Перейти к содержанию
Стоматология для всех

На КТ видны полости в ранее пролеченных и запломбированных зубах


Artooth

Рекомендуемые сообщения

Здравствуйте!

По результатам недавнего КТ были обнаружены полости в двух зубах, которые ранее уже были пролечены и запломбированы.

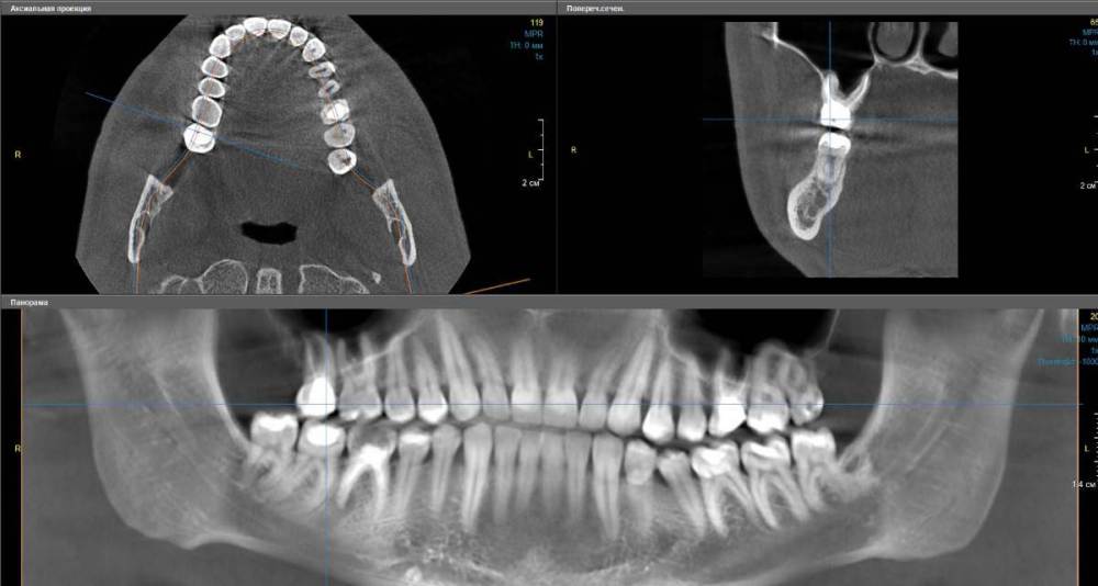
Первый зуб: 

Левая верхняя восьмерка (28), был обнаружен кариес, пролечен пару недель назад, запломбирован. На КТ виднеется достаточно объемная полость. Что бы это могло быть?  Кариозная полость, упущенная врачом? Не могло ли быть такого, что материал при пломбировке заполнил собой не всю ранее подготовленную врачом полость? (см. первый скриншот)

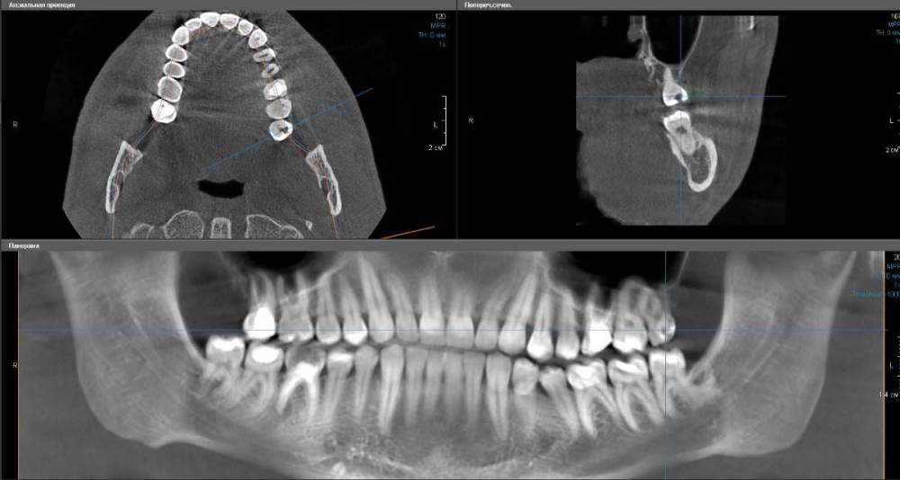
Второй зуб: 

Правая верхняя семерка (17), зуб был депульпирован несколько лет назад. Также виднеется маленькая темная полость (см. второй скриншот)

 

tooth1.jpg

tooth2.jpg

Ссылка на комментарий

Для публикации сообщений создайте учётную запись или авторизуйтесь

Вы должны быть пользователем, чтобы оставить комментарий

Создать аккаунт

Зарегистрируйте новый аккаунт в нашем сообществе. Это очень просто!

Регистрация нового пользователя

Войти

Уже есть аккаунт? Войти в систему.

Войти
×
×
  • Создать...
Вверх