Перейти к содержанию
Стоматология для всех

Рекомендуемые сообщения

Здравствуйте, уважаемые доктора!

Прошу Вашего совета по поводу удаления восьмых зубов.

Из жалоб есть непродолжительная ноющая боль в правой нижней челюсти, не связанная с внешними раздражителями.

Вопросы:

1. Необходимо ли удаление зубов мудрости?

Если необходимо, то :

2. Возможно ли удаление амбулаторно, без общего наркоза?

3. Нет ли риска для семёрок при удалении.

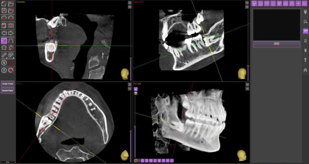
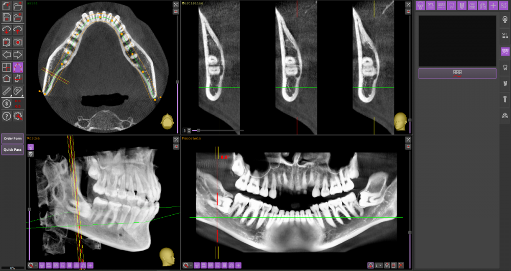
DICOM во вложении на Яндекс.Диске https://disk.yandex.ru/d/mBS1B4TYMHIf1A

Заранее благодарна всем за участие!

Ссылка на комментарий

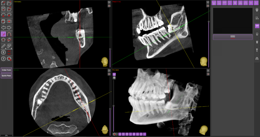
18_1.thumb.png.d91054e49b28268758a599090ae03866.png

18_2.thumb.png.c2485df9a2914bfd93a60f7a391f45d0.png

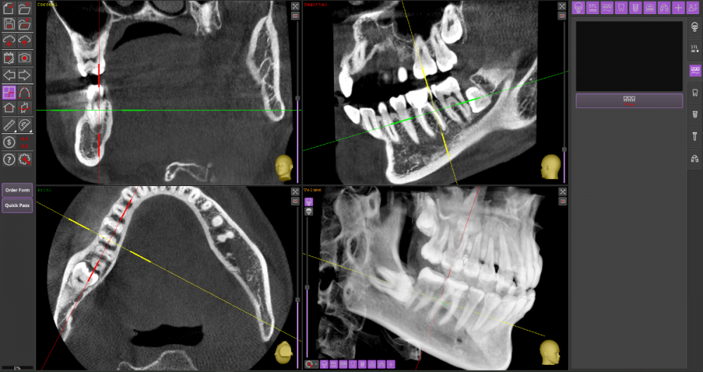
28_1.thumb.png.19ca43126a8beb1bc956730f3bde22dd.png

 

28_2.thumb.png.12dc5849ff22079dde8e4e3d22010bf2.png

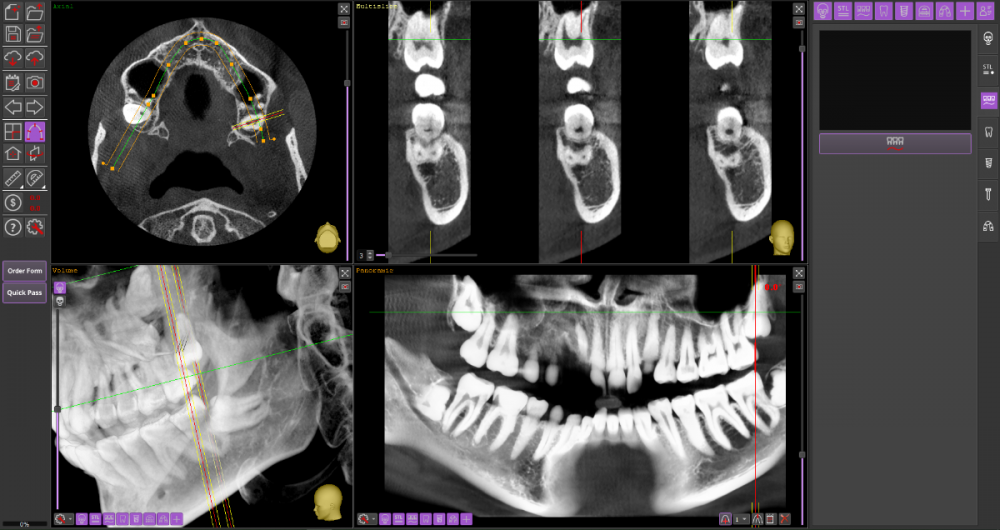
38_1.thumb.png.dcd277233a624fd58d77a364d41a7a23.png

38_2.thumb.png.29cf45d2d71efd9217558772656e2b38.png

 

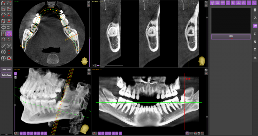
46_1.thumb.png.bd3e8803a4ef0e1ca17a622107948968.png

48_1.thumb.png.e7ba39d8dfa64bdaaa4a74e42f1e980d.png

48_2.thumb.png.7e20efc1b8eb4a26c5acf66b896d88a6.png

 

Виновником боли в н.ч. справа может быть, например зуб 46, не только 48.

1. Удаление 8-х зубов скорее всего необходимо

2. Удаление амбулаторно вполне возможно. Общая анестезия (наркоз) совершенно необязательна, местной анестезии достаточно.

3. Несчастные случаи бывают, но крайне редко.

 

 

 

 

 

Изменено пользователем wladdX
  • Like 1
Ссылка на комментарий

Для публикации сообщений создайте учётную запись или авторизуйтесь

Вы должны быть пользователем, чтобы оставить комментарий

Создать аккаунт

Зарегистрируйте новый аккаунт в нашем сообществе. Это очень просто!

Регистрация нового пользователя

Войти

Уже есть аккаунт? Войти в систему.

Войти
×
×
  • Создать...
Вверх