Перейти к содержанию
Стоматология для всех

Тотал. Безлоскутное удлинение клинической коронки.


pit

Рекомендуемые сообщения

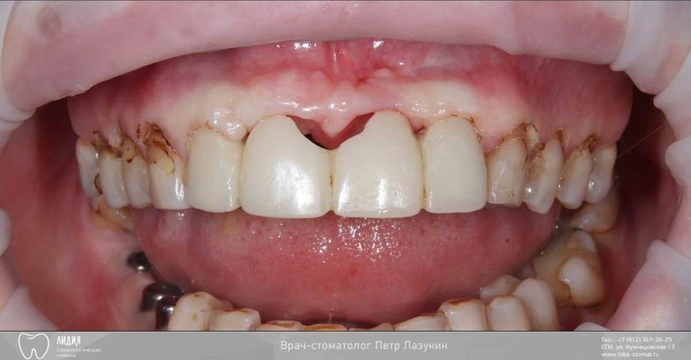
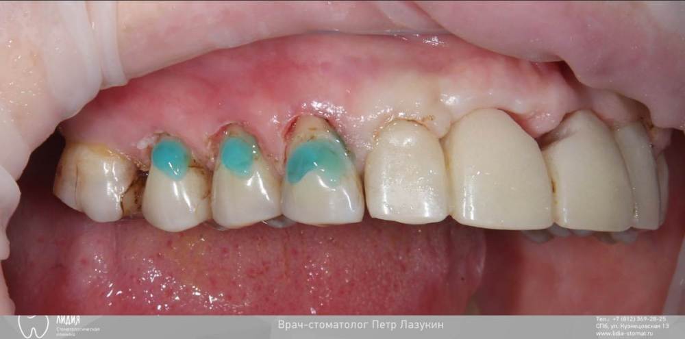
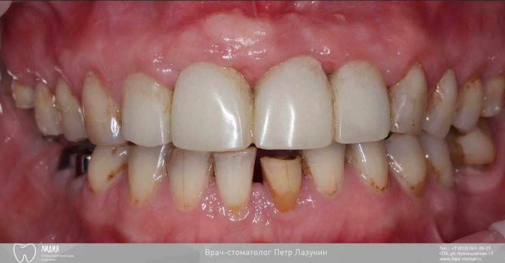
Всем привет! По предыдущей публикации в личку пришло очень много вопросов по использованию костного долота.  Выкладываю еще один клинический пример использования костного долота Киркланда, для без лоскутного удлинения клинических коронок зубов в рамках тотальной работы. И видео с мобильника).99416EE5-3370-4DF2-844A-3D5B1D51A699.thumb.jpeg.9ba0ea5a01e3c0fbd16869653926bed7.jpegB11DC246-1864-4A59-B8BF-7F93AB548068.thumb.jpeg.db1e85e60d49aeb9de337feed62b9257.jpeg560E16DB-0200-46CE-9EC1-9921B7918071.thumb.jpeg.6b0ac68b0e8e3129a3342cfbf5c3f481.jpeg9204EEBA-060C-4C3F-A3AD-58A9BE9D16F0.thumb.jpeg.6c0c426a61ccdc23958734236dc8ef43.jpeg8D167811-A91A-42B1-850A-E0A670E35970.thumb.jpeg.96d28f7438cfdc11134aa5d51064c5eb.jpeg9204EEBA-060C-4C3F-A3AD-58A9BE9D16F0.thumb.jpeg.6c0c426a61ccdc23958734236dc8ef43.jpegF8EDDFF7-75F2-4E6D-AD2C-73A2ECACE3A8.thumb.jpeg.a1bb0239c399190b24b6fadc33599423.jpegF70B9B94-A216-4ACF-966C-3B01F3F479B6.thumb.jpeg.aa09ea18797678aaeda7bb75ca2b53a1.jpeg3908F2B2-8B45-46AB-91DA-1C0B5CEA23E7.thumb.jpeg.a52127367c7700432945a6dde8e8c228.jpeg

 

 

 

375067CD-9330-4B91-A344-513A52C9700E.jpeg

  • Like 2
  • Спасибо 1
  • Поддерживаю 1
Ссылка на комментарий
24.05.2022 в 14:14, Fin сказал:

Здравствуйте не могли бы объяснить как работает это долото? По видео непонятно.

Нада вращать на 45 градусов по и протв часовой стрелки, погружая его на 3 мм апикально.

 

Ссылка на комментарий
  • 2 недели спустя...
26.05.2022 в 01:03, pit сказал:

Нада вращать на 45 градусов по и протв часовой стрелки, погружая его на 3 мм апикально.

 

Спасибо.Получается оно как бы скусывает кость?

Ссылка на комментарий

Для публикации сообщений создайте учётную запись или авторизуйтесь

Вы должны быть пользователем, чтобы оставить комментарий

Создать аккаунт

Зарегистрируйте новый аккаунт в нашем сообществе. Это очень просто!

Регистрация нового пользователя

Войти

Уже есть аккаунт? Войти в систему.

Войти
×
×
  • Создать...
Вверх