Перейти к содержанию
Стоматология для всех

1. Сильное воспаление верхнего зуба привело к воспалению пазухи носа 2. Импланты 2 года (общая ст-ть 200 тыс.), тоже воспаление, рекомендовано удалить


Наталья К.

Рекомендуемые сообщения

Добрый день! 

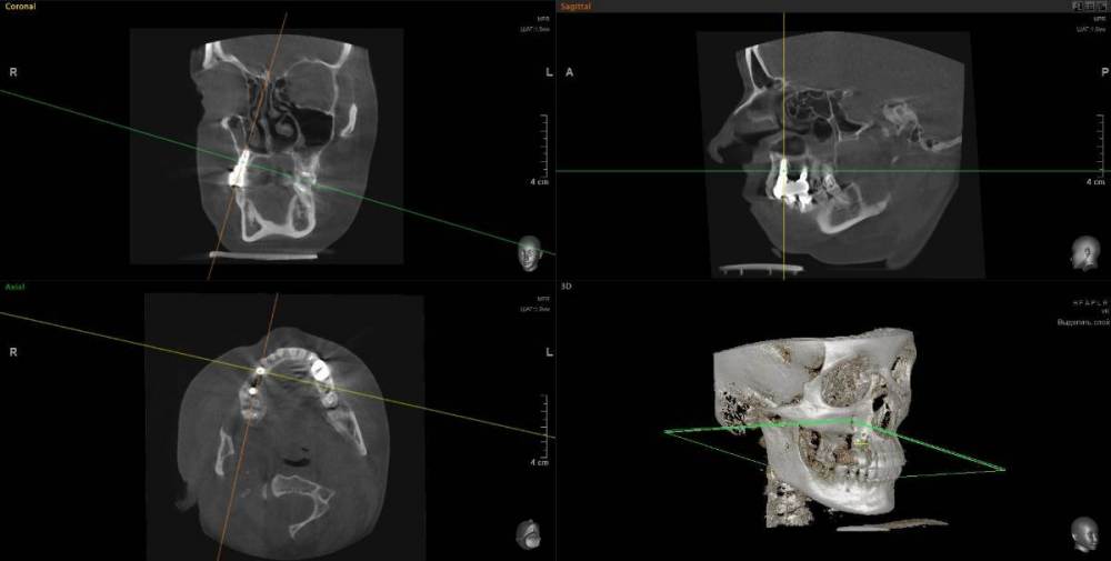
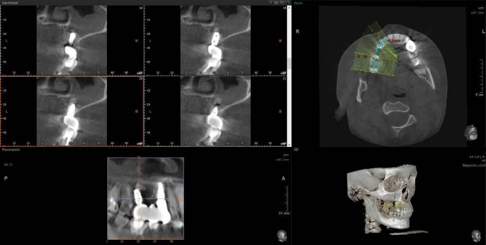
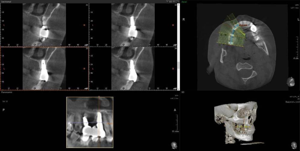
1. Из-за сильного воспаления верхнего зуба костная кость растворилась и дошло до пазух носа. Зуб рекомендуют удалить

2. Импланты установила 2 года назад, в итоге заплачено было 200 тыс. с учетом циркониевых коронок. На КТ обнаружилось сильное воспаление, как следствие растворилась костная ткань импланты, доктор сказал уже не спасти. 

Буду очень признательна за консультацию - действительно ли нужно удалять зуб и импланты? КТ во вложении

 

Ссылка на комментарий

IMHO. Зуб 18 стоит удалить, зуб 17 стоит полечить. Имплантат в позиции 16, похоже, придётся удалить, имплантат в позиции 14, на мой взгляд, вне опасности.

hiatus.thumb.jpg.b877eea397f5e780eaa79ce082a306a6.jpg

17-8_2.thumb.jpg.08a72c2da78f1b302906759fda25259b.jpg

17-8_1.thumb.jpg.372a8fb97e78012cd8874b7c0ace0db8.jpg

16_4.thumb.jpg.559499b89093dae102b483859e606c4e.jpg

16_3.thumb.jpg.b4a5cd16b6eb3d5f7c48a2ead0f64c27.jpg

16_2.thumb.jpg.7aad39bc537952ed8ec58172476d5904.jpg

16_1.thumb.jpg.934207f4e211573db7b6c1830674e57c.jpg

14_2.thumb.jpg.143c83b6bbf07a89db034e82f6c2cc69.jpg

14_1.thumb.jpg.609d41e95915bd25fb4a29d6552f3fe5.jpg

Ссылка на комментарий

Для публикации сообщений создайте учётную запись или авторизуйтесь

Вы должны быть пользователем, чтобы оставить комментарий

Создать аккаунт

Зарегистрируйте новый аккаунт в нашем сообществе. Это очень просто!

Регистрация нового пользователя

Войти

Уже есть аккаунт? Войти в систему.

Войти
×
×
  • Создать...
Вверх