Перейти к содержанию
Стоматология для всех

Быстрый Мок Ап, коррекция зенита


pit

Рекомендуемые сообщения

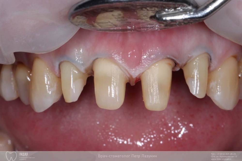
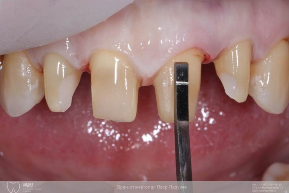
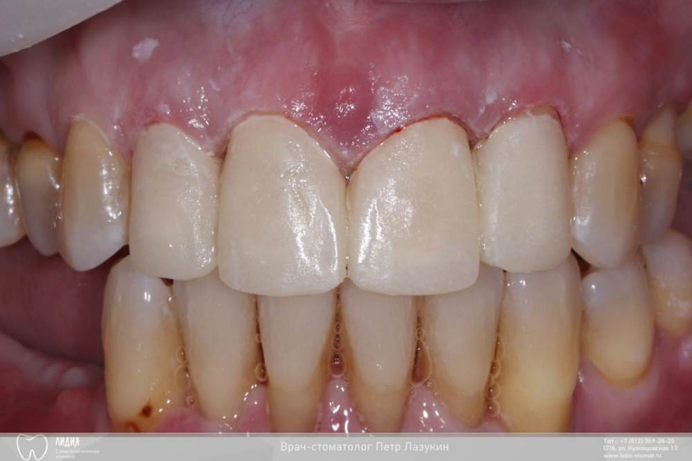
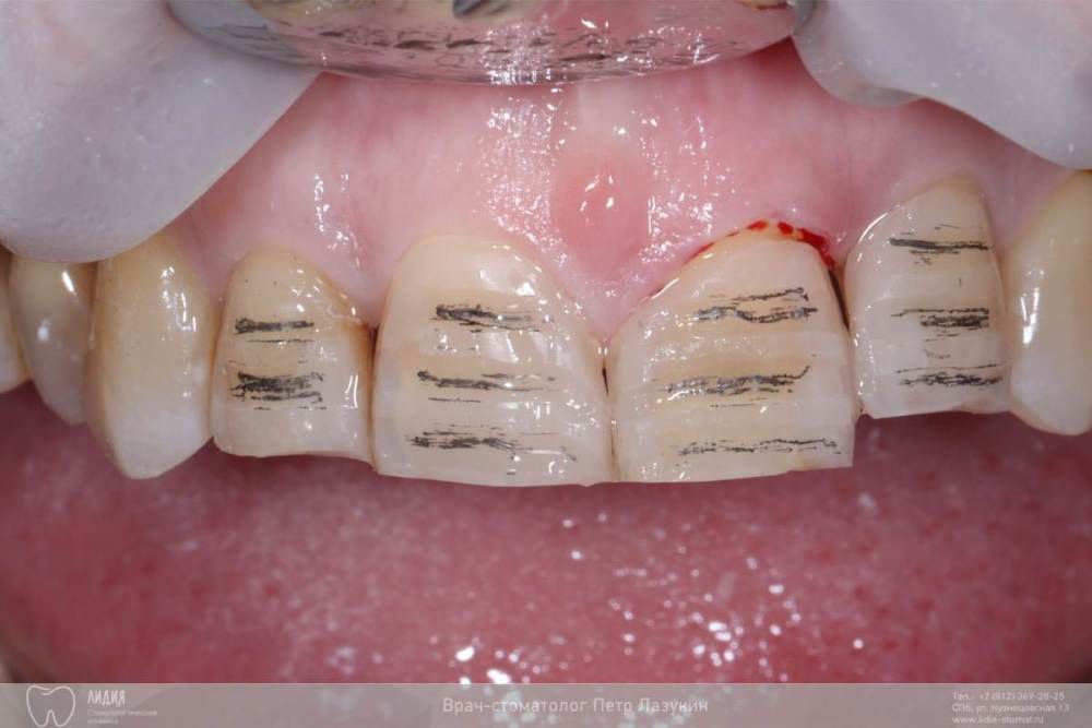
Всем привет! Простой незавершенный кейс. На этапе интеграции имплантатов к дистальных отделах, пациент попросил хотя бы временно улучшить косметику фронтальной группы. Как всегда попросил на контрольном осмотре после имплантации, очень срочно и послезавтра надо уезжать на 

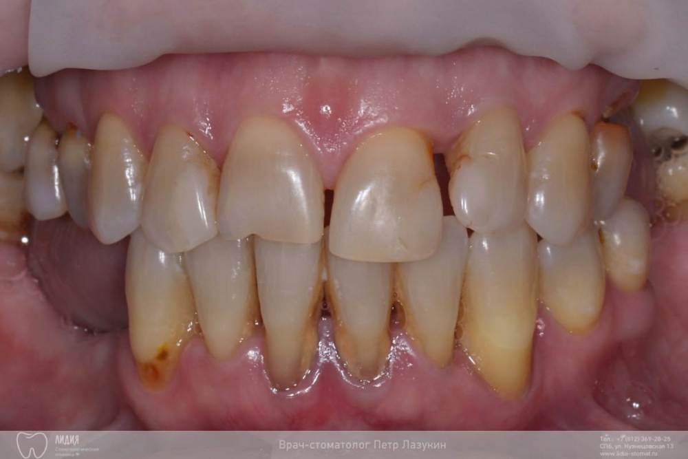
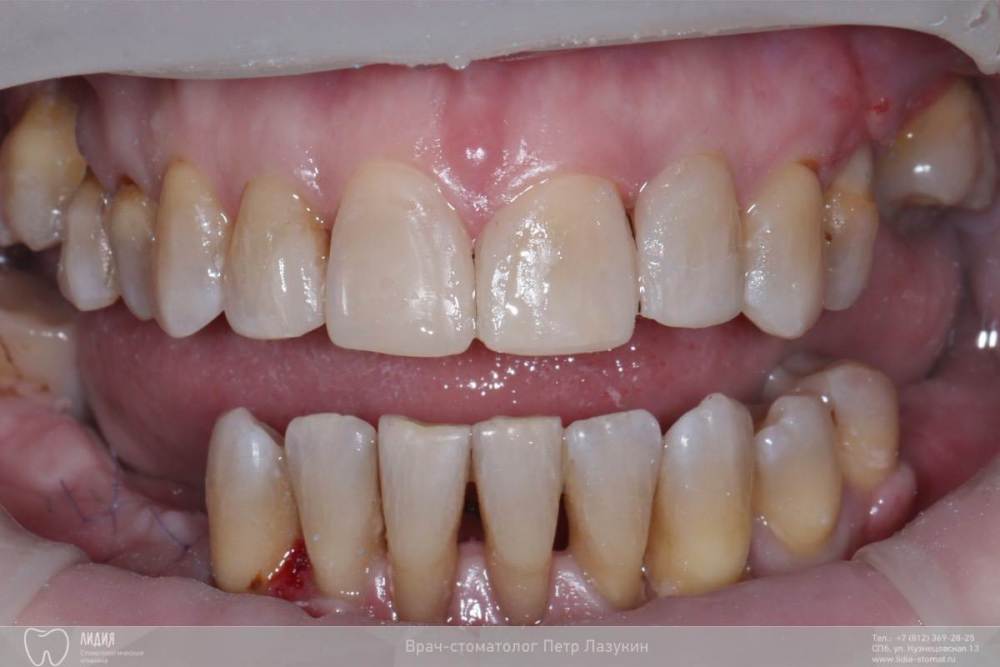
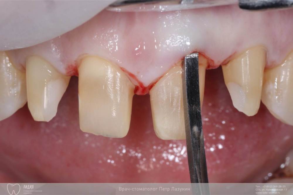
Я пошел на встречу. За 15 минут накидал из композита новую форму резцов и снял швы. Обычно, такие работы, я делаю через восковую моделировку. На следующий день за час переп зубов, коррекция зенита 21 за счет препа и костного долота. Временные коронки на постоянный цемент. За счет коррекции формы 4х резцов эстетика улыбки существенно изменилась. Продолжение через полгода).1A68D3E7-2F05-4012-A2ED-45ECD2B6184B.thumb.jpeg.a7f5b0c580bd5e159ff054b38bf48e7b.jpeg10CF944B-472D-4FED-B9F7-BFA46A21DB1C.thumb.jpeg.bdf6e673eab2071ef275ecd96d1010e9.jpeg2CB934B2-22DA-4AF6-960A-CC82C8B775AD.thumb.jpeg.248e68853950058aaebcb85a53c8c9ae.jpeg2CB934B2-22DA-4AF6-960A-CC82C8B775AD.thumb.jpeg.248e68853950058aaebcb85a53c8c9ae.jpeg13F83AE7-F6FE-4A19-8436-708116F6589B.thumb.jpeg.4dc0ce512bc63a339801996803160de0.jpegD9755A17-63AF-420E-B9B4-3F8CF1664F0A.thumb.jpeg.d92cd8bb763dd668380a50259ebedc4b.jpeg39269C78-0023-4CEB-A52C-6A3D79C70647.thumb.jpeg.566f041aff7350ab5f33a89c4ce640f2.jpeg0B34047D-2AEF-4E2A-8139-08586C8C1C7C.thumb.jpeg.6db66ece2082f02ec2c63a8a2167fda2.jpeg

  • Like 4
  • Спасибо 1
  • Поддерживаю 1
Ссылка на комментарий

Для публикации сообщений создайте учётную запись или авторизуйтесь

Вы должны быть пользователем, чтобы оставить комментарий

Создать аккаунт

Зарегистрируйте новый аккаунт в нашем сообществе. Это очень просто!

Регистрация нового пользователя

Войти

Уже есть аккаунт? Войти в систему.

Войти
×
×
  • Создать...
Вверх