Перейти к содержанию
Стоматология для всех

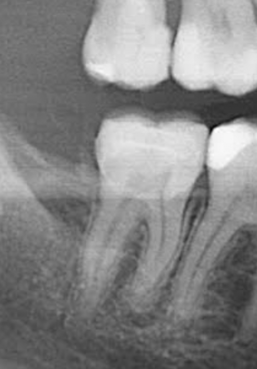
Болит зуб под вкладкой при надавливании


malikin

Рекомендуемые сообщения

Добрый день!

Рекомендовали вместо пломбы установить вкладку на 7-й нижний правый зуб. Нерв не удаляли. С момента установки прошло 9 дней и все время болит при надавливании, жевании. На холод/горячее не реагирует. Врач немного подтачивал вкладку, но особо не повлияло. Что может быть? Надо удалять нерв?

Screenshot 2022-07-06 at 20.27.08.png

Изменено пользователем malikin
Указал зуб
Ссылка на комментарий

Для публикации сообщений создайте учётную запись или авторизуйтесь

Вы должны быть пользователем, чтобы оставить комментарий

Создать аккаунт

Зарегистрируйте новый аккаунт в нашем сообществе. Это очень просто!

Регистрация нового пользователя

Войти

Уже есть аккаунт? Войти в систему.

Войти
×
×
  • Создать...
Вверх