Перейти к содержанию
Стоматология для всех

Возможно ли избежать удаления зуба?


Dmitry732896

Рекомендуемые сообщения

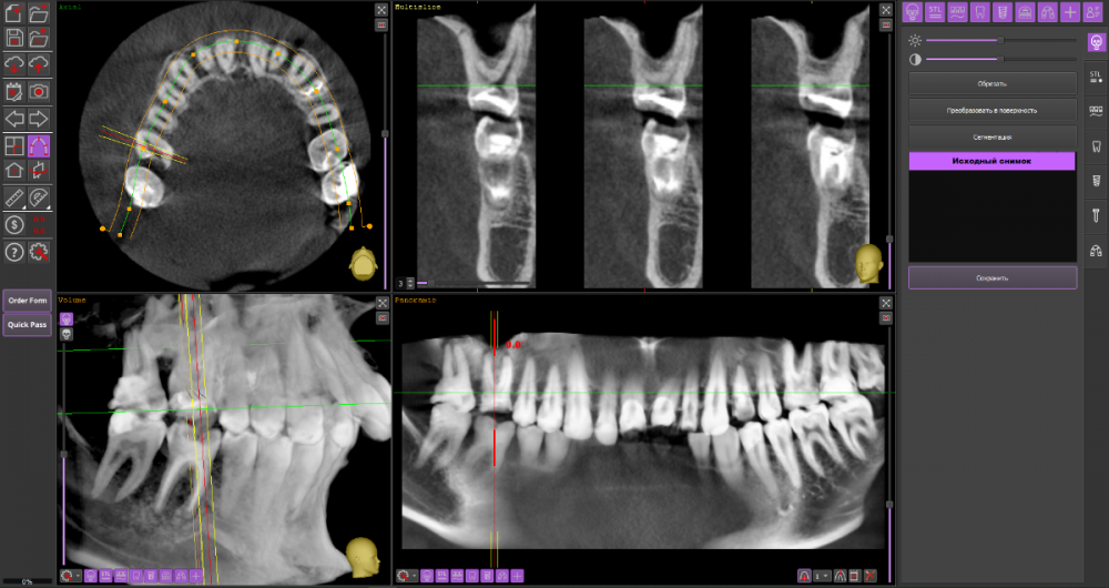
Добрый вечер, уважаемые специалисты. Подскажите, пожалуйста, есть ли возможность избежать удаления верхней 6-ки справа и использовать культевую вкладку + коронку для протезирования? Заранее спасибо за ответы. КТ: https://drive.google.com/drive/folders/17DOY2HNbp9x-5vxpit8V9hBL8D88hrAt?usp=sharing

Ссылка на комментарий

16_1.thumb.png.bb12ffa7175f4bd0f7f85bb8f69ea174.png

16_2.thumb.png.9dafe1ce7b90f3a15660ac669b24eb3e.png

На мой взгляд, зуб 16 вполне можно сохранить при условии адекватного лечения корневых каналов.

А вот зуб 17 перелечить маловероятно.

 

17_2.thumb.png.2fa36929c7852c43bbaa46a856a21963.png17_1.thumb.png.8396df0ce51d9d8d708b542619e86957.png

Ссылка на комментарий

Я бы провел ревизию обоих зубов и далее уже смотрел что модно сохранить 

после грамотной ревизии, как правило, не остаётся вопросов 

Ссылка на комментарий

Для публикации сообщений создайте учётную запись или авторизуйтесь

Вы должны быть пользователем, чтобы оставить комментарий

Создать аккаунт

Зарегистрируйте новый аккаунт в нашем сообществе. Это очень просто!

Регистрация нового пользователя

Войти

Уже есть аккаунт? Войти в систему.

Войти
×
×
  • Создать...
Вверх