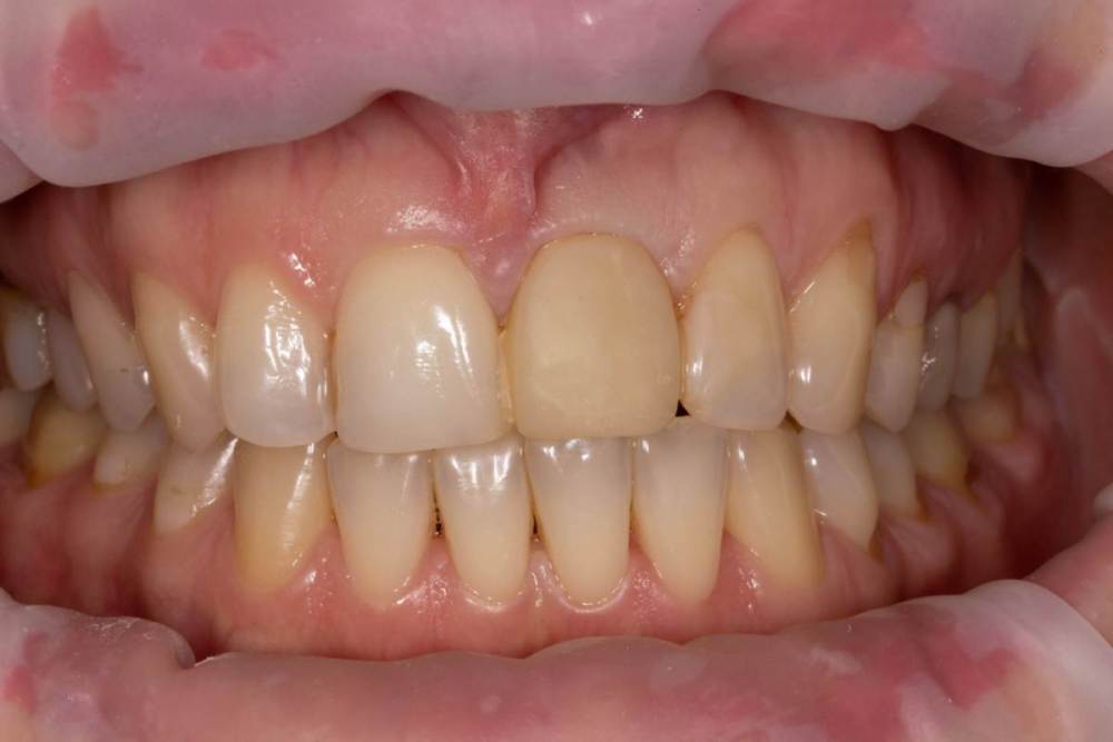
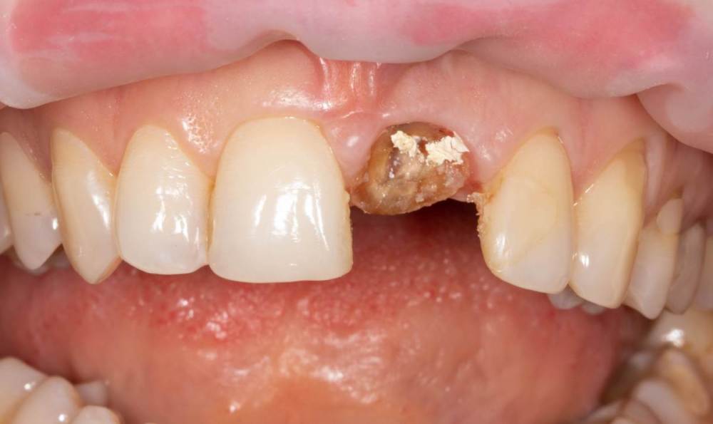
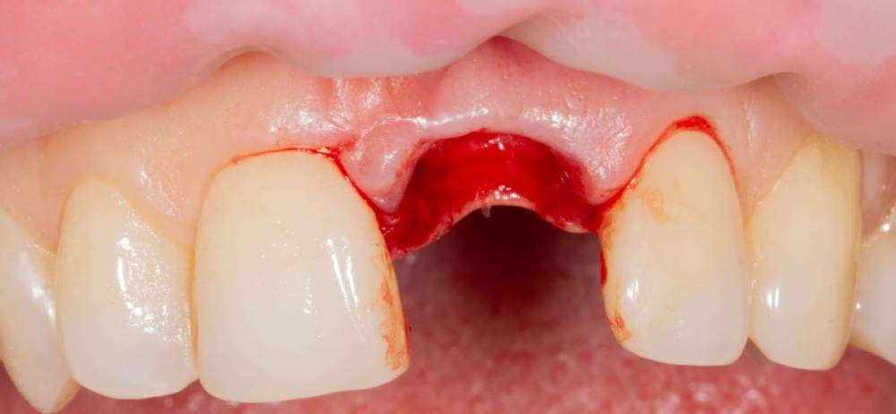
Женька Опубликовано 5 марта, 2022 Поделиться Опубликовано 5 марта, 2022 Первая работа во фронте. Судите строго. На ассистенции и фотограцировании направивший пациентку ортопед (женщины подруги с детства). Работа с времяшкой почти полностью моя. Не красавица конечно... но и я не ортопед же изначально)) Ну и на ортопедии садится зарядка тушки и привет фотографии на телефон. Запилил я конечно коронку знатно Лунку заполнил Осстемовским A-oss, трансплантат из зоны нёба/бугра. 5 3 Ссылка на комментарий
Aquarius Опубликовано 5 марта, 2022 Поделиться Опубликовано 5 марта, 2022 Графта не было? Спасибо за кейс 3D нужно было , как мне кажется. Завалится вестибулярка и бугор не поможет Ссылка на комментарий
Женька Опубликовано 5 марта, 2022 Автор Поделиться Опубликовано 5 марта, 2022 24 минуты назад, Женька сказал: Лунку заполнил Осстемовским A-oss, @Aquarius что подразумевается под 3D? Ссылка на комментарий
Aquarius Опубликовано 5 марта, 2022 Поделиться Опубликовано 5 марта, 2022 А все пардон. ))) Ну в целом отлично. Нитку из - за неопытности намотали?) Ссылка на комментарий
Женька Опубликовано 5 марта, 2022 Автор Поделиться Опубликовано 5 марта, 2022 @Aquarius ну не, что за 3д?)) Ссылка на комментарий
Aquarius Опубликовано 5 марта, 2022 Поделиться Опубликовано 5 марта, 2022 Ну когда ложе отпрепарировали, в лунку графт и потом еще раз финальной фрезой в графте прокладываете путь. Это в какой-то мере утрамбовывает графт по краям лунки 1 Ссылка на комментарий
Женька Опубликовано 5 марта, 2022 Автор Поделиться Опубликовано 5 марта, 2022 (изменено) @Aquarius так конечно не делал...и думаю что зря, возьму на заметку. Спасибо Изменено 5 марта, 2022 пользователем Женька спасибо Ссылка на комментарий
Aquarius Опубликовано 5 марта, 2022 Поделиться Опубликовано 5 марта, 2022 Ну и разумеется на малых оборотах. С целью только высвободить первоначальное ложе импланта от неминуемых частичек графта , который Вы туда положили 1 Ссылка на комментарий
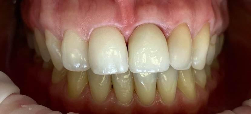
Женька Опубликовано 28 августа, 2022 Автор Поделиться Опубликовано 28 августа, 2022 Ортопед прислал фотки сразу после фиксации коронки. 6 1 Ссылка на комментарий
Bier Опубликовано 20 сентября, 2022 Поделиться Опубликовано 20 сентября, 2022 изначально перерасширили зенит на коронке и сдавили мягкие ткани. Ортопед потом поправил немного. Но лучше наоборот давать тканям место для роста. отлично для начала. 1 Ссылка на комментарий
Рекомендуемые сообщения
Для публикации сообщений создайте учётную запись или авторизуйтесь
Вы должны быть пользователем, чтобы оставить комментарий
Создать аккаунт
Зарегистрируйте новый аккаунт в нашем сообществе. Это очень просто!
Регистрация нового пользователяВойти
Уже есть аккаунт? Войти в систему.
Войти