Перейти к содержанию
Стоматология для всех

Свищ на десне у 5ки -молочный


Anis85865

Рекомендуемые сообщения

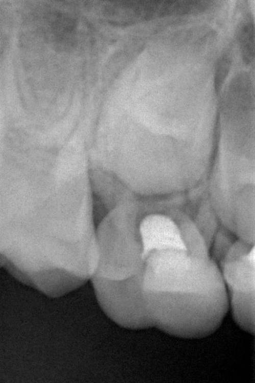
добрый день. У ребенка 7 лет образовался свищ у молочной 5ки. зуб не беспокоит, зуб 2 года назад лечили, пульпит.

Можно ещё сохранить зуб? Если да, то как должно проходить лечение?

Если удалять -то под какой анастезией лучше, мы аллергики.

 

Спасибо

Ефимчи_А_20141208_54768264_0.jpg

Ефимчи_А_20141208_54492032_0.jpg

Ссылка на комментарий

Для публикации сообщений создайте учётную запись или авторизуйтесь

Вы должны быть пользователем, чтобы оставить комментарий

Создать аккаунт

Зарегистрируйте новый аккаунт в нашем сообществе. Это очень просто!

Регистрация нового пользователя

Войти

Уже есть аккаунт? Войти в систему.

Войти
×
×
  • Создать...
Вверх