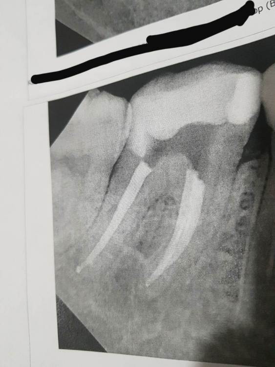
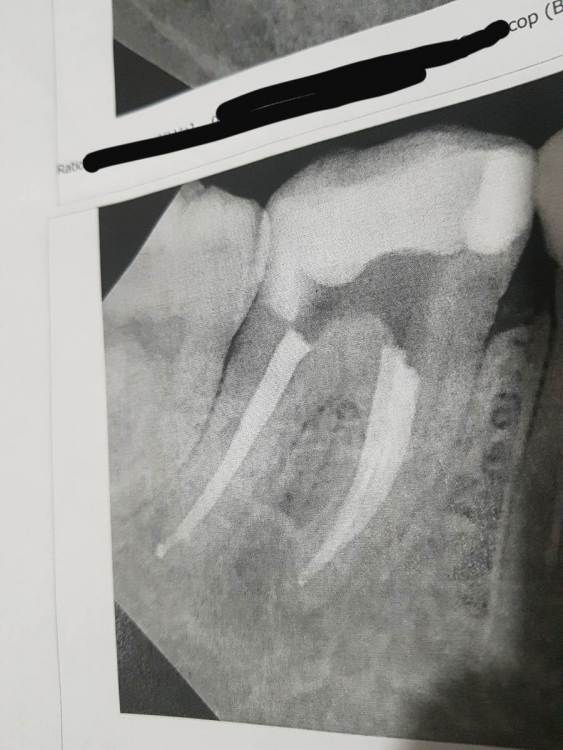
Александра117 Опубликовано 19 мая, 2022 Поделиться Опубликовано 19 мая, 2022 (изменено) Здравствуйте, Мне 15 дней назад провели удаление нерва и пломбирование каналов нижней 7ки под микроскопом. Сейчас стоит временная пломба. Я должна буду через несколько дней прийти еще раз в Эту Стоматологию, чтобы поставить постоянную пломбу. Каждого визита приходится ждать около 3х недель, потому что большая запись, хоть и платная и очень дорогая стоматология. После пломбировки каналов сделали контрольный снимок. На снимке видно, что за пределы корня вышел материал. Врач сказал, что это не страшно. Каналы пломбировались гуттаперчей. Но то, что вышло за верхушку это не гуттаперча, а какая то паста. Название не знаю, но врач сказал, что она биосовместима и рассосется сама за Два Года. Это все со слов Стоматолога. Прошло 16 дней после пломбировки каналов. В общем целом зуб чувствует себя нормально. Но болит, если жевать этой стороной. Лечение проводил опытный Врач под микроскопом. Скажите, много ли материала Вышло за верхушку? Нужно ли теперь этот канал перелечивать? Или это не критично? Рассосется ли то, что вышло за корень? И как вообще Вы оцениваете эту работу Стоматолога? Прилагаю снимки до и после лечения. Изменено 19 мая, 2022 пользователем Александра117 Ссылка на комментарий
Бардо Опубликовано 20 мая, 2022 Поделиться Опубликовано 20 мая, 2022 Судя по снимку очень аккуратная и качественная работа, вы напрасно переживаете. После эндодонтического лечения могут быть боли аналогичные вашим, о чем вас доктор наверняка предупредил и это нормально. Вышедший материал, тем более в таких микроскопических количествах не несёт и не может нанести никаких угроз 3 1 Ссылка на комментарий
red_butler Опубликовано 22 мая, 2022 Поделиться Опубликовано 22 мая, 2022 у Вас хороший доктор, каналы отлично пролечены 2 Ссылка на комментарий
Гарриевич Опубликовано 22 мая, 2022 Поделиться Опубликовано 22 мая, 2022 Работа хорошая, это даже не считается выходом материала. У меня к вам вопрос: откуда появилось недоверие к доктору? PS ко мне ждать записи иногда приходится 5-6 недель)) 2 Ссылка на комментарий
Александра117 Опубликовано 27 мая, 2022 Автор Поделиться Опубликовано 27 мая, 2022 22.05.2022 в 09:22, Гарриевич сказал: Работа хорошая, это даже не считается выходом материала. У меня к вам вопрос: откуда появилось недоверие к доктору? PS ко мне ждать записи иногда приходится 5-6 недель)) Когда сделали контрольный снимок, врач сказал, что материал вышел за пределы корня. Я начала переживать и решила спросить мнение на форуме. Ссылка на комментарий
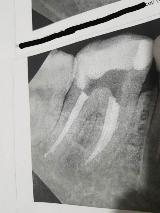
Carioznik Опубликовано 29 мая, 2022 Поделиться Опубликовано 29 мая, 2022 28.05.2022 в 04:42, Александра117 сказал: материал вышел за пределы корня У Вас грамотный доктор, некоторые бы сказали: "идеально! все чётко до верхушки, ничего не вышло". Но то, что вышло в одном из 3 каналов - это такие микроскопические количества, которые ни на что не влияют. Вот, взгляните, когда действительно много вышло (но даже при таких количествах, прогноз, в большинстве случаев, будет благоприятный): 2 Ссылка на комментарий
Александра117 Опубликовано 1 июня, 2022 Автор Поделиться Опубликовано 1 июня, 2022 29.05.2022 в 08:11, Carioznik сказал: У Вас грамотный доктор, некоторые бы сказали: "идеально! все чётко до верхушки, ничего не вышло". Но то, что вышло в одном из 3 каналов - это такие микроскопические количества, которые ни на что не влияют. Вот, взгляните, когда действительно много вышло (но даже при таких количествах, прогноз, в большинстве случаев, будет благоприятный): А в таком случае, как на фото, то, что вышло за пределы, рассосется или так и останется? Ссылка на комментарий
Бардо Опубликовано 1 июня, 2022 Поделиться Опубликовано 1 июня, 2022 24 минуты назад, Александра117 сказал: А в таком случае, как на фото, то, что вышло за пределы, рассосется или так и останется? Зависит от материала. Но даже такая ситуация обычно не повод для паники - наблюдаем и всё. Как правило, пациента ничего не беспокоит, сами по себе современные материалы достаточно инертные 1 Ссылка на комментарий
Гарриевич Опубликовано 4 июня, 2022 Поделиться Опубликовано 4 июня, 2022 01.06.2022 в 16:06, Александра117 сказал: А в таком случае, как на фото, то, что вышло за пределы, рассосется или так и останется? Зависит от типа выведенного материала (силера). Рассасывается это от 15 до 100%, но в 100% не несёт в себе никакой опасности Ссылка на комментарий
Анастасия577 Опубликовано 21 декабря, 2024 Поделиться Опубликовано 21 декабря, 2024 В 04.06.2022 в 10:32, Гарриевич сказал: Зависит от типа выведенного материала (силера). Рассасывается это от 15 до 100%, но в 100% не несёт в себе никакой опасности Скажите пожалуйста, а вот это уже слишком сильно вышло за пределы? Или это норма и тоже рассосётся со временем? Ссылка на комментарий
Бардо Опубликовано 21 декабря, 2024 Поделиться Опубликовано 21 декабря, 2024 2 часа назад, Анастасия577 сказал: Скажите пожалуйста, а вот это уже слишком сильно вышло за пределы? Или это норма и тоже рассосётся со временем? Не думаю, что это рассосется, но мы боремся не с пломбировочным материалом за зубом, а с инфекцией в зубе. В вашем зубе скорее всего есть еще корневые каналы, я бы посоветовал вам обратиться к доктору, который работает с увеличением и изоляцией. 1 Ссылка на комментарий
Анастасия577 Опубликовано 22 декабря, 2024 Поделиться Опубликовано 22 декабря, 2024 19 часов назад, Бардо сказал: Не думаю, что это рассосется, но мы боремся не с пломбировочным материалом за зубом, а с инфекцией в зубе. В вашем зубе скорее всего есть еще корневые каналы, я бы посоветовал вам обратиться к доктору, который работает с увеличением и изоляцией. Какой из них? Там два разных зуба. В нашей местности нет таких специалистов. Я перепроверила у другого врача, в другой клинике, в другом городе, он сказал что для наших городов это одна из лучших работ, в основном каналы чистят хуже. Ссылка на комментарий
Бардо Опубликовано 22 декабря, 2024 Поделиться Опубликовано 22 декабря, 2024 45 минут назад, Анастасия577 сказал: Какой из них? Там два разных зуба. В нашей местности нет таких специалистов. Я перепроверила у другого врача, в другой клинике, в другом городе, он сказал что для наших городов это одна из лучших работ, в основном каналы чистят хуже. Проблемы есть с обоими зубами, возможно имеет смысл съездить в ближайший более-менее крупный город, в наше время уже нет большой проблемы найти доктора, который может справиться с такими зубами. Вам как пациенту, повторюсь, стоит обращать внимание на наличие увеличения и изоляции. Ссылка на комментарий
Анастасия577 Опубликовано 23 декабря, 2024 Поделиться Опубликовано 23 декабря, 2024 22 часа назад, Бардо сказал: Проблемы есть с обоими зубами, возможно имеет смысл съездить в ближайший более-менее крупный город, в наше время уже нет большой проблемы найти доктора, который может справиться с такими зубами. Вам как пациенту, повторюсь, стоит обращать внимание на наличие увеличения и изоляции. Сделала более точные снимки, врач сказал, что всё нормально там. Вы что скажете? Ссылка на комментарий
Рекомендуемые сообщения
Для публикации сообщений создайте учётную запись или авторизуйтесь
Вы должны быть пользователем, чтобы оставить комментарий
Создать аккаунт
Зарегистрируйте новый аккаунт в нашем сообществе. Это очень просто!
Регистрация нового пользователяВойти
Уже есть аккаунт? Войти в систему.
Войти