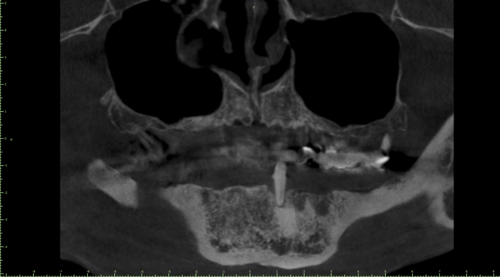
Geronima Опубликовано 29 апреля, 2022 Поделиться Опубликовано 29 апреля, 2022 Здравствуйте ! Был недавно в минской стоматологии где к сожалению мне не смогли помочь. В Финансах не ограничен. Нужны зубы, посоветуйте чтобы было качественно и надежно. Одномоментную имплантацию не рассматриваю вообще. К хорошему специалисту готов лечь в кресло хоть завтра. 3D Снимок зубов на гугл диске. https://drive.google.com/file/d/1Qx95HXPfq-zzHC1rwvTu9yMXEnugwHR-/view?usp=sharing Ссылка на комментарий
Женька Опубликовано 29 апреля, 2022 Поделиться Опубликовано 29 апреля, 2022 Думаю Вам к Тарасу Юрову. Либо кому-то кто может также как он. 1 Ссылка на комментарий
Рекомендуемые сообщения
Для публикации сообщений создайте учётную запись или авторизуйтесь
Вы должны быть пользователем, чтобы оставить комментарий
Создать аккаунт
Зарегистрируйте новый аккаунт в нашем сообществе. Это очень просто!
Регистрация нового пользователяВойти
Уже есть аккаунт? Войти в систему.
Войти