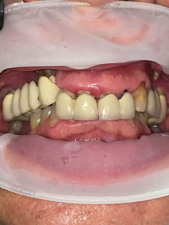
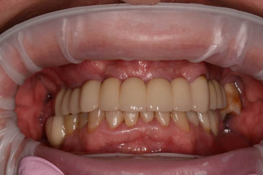
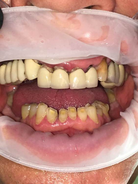
АнтонТЛТ Опубликовано 25 июня, 2022 Поделиться Опубликовано 25 июня, 2022 Старая работа. Сложная хирургическая и ортопедическая работа. Было решено сохранять зубы по максимуму. Произведено удлинение фронтальных зубов. Удаление боковых зубов вертикальная аугментации костной ткани, синус-лифтинги и имплантация в боковых отделах. Протезирование. Как водится пациент пропал, а сегодня, спустя несколько лет пришел на удаление 28 зуба. Радует, что результат стабилен))) 11 1 3 Ссылка на комментарий
Doc Опубликовано 26 июня, 2022 Поделиться Опубликовано 26 июня, 2022 Фигасе такое с собой сотворить! Эта разруха ведь не за один день образовалась! Как люди живут с такой помойкой во рту?! Ссылка на комментарий
АнтонТЛТ Опубликовано 26 июня, 2022 Автор Поделиться Опубликовано 26 июня, 2022 Это обычно люди творческих профессий или программисты. В общем те, кто практически не выходит из дома. На верху не весь фронт сохранили. Главное, что пациент сейчас счастлив и поддерживает гигиену на достойном уровне. Сейчас есть ещё пару пациентов подобных этому. 1 Ссылка на комментарий
stommm Опубликовано 28 июня, 2022 Поделиться Опубликовано 28 июня, 2022 Отличная работа! Первая мысль глядя на фо «до» это все на 4/6. Ссылка на комментарий
Fin Опубликовано 28 июня, 2022 Поделиться Опубликовано 28 июня, 2022 Очень круто.Сколько времени в боковом отделе заняла работа? На этот момент пациент был только с передними зубам Ссылка на комментарий
АнтонТЛТ Опубликовано 28 июня, 2022 Автор Поделиться Опубликовано 28 июня, 2022 Честно уже не помню хронологию, старая работа Ссылка на комментарий
колесников Опубликовано 29 июня, 2022 Поделиться Опубликовано 29 июня, 2022 Самое интересное за кадром 1 2 Ссылка на комментарий
Рекомендуемые сообщения
Для публикации сообщений создайте учётную запись или авторизуйтесь
Вы должны быть пользователем, чтобы оставить комментарий
Создать аккаунт
Зарегистрируйте новый аккаунт в нашем сообществе. Это очень просто!
Регистрация нового пользователяВойти
Уже есть аккаунт? Войти в систему.
Войти