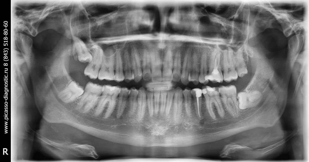
amkazan Опубликовано 5 мая, 2022 Поделиться Опубликовано 5 мая, 2022 Здравствуйте! ?Загорелся идеей ?! Возможна ли аутотрансплантация (пересадка) ретинированного (спрятанного в десне горизонтально) зуба на место 6ки. Донор: В последнее время начал чувствовать какую-то боль под зубами появляющуюся и исчезающую в челюсти слева ?, слегка докучающую, давил на зубы - они вроде не болят...и потом до меня дошло, что скорее всего это начал давить мой горизонтальный зуб мудрости. Как вы видите есть горизонтальный зуб ? слева (на снимке он справа снизу). И решил, что видимо пора удалять! И подумал: А что если его не просто удалить, а пересадить на место другого!? Замещаемый: 6ка сверху слева. Он из всех моих зубов по состоянию самый "уставший". Нерва там нет давно, потихоньку он темнеет и крошится что ли, и он начал чувствоваться. Не то чтобы очень не приятно, но как будто десна под ним устала. Такое ощущение. Не очень приятное, но не боль и можно игнорировать по идее.. но было бы здорово, чтобы этого чувства не было. И вот я думаю: Высоковероятно, что он кандидат номер 1 на удаление в будущем. Насколько далёком? Неизвестно. Конечно он может и всю жизнь простоять, но если есть новенький в запасе, то почему нет. (Плюс можно избежать сложного удаления в будущем, в случае если он начнёт крошиться при удалении и удалить его пока он ещё более менее крепкий?) Засим, прошу ответить Вас на 2 вопроса: 1) Стоит ли отказаться от этой идеи, так как 6ка ещё вполне хорошая? Или он уже реальный кандидат на удаление? 2) Вообще эта идея возможна ли? Резонна ли? Целесообразна ли? Спасибо!!! p.s. Снимок 2018 год, но в принципе там ничего не изменилось, только 8ку сверху удалил p.p.s. Так же 8 фотографий 6ки Ссылка на комментарий
Irouil Опубликовано 5 мая, 2022 Поделиться Опубликовано 5 мая, 2022 Сделайте свежие снимки, лучше всего КТ, если нет отрицательной динамики в области 6-ки - его под коронку, 8-ку удалить Аутотрансплантация этой (левой нижней) восьмёркой нерациональна, правые (нижней и верхней) можно пробовать трансплантировать, но тоже затруднительно, прогноз такой операции сомнительный 1 Ссылка на комментарий
amkazan Опубликовано 5 мая, 2022 Автор Поделиться Опубликовано 5 мая, 2022 @Irouil Понял, спасибо!!? Ссылка на комментарий
Рекомендуемые сообщения
Для публикации сообщений создайте учётную запись или авторизуйтесь
Вы должны быть пользователем, чтобы оставить комментарий
Создать аккаунт
Зарегистрируйте новый аккаунт в нашем сообществе. Это очень просто!
Регистрация нового пользователяВойти
Уже есть аккаунт? Войти в систему.
Войти