Перейти к содержанию
Стоматология для всех

Выход костного материала через 1 год и 3 месяца после наращивания костной ткани


Тата Богачевская

Рекомендуемые сообщения

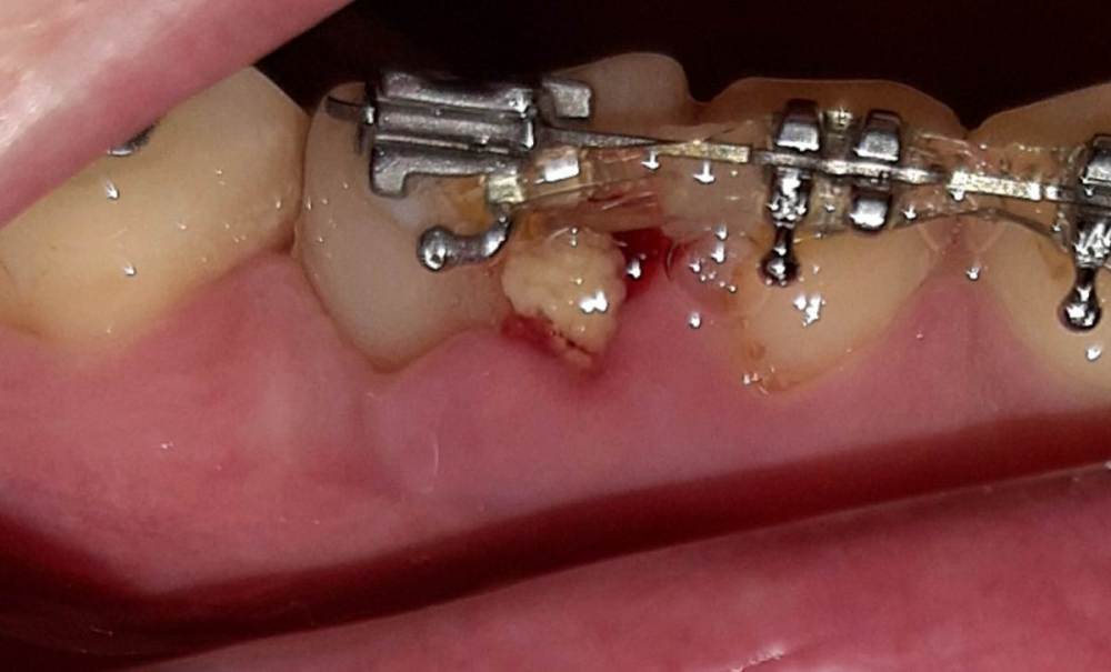
Здравствуйте, возможен ли выход костного материала наружу  через 1 год и 3 месяца после имплантации? Если возможен, то в чем причина? И второй вопрос  - где должна быть коронка, где красные линии, или где желтые, и что это на снимке - отмечено зеленым?

4 июня.jpg

5 июня.jpg

46 с отм.jpg

46.jpg

Ссылка на комментарий

Здравствуйте,

20 часов назад, Тата Богачевская сказал:

Здравствуйте, возможен ли выход костного материала наружу  через 1 год и 3 месяца после имплантации?

Возможен

20 часов назад, Тата Богачевская сказал:

И второй вопрос  - где должна быть коронка, где красные линии, или где желтые, и что это на снимке - отмечено зеленым?

Оба варианта возможны, все зависит от толщины тканей.

Зеленым Вы отметили на снимке заглушку (обычно - тефлоновую) шахты абатмента, она нужна чтобы внутрь ничего не попадало.

Ссылка на комментарий

Для публикации сообщений создайте учётную запись или авторизуйтесь

Вы должны быть пользователем, чтобы оставить комментарий

Создать аккаунт

Зарегистрируйте новый аккаунт в нашем сообществе. Это очень просто!

Регистрация нового пользователя

Войти

Уже есть аккаунт? Войти в систему.

Войти
×
×
  • Создать...
Вверх