Перейти к содержанию
Стоматология для всех

Свищ на десне


Артур1992

Рекомендуемые сообщения

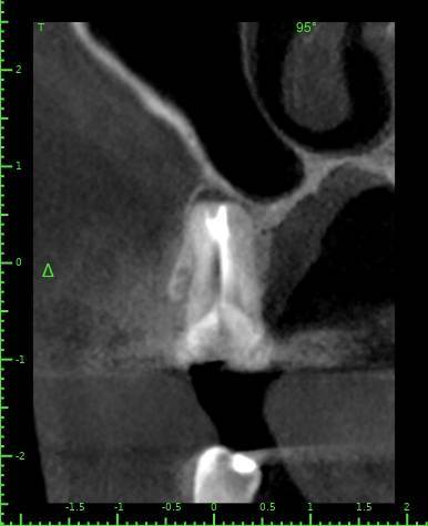
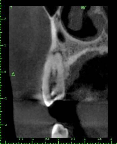
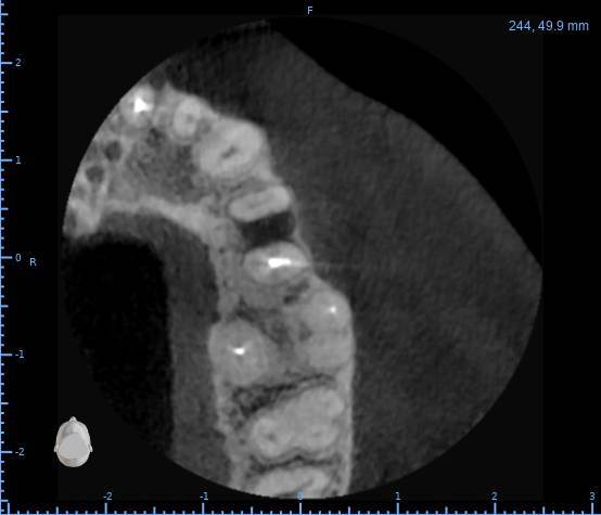
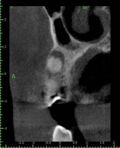
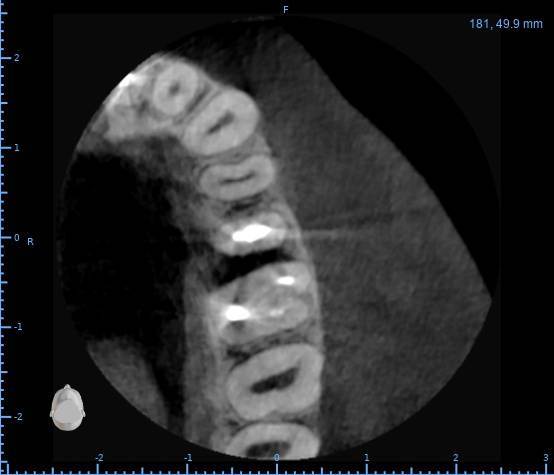
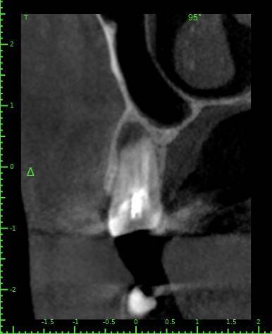
Здравствуйте, появился полгода назад свищ на десне, заполняется и лопается, затягивается и снова появляется, спустя пару месяцев обратился в стоматологию, на снимке ничего критичного не увидели, отправили домой наблюдать тип, еще прошло 3 месяца, так и не проходит и хуже не стало, болей нет никаких, только небольшая если трогать в районе свища, пойдя в другую стоматологию, сделали снимок и так же непонятно что и почему, пошел на КТ, и обратно в стоматологию, есть какая то полость, можно попробовать но нет гарантии, что пройдет, прикрепляю снимок К

ТРезультаты и плюс программа для открытия

Изменено пользователем Артур1992
Ссылка на комментарий

Для публикации сообщений создайте учётную запись или авторизуйтесь

Вы должны быть пользователем, чтобы оставить комментарий

Создать аккаунт

Зарегистрируйте новый аккаунт в нашем сообществе. Это очень просто!

Регистрация нового пользователя

Войти

Уже есть аккаунт? Войти в систему.

Войти
×
×
  • Создать...
Вверх