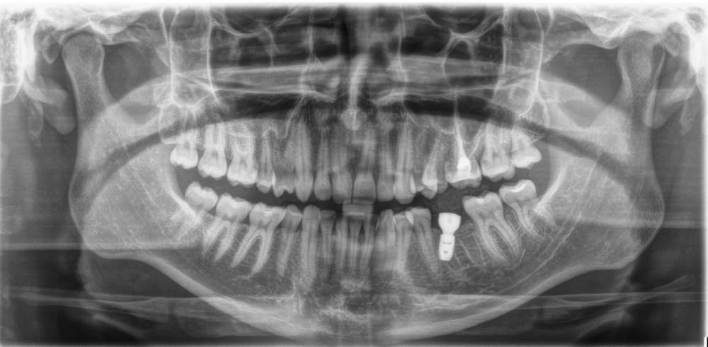
Dimarik12 Опубликовано 11 мая, 2022 Поделиться Опубликовано 11 мая, 2022 (изменено) Здравствуйте! Поставил имплантат вместо удаленной 4 месяца назад нижней шестерки. Мне 26 лет, сделали 3d КТ - костной ткани было достаточно, поэтому костного наращивания не делали. На рентгене после операции зуб, как мне кажется, установлен криво. Нижней левой пятерки не было вовсе у меня (ранее зубы не удаляли, и с детства пятерки не помню снизу). Сделано так, чтобы коронка, установленная в последующем соприкасалась с верхней шестеркой. Подскажите, пожалуйста, такая установка это норма? Какие проблемы могут возникнуть в дальнейшем? Можно ли/нужно ли исправить без изъятия этого импланта, наращивания кости и установки нового? И кажется, что корень импланта задевает или почти задевает корень рядом стоящего. Это может привести к какой патологии? Изменено 11 мая, 2022 пользователем Dimarik12 Ссылка на комментарий
It'sGeorgy Опубликовано 11 мая, 2022 Поделиться Опубликовано 11 мая, 2022 Добрый день. Вам, крайне желательно, показаться ортопеду, который будет протезировать ваш имплантат и задать ему эти вопросы. 1 час назад, Dimarik12 сказал: Подскажите, пожалуйста, такая установка это норма? Какие проблемы могут возникнуть в дальнейшем? Ибо понятие норма - вещь растяжимая. Если бы это был мой винт, я бы его переустановил. 1 час назад, Dimarik12 сказал: И кажется, что корень импланта задевает или почти задевает корень рядом стоящего. Это может привести к какой патологии? Нет. 1 час назад, Dimarik12 сказал: Нижней левой пятерки не было вовсе у меня (ранее зубы не удаляли, и с детства пятерки не помню снизу). Она на месте, прямо перед имплантатом. 1 Ссылка на комментарий
Dimarik12 Опубликовано 12 мая, 2022 Автор Поделиться Опубликовано 12 мая, 2022 (изменено) Спасибо! К ортопеду покажусь. Изменено 12 мая, 2022 пользователем Dimarik12 Ссылка на комментарий
Dimarik12 Опубликовано 12 мая, 2022 Автор Поделиться Опубликовано 12 мая, 2022 @It'sGeorgy Подскажите еще, пожалуйста, если его переустанавливать, лучше будет ждать несколько месяцев пока кость будет нарастать и можно будет сразу ставить этот же винт (или новый винт)? Его можно одномоментно вытащить и поставить под другим углом без осложнений? И ещё, к ортопеду лучше поскорее показаться или лучше дать время челюсти восстановиться? Ссылка на комментарий
АнтонТЛТ Опубликовано 12 мая, 2022 Поделиться Опубликовано 12 мая, 2022 Думаю всё решаемо без переустановки имплантата 1 1 Ссылка на комментарий
red_butler Опубликовано 12 мая, 2022 Поделиться Опубликовано 12 мая, 2022 покажите фото во рту Ссылка на комментарий
Irouil Опубликовано 12 мая, 2022 Поделиться Опубликовано 12 мая, 2022 Показаться ортопеду нужно как можно раньше, в принципе ситуация неоднозначная - наверняка есть очень хороший доктор, который сможет без проблем такой имплант запротезировать, но не менее вероятно, что издержки по переустановке неинтегрированного импланта не будут стоить усложнения протезирования. Поэтому от видения и умения ортопеда зависит очень многое, оба варианта в грамотном исполнении допустимы 1 Ссылка на комментарий
Dimarik12 Опубликовано 12 мая, 2022 Автор Поделиться Опубликовано 12 мая, 2022 @red_butler прикрепляю фото. Кажется, из-за наклона имплантата, фдм расположена сильно близко к семёрке, а с пятеркой будет щель. У меня опасения о неравномерном нагружении протеза и его преждевременной повреждении. Ps.ошибся вчера, отсутствует правая пятёрка. Ссылка на комментарий
Dimarik12 Опубликовано 12 мая, 2022 Автор Поделиться Опубликовано 12 мая, 2022 @АнтонТЛТ спасибо! Подскажите, пожалуйста, если без переустановки импланта, что нужно предпринять для приведения к норме? Учёт наклона при изготовлении слепка/протеза ортопедом или еще какие-то меры возможны? Ссылка на комментарий
Dimarik12 Опубликовано 12 мая, 2022 Автор Поделиться Опубликовано 12 мая, 2022 @Irouil подскажите, пожалуйста, переустановку имеете в виду этого же импланта? Нужно будет его вытащить, нарастить кость в текущее место установки и сразу же установить его же (или новый) или дать кости опять зарастать самой? Ссылка на комментарий
Dimarik12 Опубликовано 12 мая, 2022 Автор Поделиться Опубликовано 12 мая, 2022 @Irouil какие усложнения в протезировании тут будут? Для того, чтобы не было щели с пятеркой абатмент будет не по центру протеза или как это работает в таком случае? Ссылка на комментарий
АнтонТЛТ Опубликовано 12 мая, 2022 Поделиться Опубликовано 12 мая, 2022 Протезирование через мультиюнит или индивидуальный абатмент 1 Ссылка на комментарий
Irouil Опубликовано 12 мая, 2022 Поделиться Опубликовано 12 мая, 2022 2 часа назад, Dimarik12 сказал: @Irouil какие усложнения в протезировании тут будут? Для того, чтобы не было щели с пятеркой абатмент будет не по центру протеза или как это работает в таком случае? 1 час назад, АнтонТЛТ сказал: Протезирование через мультиюнит или индивидуальный абатмент Возможно все обойдётся шаровидной отвёрткой 2 часа назад, Dimarik12 сказал: @Irouil подскажите, пожалуйста, переустановку имеете в виду этого же импланта? Нужно будет его вытащить, нарастить кость в текущее место установки и сразу же установить его же (или новый) или дать кости опять зарастать самой? Переустановка другого импланта. В Вашей ситуации она возможна сразу с удалением этого 1 Ссылка на комментарий
Dimarik12 Опубликовано 12 мая, 2022 Автор Поделиться Опубликовано 12 мая, 2022 @Irouil спасибо! Не совсем понял, "шаровидная отвертка" это Вы имеете в виду шаровидные абатменты или что?) Ссылка на комментарий
It'sGeorgy Опубликовано 12 мая, 2022 Поделиться Опубликовано 12 мая, 2022 14 часов назад, Dimarik12 сказал: Подскажите еще, пожалуйста, если его переустанавливать, лучше будет ждать несколько месяцев пока кость будет нарастать и можно будет сразу ставить этот же винт (или новый винт)? Его можно одномоментно вытащить и поставить под другим углом без осложнений? И ещё, к ортопеду лучше поскорее показаться или лучше дать время челюсти восстановиться? Когда имплантат установлен был? Если вчера(когда вы создали тему), на мой взгляд, его же стоит просто переставить. Но такой вариант возможен лишь в кратчайшие сроки. Однако, это вопрос спорный. Опять же, консультация с вашим ортопедом решит все вопросы. 1 Ссылка на комментарий
Dimarik12 Опубликовано 13 мая, 2022 Автор Поделиться Опубликовано 13 мая, 2022 @It'sGeorgy спасибо! Постараюсь разобраться с возможностью переустановки с хирургом и ортопедом в ближайшие сроки. Подскажите, пожалуйста, в какое время желательно уложиться, чтобы успеть до того, как имплантат успеет прижиться (записи у хороших врачей расписаны на месяц вперед) Ссылка на комментарий
It'sGeorgy Опубликовано 13 мая, 2022 Поделиться Опубликовано 13 мая, 2022 6 часов назад, Dimarik12 сказал: Подскажите, пожалуйста, в какое время желательно уложиться, чтобы успеть до того, как имплантат успеет прижиться (записи у хороших врачей расписаны на месяц вперед) Точные данные тут сложно привести. Более того, есть вероятность, что ваш доктор в целом откажется это делать. В своей практике максимальный срок до полноценного перекручивания имплантата(как в вашем случае) был 4 дня. Был случай, когда необходимо было дозаглубить имплантат, это было сделано спустя дней 10 после установки. Оба кейса закончились положительным результатом. 1 Ссылка на комментарий
Irouil Опубликовано 13 мая, 2022 Поделиться Опубликовано 13 мая, 2022 12.05.2022 в 15:18, Dimarik12 сказал: @Irouil спасибо! Не совсем понял, "шаровидная отвертка" это Вы имеете в виду шаровидные абатменты или что?) Нет это специальная отвертка, позволяющая закручивать фиксирующий абатмент к импланту винт под углом, благодаря чему можно использовать угловой абатмент для изготовления коронки с лабораторной цементировкой. 1 Ссылка на комментарий
Bier Опубликовано 15 мая, 2022 Поделиться Опубликовано 15 мая, 2022 отпротезировать такой имплантат можно. Тем не менее рекомендую консультацию ортопеда. Ссылка на комментарий
Рекомендуемые сообщения
Для публикации сообщений создайте учётную запись или авторизуйтесь
Вы должны быть пользователем, чтобы оставить комментарий
Создать аккаунт
Зарегистрируйте новый аккаунт в нашем сообществе. Это очень просто!
Регистрация нового пользователяВойти
Уже есть аккаунт? Войти в систему.
Войти