Перейти к содержанию
Стоматология для всех

Проблема странной 7ки


Macia

Рекомендуемые сообщения

Здравствуйте!
Уважаемые доктора, очень нужна Ваша помощь.

Сразу извиняюсь за много букв. Мне сложно понять, какая информация из этого важна, а что можно пропустить(

Зуб 17.

Дек 2018 –  глубокий кариес и оказалось, что зуб мертвый. До лечения никогда не болел.

Лечение каналов.  Была боль при обработке одного канала (потом уже позже мне сказали, что это – нёбный), резкая боль от этой горячей штуки, которой «отжигают» гуттаперчу.

После пломбировки осталась ноющая боль, боли при накусывании. Ответ доктора – постпломбировочная, пройдет.

Ждали, перелечили, удалили 18й зуб как возможную причину.

Появилась потом боль от горячего. Распломбировали в этот раз только небный канал – боль на горячее прошла после пульпотека, осталась опять ноющая с разной интенсивностью и при накусывании. С этих пор и дальше зуб болел «когда хотел», каких-то конкретных причин не замечала.

Пока ждали и перелечивали, зуб жил под временными пломбами, скололся и осталась одна стеночка(

Июль 2020 - последнее перелечивание под микроскопом. Опять решили перелечивать только небный канал. Очень больно в процессе( Доп каналов нет, трещин нет. После этого болел очень сильно дней 5. Потом поменьше, и где-то через пару недель все стало так, как было раньше.

По словам всех врачей, смотревших КТ, осталась только одна возможная причина – соседний зуб. Зуб 16 с периодонтитом, который был давно уже в таком состоянии, под вкладкой, никогда не болел. До этого не было возможности им заниматься, т к удалялись и крутились обе 6ки с другой стороны.  17 удалять по причине разрушенности не предлагали, перестанет болеть - восстановить коронкой.. Ну и еще предлагали и 16 и 17 полечить депофорезиком)

Сентябрь 2021 – удалили 16й с одномоментной имплантацией и подсыпкой кости, сразу поставили формирователь.

Через несколько дней начало болеть нёбо, там где была 6ка. И вообще все с этой стороны от 15ого до 17ого зуба. Ощущения в 17ом были как после последнего перелечивания. Со временем стало получше.

17 сейчас – постоянная ноющая боль разной интенсивности, иногда просыпаюсь от нее ночью. Боль при накусывании и если просто дотронуться до зуба. Периодически болит и как бы жжет в районе 16, где стоит имплант. Сильнее – после физ нагрузки.

Недавно с ужасом обнаружила, что 17 сместился в сторону импланта 16, уткнувшись в формирователь(

Вопросы:

1. Нормально ли пролечены каналы 17? Стоит ли пытаться еще раз перелечить их все или другие два, кроме небного?

2. Если характер болей изменился после замены соседа на имплант и нет улучшения уже 4 месяца, может ли имплантация быть этому причиной? 

3.  Почему так быстро сместился 17 в сторону 16? И помешает ли это при установке коронок на 16, 17?

Заранее спасибо, если прочитаете и ответите?

КТ наскринила парочку. Если нужно будет более подробно – выложу еще. 

302205257_3162021.thumb.jpg.18a720cc1985f835a447cc570076ff9a.jpg

409358705_1620212.thumb.jpg.217d1a7f90d9ddcd10fa9fa074c4e53f.jpg

1663100281_1620211.jpg.bf12cf24a1038fe62444cbec72388c0a.jpg

230110228_1620213.thumb.jpg.2a516e39278fed762fb4f254cd64fd77.jpg

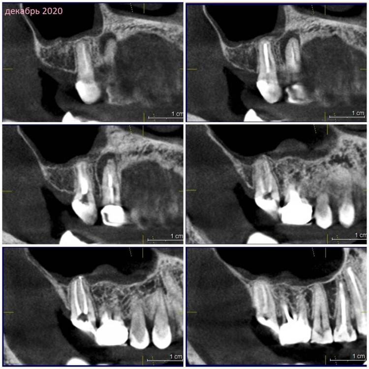
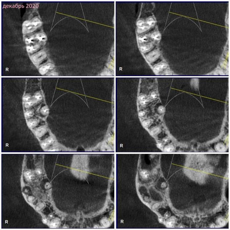
Декабрь 2020

907972000_20202.thumb.jpg.0ab4a97f703d5a15c89a75c1d13b9517.jpg
1823267092_20201.jpg.b31d8b323ecf0bd7bf55a7dda4cba0d9.jpg

55913587_20203.thumb.jpg.ba8999d990adfd84e9540a38cd2c3825.jpg

Ссылка на комментарий

Для публикации сообщений создайте учётную запись или авторизуйтесь

Вы должны быть пользователем, чтобы оставить комментарий

Создать аккаунт

Зарегистрируйте новый аккаунт в нашем сообществе. Это очень просто!

Регистрация нового пользователя

Войти

Уже есть аккаунт? Войти в систему.

Войти
×
×
  • Создать...
Вверх