Перейти к содержанию
Стоматология для всех

Норма ли это?


Рекомендуемые сообщения

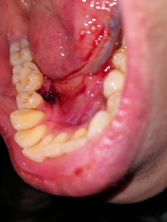
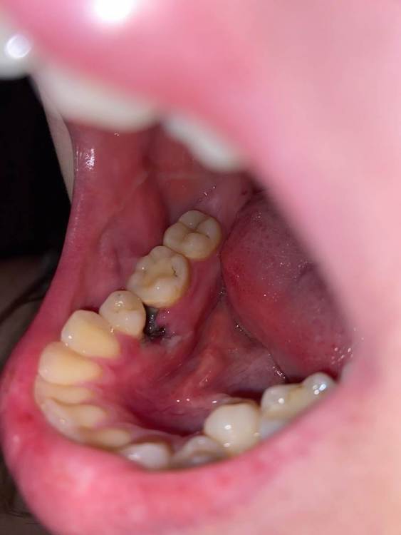
Здравствуйте.Удалили зуб в субботу, сегодня  вторник .Удаление было сложное.Сейчас из симптомов:постоянная пульсирующая боль,боль в ухе , опухшая щека,небольшое увеличение лимфоузлов. Была у врача который делал удаление в понедельник вечером.Посмотрел сказал , хотел залезть во внутрь,решил посоветоваться с другим врачом.и по совету другого врача не стал трогать. Оба молодых парня, почему то не очень вериться  , что это норма

1 фото сразу после Удаления

3 и 5 фото как выглядит все сейч2B56CE66-56D0-4E1D-86A5-4E21849A5812.thumb.jpeg.abaa6f2b73e64da65817873712d3f05f.jpegE0B4CA80-B424-481A-84A3-CF3E12CB7724.thumb.jpeg.6413038171f373f539cc920d011ca1ae.jpegC7227F50-6100-4A26-A12F-E31C37F9D8B0.thumb.png.940d35b1a889de5ed43a9a7bb34ec48f.png1C299E13-97B5-4B9F-97A7-C54C58DB2369.thumb.png.14be377876310f3f10fa0a57b31c5ea7.png743AD060-C0D2-4F96-9EFE-2BF3908D1153.thumb.jpeg.593d27327ab5e07b3e1f53754b9b9614.jpegас 

Ссылка на комментарий

Антисептические ванночки,аппликации с гелем "Метрогил-Дента" на лунку. Пока там есть сгусток ,если же сгусток разрушится ,надо будет вымывать еду шприцем с обломанной иглой из лунки и вводить туда тот-же гель "Метрогил-Дента" Я не пойму по снимку - там участок кости оголён у Вас с язычной стороны или там всё мягкое?

Ссылка на комментарий

Для публикации сообщений создайте учётную запись или авторизуйтесь

Вы должны быть пользователем, чтобы оставить комментарий

Создать аккаунт

Зарегистрируйте новый аккаунт в нашем сообществе. Это очень просто!

Регистрация нового пользователя

Войти

Уже есть аккаунт? Войти в систему.

Войти
×
×
  • Создать...
Вверх