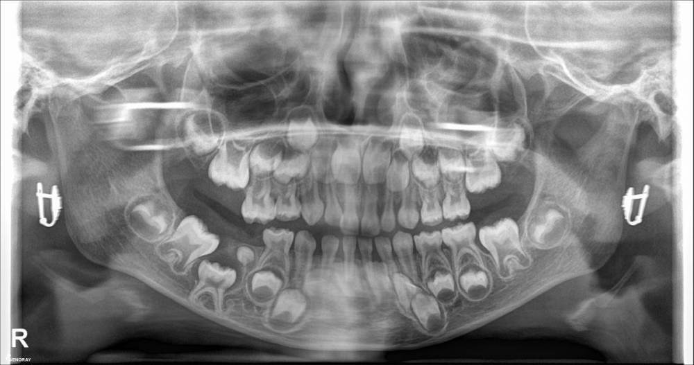
Maaamy Опубликовано 21 июня, 2022 Поделиться Опубликовано 21 июня, 2022 Здравствуйте. У ребенка 4,9 л. не прорезался молочный зуб. На рентгене видно, что есть компонент, который или мешает или мешал прорезыванию. Помогите определиться с дальнейшей тактикой диагностики и лечения. Также имеется перекрестный прикус. У местных стоматологов мнения разделились между удалять этот маленький компонент и скорее всего "засевший" молочный зуб или пока наблюдать. Что бы предложили Вы, и если операция, то какая и какие перспективы по нормальному строению челюсти в дальнейшем? Заранее спасибо Ссылка на комментарий
CRAZYDUCK Опубликовано 21 июня, 2022 Поделиться Опубликовано 21 июня, 2022 Направить на кт этой зоны ( визуализировать «образование», понять с чем имеете дело , двухмерного снимка недостаточно . удалять 8.5 однозначно , это анкилоз . Удаление в условиях общего обезболивания ( наркоз ). 8.5 анкилозирован, в таком случае этот зуб не даёт нормально развиваться участку челюсти . Это уже видно на снимке - обратите внимание на продольную ось 4.6 , она наклоняется в сторону анкилоза . Сравните с нормальной стороной 3.6 зуб . Удалить в плановом порядке , из-за сложности предстоящего удаления - челюстной лицевой хирург , работающий с детьми . 1 1 Ссылка на комментарий
CRAZYDUCK Опубликовано 21 июня, 2022 Поделиться Опубликовано 21 июня, 2022 После удаления анкилозировпнного зуба рост нормализуется , но 8.5 очень низко и толщина челюсти в этой зоне маленькая , поэтому удаление должен делать доктор с опытом ведения детей в похожих ситуациях 1 1 Ссылка на комментарий
Maaamy Опубликовано 21 июня, 2022 Автор Поделиться Опубликовано 21 июня, 2022 Здравствуйте. Я правильно понял ,что анкилоз - это сращивание невылезшего молочного зуба с костной тканью (погуглил)? Есть ли хоть какая-то вероятность, что если удалить эту лишнюю маленькую"бубочку", то пятерка попрёт вверх со временем, с учётом того, что челюсть будет расти? Ссылка на комментарий
CRAZYDUCK Опубликовано 21 июня, 2022 Поделиться Опубликовано 21 июня, 2022 После восстановления понадобится помощь врача ортодонта , профилактика смещения зуба 4.6 вперёд . зону нижних передних зубов тоже наблюдать ( обвела красным ) у ортодонта я думала вопрос задаёт врач . Поэтому отвечала таким языком . Сейчас нарисую на вашем снимке для наглядности 1 1 Ссылка на комментарий
Maaamy Опубликовано 21 июня, 2022 Автор Поделиться Опубликовано 21 июня, 2022 Спасибо за помощь Ссылка на комментарий
CRAZYDUCK Опубликовано 21 июня, 2022 Поделиться Опубликовано 21 июня, 2022 Только что, Maaamy сказал: Здравствуйте. Я правильно понял ,что анкилоз - это сращивание невылезшего молочного зуба с костной тканью (погуглил)? Есть ли хоть какая-то вероятность, что если удалить эту лишнюю маленькую"бубочку", то пятерка попрёт вверх со временем, с учётом того, что челюсть будет расти? Не попрет , «бубочка» не является причиной анкилоза и ее удаление не будет влиять на нормализацию роста челюсти в этой зоне . эта бубочка , вероятнее всего зачаток постоянного , который должен быть под зубом 8.5 . Но что-то «пошло» не так как нужно 1 Ссылка на комментарий
Maaamy Опубликовано 21 июня, 2022 Автор Поделиться Опубликовано 21 июня, 2022 Спасибо большое, понятно. Жаль, но что делать...Будем решать проблему. Спасибо! Ссылка на комментарий
Maaamy Опубликовано 22 июня, 2022 Автор Поделиться Опубликовано 22 июня, 2022 11 часов назад, CRAZYDUCK сказал: Не попрет , «бубочка» не является причиной анкилоза и ее удаление не будет влиять на нормализацию роста челюсти в этой зоне . эта бубочка , вероятнее всего зачаток постоянного , который должен быть под зубом 8.5 . Но что-то «пошло» не так как нужно Здравствуйте. Скажите, правильно, что нужно что-то делать местом под зуб (имплат) после удаления этой пятерки? Ссылка на комментарий
CRAZYDUCK Опубликовано 22 июня, 2022 Поделиться Опубликовано 22 июня, 2022 Нужно делать , это вы вместе с вашим ортодонтом решите по мере роста роста ребёнка Ссылка на комментарий
Рекомендуемые сообщения
Для публикации сообщений создайте учётную запись или авторизуйтесь
Вы должны быть пользователем, чтобы оставить комментарий
Создать аккаунт
Зарегистрируйте новый аккаунт в нашем сообществе. Это очень просто!
Регистрация нового пользователяВойти
Уже есть аккаунт? Войти в систему.
Войти