Перейти к содержанию
Стоматология для всех

E.max или диоксид циркония??


Darina_

Рекомендуемые сообщения

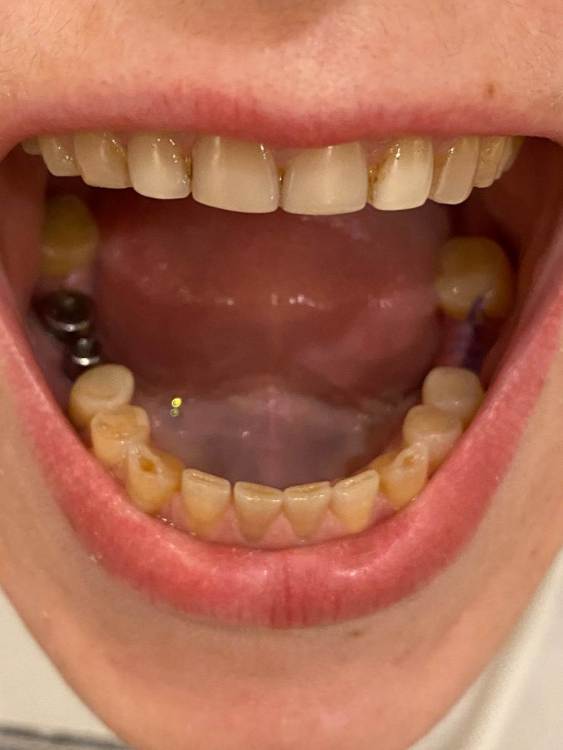
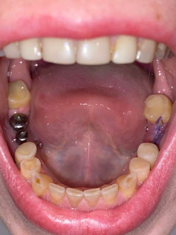
Добрый день! Нужен совет! 
Мне 40 лет, сейчас вместе отсутствующих трёх жевательных зубов установлены импланты, приживаются. Один зуб депульпироаан, остальные живые,  но  все практически лечены, стоят пломбы, в депульпированном зубе установлен штифт. Эмаль очень тонкая, хрупкая. Зубы немного сточены. Верхние 6 зубов(4 резца и 2 клыка) реставрированы композитным виниром 9 лет назад. Уже конечно имеется поверхностно вторичный кариес на них.
Планирую 20 зубов в зоне улыбки ( 10 сверху+10 снизу) убирать под коронки/ виниры+ 3 жевательных зуба на имплантах будут. Во время протезирования хочу приподнять прикус.
В клинике где лечусь доктор работает только с циркониевыми коронками (покрытые керамикой ), позиционирует их как самые прочные и долговечные, говорит что Е.max трескается, скалывается. 
Но я почему то больше склоняюсь к E.max за счёт его адгезивности и вроде как эстетические характеристики у него лучше. 
Хотя внешне при сравнение и те и другие коронки выглядят натурально. Не знаю конечно как это в жизни будет смотреться. 

Посоветуйте что лучше??? 
В интернете кто что пишет. Зубы сильно стачивать не хочу, вроде ещё не совсем они и плохие, но в то же время хочется получить результат долговечный, чтобы не сломалось через 2-4 года ничего  и эстетически чтобы удовлетворял.

 

Не могу пока прикрепить КТ, не открывается. 

95D944BF-293C-4B48-857E-D07BA5663CCA.jpeg

B96BABF2-C17A-48FE-99A2-B2E08D51500E.jpeg

DDCE6AAA-9B23-4A38-9D41-D9710BB98332.jpeg

 

 

D88A0660-C745-4998-9D8E-CF7AC41F0C9B.jpeg

Изменено пользователем Darina_
Ссылка на комментарий
  • 2 недели спустя...
Гость
Эта тема закрыта для публикации ответов.
×
×
  • Создать...
Вверх