Перейти к содержанию
Стоматология для всех

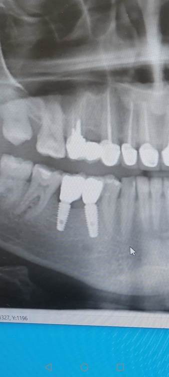
На снимке оголилось 2 витка резьбы


Sergey5263883

Рекомендуемые сообщения

Добрый день уважаемые доктора. После установки коронок на импланты, беспокоит что на контрольном снимке оголилось 2 витка резьбы импланта. 

Сами импланты установлены в ноябре.  Коронки на них поставили месяц  назад, закрутили с усилием 25 ньютонов, и поставили временную пломбу . Отправили на месяц гулять. Сегодня сделал снимок, пришёл к врачу врач сказала что все отлично. Докрутила на 35 и поставила постоянную пломбу. Но меня беспокоит что ушло несколько витков резьбы, хотелось бы услышать ваше мнение, скажите это нормально? По ощущениям ничего не беспокоит, жую без проблем. 

 

IMG_20220511_083936.jpg

IMG_20220511_083930.jpg

IMG_20220123_125227.jpg.d35e0087aa0d5816294367e03c03aea9.jpg

Screenshot_20220511_083820_com.huawei.photos.jpg

IMG_20220511_083439.jpg

Ссылка на комментарий

Для публикации сообщений создайте учётную запись или авторизуйтесь

Вы должны быть пользователем, чтобы оставить комментарий

Создать аккаунт

Зарегистрируйте новый аккаунт в нашем сообществе. Это очень просто!

Регистрация нового пользователя

Войти

Уже есть аккаунт? Войти в систему.

Войти
×
×
  • Создать...
Вверх