Перейти к содержанию
Стоматология для всех

Какую коронку поставить на время ортодонтического лечения


Jonik

Рекомендуемые сообщения

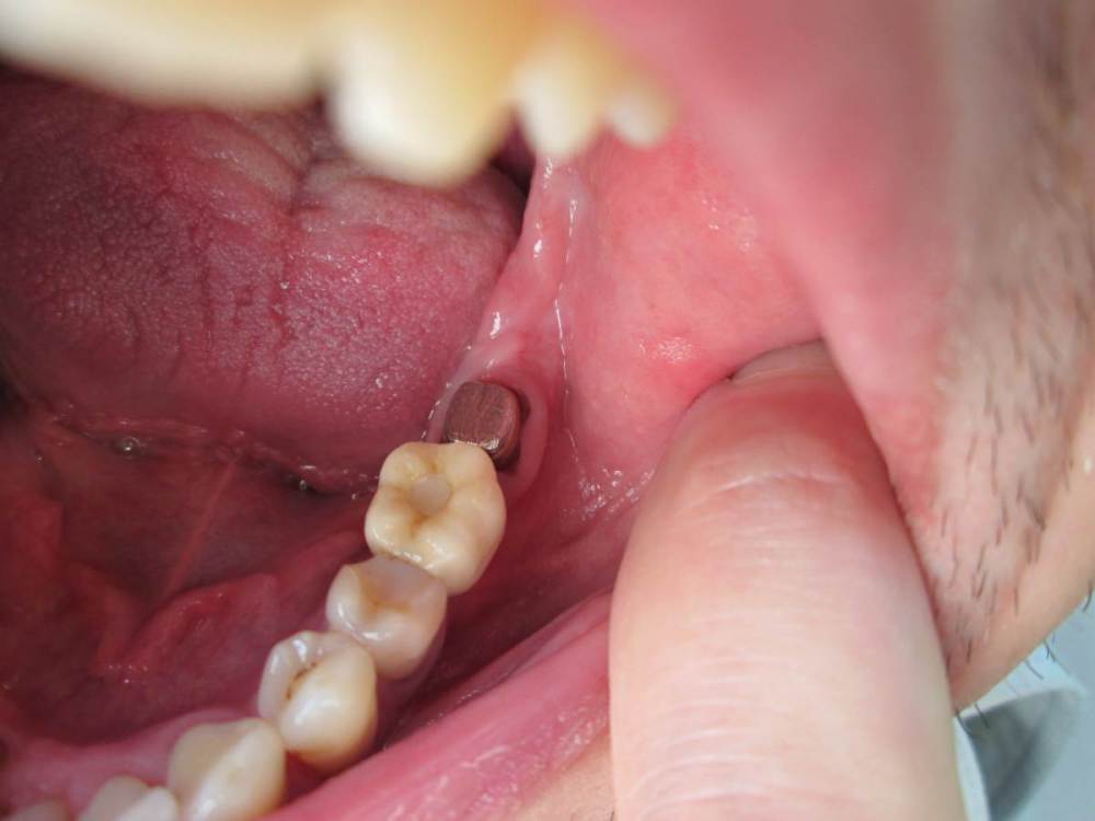
Здравствуйте! Планирую установить брекеты, носить 1,5-2 года. Нужно поставить коронку на нижнюю 7-ку. Ортодонт рекомендовал временную длительного ношения cad/cam. Ортопед сказал что временная не выдержит, сломается, а  cad/cam еще будет слетать т.к. плохо клеится и посоветовал поставить циркониевую на постоянной основе. В другой клинике мне рекомендовали временную армированную, сказали что они хорошо себя зарекомендовали, а ставить постоянную нецелесообразно, потом менять придется. Подскажите, что делают в таких случаях в ортодонтии и как мне поступить? Поставить временную или постоянную коронку? Если временную то какую? 

 

IMG_1517.JPG

Ссылка на комментарий
Гость
Эта тема закрыта для публикации ответов.
×
×
  • Создать...
Вверх