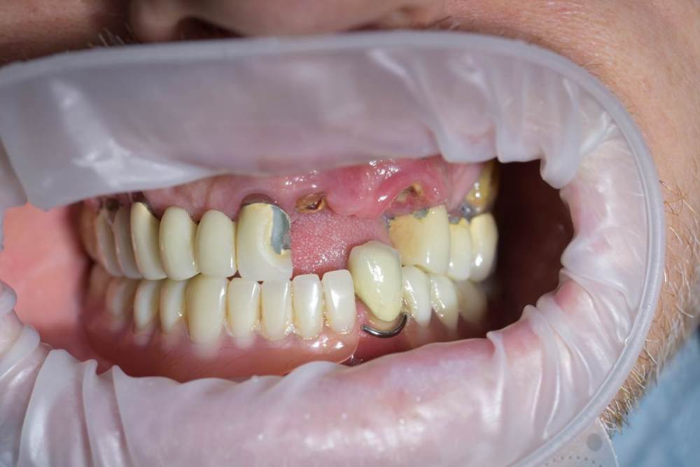
TIGER Опубликовано 13 июня, 2022 Поделиться Опубликовано 13 июня, 2022 (изменено) Всем привет!Довольно сложная исходная ситуация,пожелания пациента минимум вмешательств ,никаких костных пластик.В таких случаях я предпочитаю съёмные конструкции на балочной фиксации из-за возможности гигиены,ибо у так пациентов всё печально с этим.После обсуждения с пациентом он одобрил план действий и будущую конструкцию .Произведено изготовление шаблона,по навигации установлены импланты 4 верх и 4 низ,временные несъёмные конструкции на мультиюнитах,через полгода 2 протеза на балочной фиксации? Изменено 13 июня, 2022 пользователем TIGER 6 1 Ссылка на комментарий
Raystom Опубликовано 13 июня, 2022 Поделиться Опубликовано 13 июня, 2022 Тигран, а по какому плану Вы бы пошли в случае наличия 12 зубов с обширными грануляциями? Т.е. при невозможности поставить импланты одномоментно Ссылка на комментарий
TIGER Опубликовано 13 июня, 2022 Автор Поделиться Опубликовано 13 июня, 2022 @Raystom виртуально сложно представить,т.к каждый случай уникален.НО редко бывает когда невозможно и грануляции этому не помеха 1 Ссылка на комментарий
chervoncevdaniil Опубликовано 13 июня, 2022 Поделиться Опубликовано 13 июня, 2022 (изменено) Отличная работа. Редукции кости не было?Под две встречные балки прилично место нужно по окклюзии,чтобы разместить балку+контрбалку+нормальную толщину акрила. как то этот момент изначально оценивали? Изменено 13 июня, 2022 пользователем chervoncevdaniil 1 Ссылка на комментарий
TIGER Опубликовано 13 июня, 2022 Автор Поделиться Опубликовано 13 июня, 2022 @chervoncevdaniil спасибо!Редукции не было,но там атрофия сильная,до снятия и удаления сделал скан ,в экхзокаде wax up,потом на временных дугах выставили прикус,и по итогу перенесли на постоянную . Ссылка на комментарий
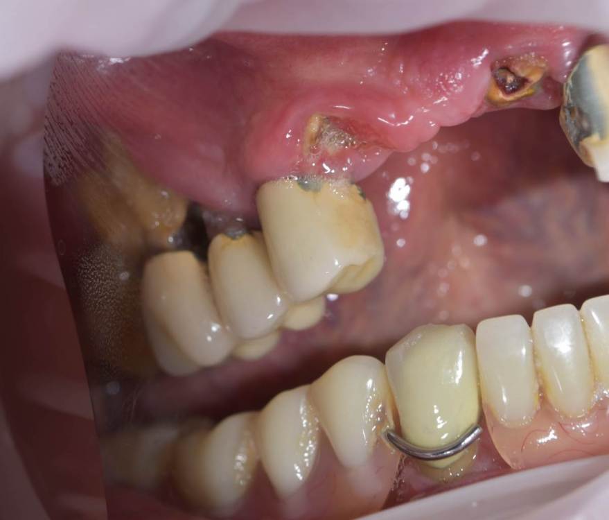
TIGER Опубликовано 13 июня, 2022 Автор Поделиться Опубликовано 13 июня, 2022 Ситуация до Ссылка на комментарий
red_butler Опубликовано 13 июня, 2022 Поделиться Опубликовано 13 июня, 2022 Спасибо Tiger за кейс, а можно фото с временными конструкциями поглядеть? 1 Ссылка на комментарий
TIGER Опубликовано 13 июня, 2022 Автор Поделиться Опубликовано 13 июня, 2022 (изменено) @red_butler спасибо,к сожалению не сохранились,но завтра посмотрю сканы.там на оригинальных тибейсах металлопластмасса Изменено 13 июня, 2022 пользователем TIGER 1 Ссылка на комментарий
Fin Опубликовано 19 июля, 2022 Поделиться Опубликовано 19 июля, 2022 13.06.2022 в 14:51, TIGER сказал: @chervoncevdaniil спасибо!Редукции не было,но там атрофия сильная,до снятия и удаления сделал скан ,в экхзокаде wax up,потом на временных дугах выставили прикус,и по итогу перенесли на постоянную . Подскажите пожалуйста какое расстояние по окклюзии нам требуется что бы создать такой протез? Ссылка на комментарий
TIGER Опубликовано 19 июля, 2022 Автор Поделиться Опубликовано 19 июля, 2022 @Fin в каждом случае индивидуально смотрю Ссылка на комментарий
Рекомендуемые сообщения
Для публикации сообщений создайте учётную запись или авторизуйтесь
Вы должны быть пользователем, чтобы оставить комментарий
Создать аккаунт
Зарегистрируйте новый аккаунт в нашем сообществе. Это очень просто!
Регистрация нового пользователяВойти
Уже есть аккаунт? Войти в систему.
Войти