Перейти к содержанию
Стоматология для всех

Коронка не снимается с временного цемента


Jonik

Рекомендуемые сообщения

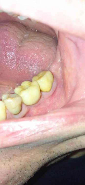
Здравствуйте! На нижнюю 7-ку поставили МК коронку на временный цемент 10 месяцев назад, а снять не могут ))) Появился неприятный привкус от коронки, видимо что то попадает по нее. Врач посоветовал оставить как есть, просто соблюдать гигиену. Сделали прицельный снимок, с зубом все в порядке.  Как посоветуете поступить? Спиливать и менять на новою? Так ходить совсем неприятно, да и зуб может испортиться под коронкой, не хочется потерять зуб ((( 

photo_2022-06-08_09-47-17.jpg

Ссылка на комментарий

Для публикации сообщений создайте учётную запись или авторизуйтесь

Вы должны быть пользователем, чтобы оставить комментарий

Создать аккаунт

Зарегистрируйте новый аккаунт в нашем сообществе. Это очень просто!

Регистрация нового пользователя

Войти

Уже есть аккаунт? Войти в систему.

Войти
×
×
  • Создать...
Вверх