Перейти к содержанию
Стоматология для всех

Трещины на шестых зубах у ребенка в 6 лет


Svetlana Koveshnikova

Рекомендуемые сообщения

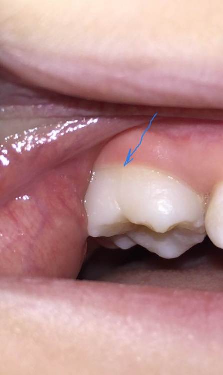
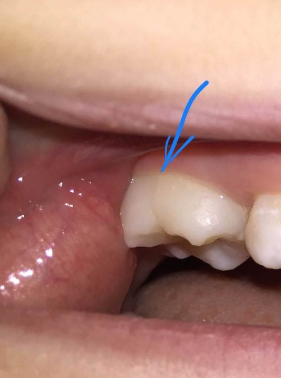
Добрый день! Уважаемые врачи, подскажите пожалуйста, от чего могут появиться трещины на коренных шестерках у ребёнка в 6 лет? Трещины вертикальные, идут от самого основания зубов, примерно по центру и с щёчной стороны и с небной. Могут ли такие трещины появиться от чистки зубов щёткой? Используем щётку Курапрокс для взрослых 3960 super soft и монопучковую Курапрокс 1006, 1009,  зубные пасты Эльмэкс детскую со фтором 1400 ppm F, Президент детскую со втором 950 ppm F и без фтора, зубную нить Сплат объемную вощеную. Зубную пасту не споласкиваем, глотаем. Я ей чищу сама, можно ли долгой и основательной чисткой зубов щетками натереть ребёнку такие трещины? Мороженное с жары она не ела, горячее после холода не пила, медикаментов не принимала кроме Вигантола (Витамин Д) 1000 единиц, сухарики иногда грызла но не много и не часто, бруксизма нет. Что может оказаться причиной таких трещин на зубах? Могут ли зубы сами так треснуть в результате их роста и формирования прикуса, шестерки массивные с отличной прочной эмалью, кариеса нет.  Молочные сменились только три нижних передних резца, остальные зубы пока не выпадали, все зубы с отличной белой, прочной эмалью. Шестерки у неё выросли крупные, рот не большой, нижние резцы выросли в скученности, видать маловато им места пока, но трещин на коренных резцах нет. В чем может быть причина такой беды? Виню себя за долгую чистку зубов, но говорят, что можно пришеечный дефект натереть, но трещины щеткой не сделать. Второй ребёнок двойняшка мальчик, тоже 6 лет, идентичная чистка, нет ни одной трещины на шестерках. Фото с трещинами прилагаю.7BA91C79-69BD-4B44-B1B4-DCEF9B2C3DC7.thumb.jpeg.55ffafd65357048d030e29d020990014.jpeg

8699C5F3-C384-49F7-A9E5-50EBE8C58118.jpeg

34FC2964-4663-4DC7-A8F5-E6BD4857E34A.jpeg

B1AEED55-1398-47C6-B353-6B2F0C7C2D7A.jpeg

 

 

 

 

 

 

 

 

Изменено пользователем Svetlana Koveshnikova
Ссылка на комментарий

Для публикации сообщений создайте учётную запись или авторизуйтесь

Вы должны быть пользователем, чтобы оставить комментарий

Создать аккаунт

Зарегистрируйте новый аккаунт в нашем сообществе. Это очень просто!

Регистрация нового пользователя

Войти

Уже есть аккаунт? Войти в систему.

Войти
×
×
  • Создать...
Вверх