозможно Изменено 11 августа, 2022 пользователем Гарриевич Ссылка на комментарий
Рекомендуемые сообщения
Для публикации сообщений создайте учётную запись или авторизуйтесь
Вы должны быть пользователем, чтобы оставить комментарий
Создать аккаунт
Зарегистрируйте новый аккаунт в нашем сообществе. Это очень просто!
Регистрация нового пользователяВойти
Уже есть аккаунт? Войти в систему.
Войти